вверх
отправить
поиск
админ
главная
|
Оскольчатый перелом надколенника |
 |
 |
 |
Отправлено Станислав Дмитриев 11 Декабрь 2008, 20:47 ГКБ №13 Нижний Новгород
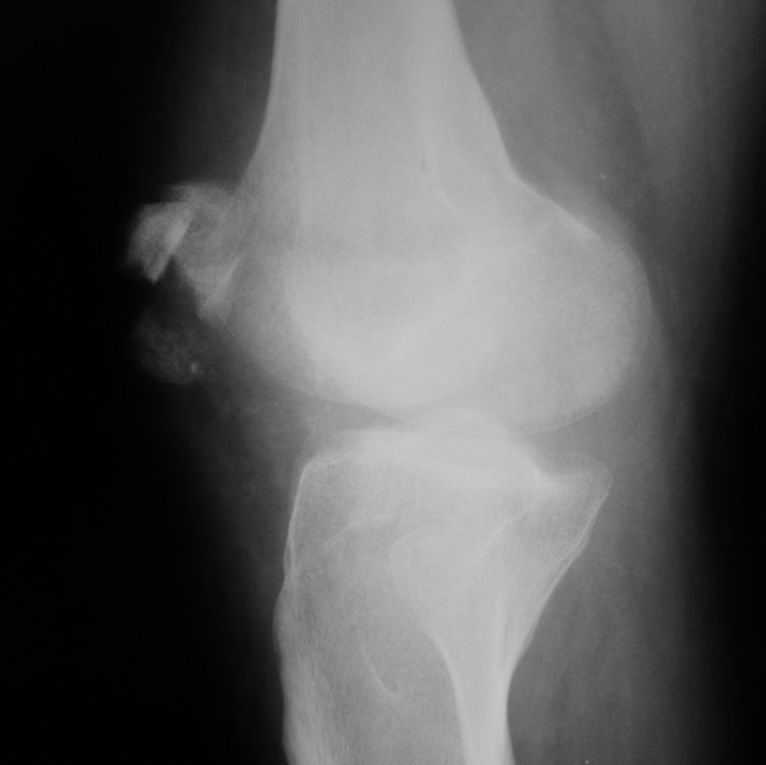
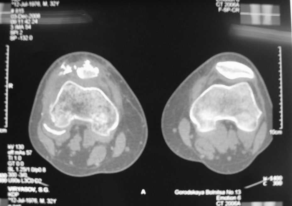
Уважаемые коллеги! Обратился пациент 32 лет с травмой коленного сустава от июля 2008 года - падение с мотоцикла, прямой удар передней поверхностью коленного сустава. Диагноз - открытый оскольчатый перелом надколенника. В одной из больниц города выполнили ПХО, шов надколенника лавсаном. Заживление раны с частичным нагноением(разведена на участке 3 см).Сейчас мягкие ткани в порядке. R-снимки, КТ в приложении. Объем движений 0/0/110 гр.Ходит почти без хромоты. Жалобы на торчащий под кожей один из отломков, боль в этой точке. Вопрос: что делать? Первое - убрать этот отломок и на этом закончить. Второе - оставить все как есть(отломок не так уж и сильно мешает). Ждать возможного развития артроза, дальше по ситуации. Третье - подумать о протезировании надколенника.
<
|
>
|
|
Ответить
|
Re: Оскольчатый перелом надколенника
Михаил 11 Декабрь 2008, 23:38
|
Добрый вечер! Все выше перчисленные варианты возможны, но выбор , как правило в немалой степени диктуется тем, что вообще пацеинт хочет, какого результата желает достичь, что он готов для этого предпринять. Единственное дополнение - в аналогичной ситуации у молодой пациентки (22 года) с давностью травмы 1,5 мес, с разрушением надколенника, была выполнена фиксация надколенника спицами и серкляжным швом + дефекты костной ткани были заполнены препаратом "КоллапАн" с антибиотиком в виде пластин и гранул. Результат хороший, сгибание более 90 градусов. Срок послеоперационного наблюдения 8 месяцев, поэтому о степени поражения артрозом сустава делать выводы рановато. Но полсе травмы у нашей пациентки не было нагноения раны после ПХО, это конечно тоже немаловажно. Всего хорошего. Михаил.
|
[
Ответить ]
|
Re: Оскольчатый перелом надколенника
Станислав Дмитриев 12 Декабрь 2008, 01:06
|
Внешний вид коленного сустава
IMG_3388.jpg
36KB (37604 bytes)
|
[
Ответить ]
|
Re: Оскольчатый перелом надколенника
Отправитель: Михаил 13 Декабрь 2008, 23:24
|
Судя по фото, объём движений достаточный, деформация стрктур колена, визуально, тоже не очень выражена. Развитие артроза в сегодняшнем состоянии и после протезирования прогнозировать дело неблагодарное. Так что может действительно решить те вопросы и неудобства, которые на сегодняшний день беспокоят пациента, а далее осуществить динамическое наблюдение (протезирование надколенника никуда в принципе не уйдет). Просто в жизни бывают ситуации когда поговорка "лучшее враг хорошего", актуальна. С уважением Михаил.
|
[
Ответить ]
|
|
Re: Оскольчатый перелом надколенника
Максим 13 Декабрь 2008, 16:25
|
Если у пациента основная жалоба на боли в точке осколка-то может стоит удовлетворить его желание-и удалить этот осколок. О протезировании надколенника думаю не надо и думать. Возраст и объем движений.
|
[
Ответить ]
|
Re: Оскольчатый перелом надколенника
Константин Никитин 14 Декабрь 2008, 20:12
|
Может быть есть смысл просто подтесать осколок дотом вровень с остальным надколенником?
|
[
Ответить ]
|
( Ответить )
|
|