Ответить
|
Re: Перипротезный перелом
Enes M. Kanlic 17 Декабрь 2008, 07:39
|
Alex,
Although, there is just one view, it seems that cement is still holding well on lateral side, cup also seems to be stable, but inside is asymmetric – poly is damaged ... options:
1. "Easy": long lateral plate and anterior strut allograft w/wo bone grafting
2. "Harder" Removal of prosthesis (has to be done if it is loose in remnant of intact proof proximal femur), and new long stem, porous coated prosthesis with new cup (pt is 59years old, probable in good health – survived 6 weeks of traction… this would be my 1st option)
3. I can not imagine how any “custom” nail might work, introduced from the knee, as you have been suggesting :O !!??
Sincerely,
Enes M. Kanlic, MD, FACS
Professor
|
[
Ответить ]
|
Re: Перипротезный перелом
Отправитель: Alexander Chelnokov 17 Декабрь 2008, 23:28
|
KE> 2. "Harder" Removal of prosthesis (has to be done if it is loose
KE> in remnant of intact proof proximal femur), and new long stem,
KE> porous coated prosthesis with new cup (pt is 59years old, probable
That would be really big surgery.
We will try to be ready to different scenarios according to intraop findings and estimation.
KE> 3. I can not imagine how any “custom” nail might work, introduced
KE> from the knee, as you have been suggesting !!??
I heard from many european colleagues about anecdotal use of old hollow Kuntscher nails for that purpose. Prof. R.Schnettler (Germany) recently told about 57 cases. I have only 2 such cases done last year, both on cementless stem. This approach is very attractive by that we achieve the same goal - "new long stem" but much less invasive.
|
[
Ответить ]
|
Re: Перипротезный перелом
Отправитель: James DeBritz 19 Декабрь 2008, 05:06
|
Would love to see some post op xrays of a case where this follow nail was used. Could you oblige?
Thanks,
James DeBritz
|
[
Ответить ]
|
Re: Перипротезный перелом
Отправитель: Alexander Chelnokov 19 Декабрь 2008, 05:14
|

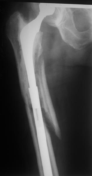
Female, rheumatoid, THA in 2003, car accident in 2006, failed plating. Nailing in Oct 2007. The nail is solid with hollow proximal part where the stem is docked. Last images are in 1 year after
nailing.
|
[
Ответить ]
|
Re: Перипротезный перелом
Отправитель: Milton L. Routt 19 Декабрь 2008, 05:21
|
Wow.
That construct is like something we’d use to patch cracked or bent fence posts on our ranch when I was a kid...but fence posts don’t walk and bleed.
I have refreshed respect for the mighty femur and it’s incredible/remarkable ability to unite, regardless of what we do to it.
Thanks for showing those films--
Chip
|
[
Ответить ]
|
Re: Перипротезный перелом
Отправитель: Alexander Chelnokov 21 Декабрь 2008, 05:57
|
Dear Milton.
You wrote:
> That construct is like something we'd use to patch cracked or bent
> fence posts on our ranch when I was a kid...
Any orthopaedic fixation device is based at mechanical principles known before...
> but fence posts don't walk and bleed.
The lady walks fine and doesn't bleed ;-)
> I have refreshed respect for the mighty femur and it's
> incredible/remarkable ability to unite, regardless of what we do to it.
The femur responded by failure to Mennen plating (DePuy Bridge plate). So i would add that the ability to unite is realized in mechanically and biologically sound conditions.
|
[
Ответить ]
|
Re: Перипротезный перелом
Отправитель: Milton L. Routt 21 Декабрь 2008, 11:38
|
You are so right...brilliantly said and done.
milton
|
[
Ответить ]
|
Re: Перипротезный перелом
Отправитель: James DeBritz 19 Декабрь 2008, 05:23
|
Impressive. Thanks.
JND
|
[
Ответить ]
|
Re: Перипротезный перелом
Отправитель: naresh goyal 22 Декабрь 2008, 21:00
|
sir,
remove stem,cement
do uncemented long stem with interlock screw distally, encirclage wiring to enhance fixation around isthmus.
if you feel put allograft around stem
|
[
Ответить ]
|
|
Re: Перипротезный перелом
dan schlatterer 17 Декабрь 2008, 07:48
|
hello,
the proximal portion of the stem looks stable. I would consider a long trochanteric plate (synthes) with cables and unicortical locking screws along stem and bicortical screws below. allograft strut probably not necessary. no cables around the fragments. or, a left supracondylar femur plate could be reversed and placed along greater trochanter and fixed to the bone as above. good case.
dan
Daniel R. Schlatterer, DO, MS
Vice Chairman,Orthopedic Surgery Residency Program
Associate Director, Orthopedic Trauma
Atlanta Medical Center
|
[
Ответить ]
|
Re: Перипротезный перелом
адонин 17 Декабрь 2008, 08:07
|
согласен с предыдушими ораторами.
Если есть возможность - trochanteric plate или хотя бы обычная cable plate
Если нет - просто проведите больного на скелетном вытяжении.
|
[
Ответить ]
|
Re: Перипротезный перелом
Игорь Ежов 17 Декабрь 2008, 18:17
|
Здравствуйте, Александр. В нашем ортопедическом отделении предпочли бы удалить ножку и поставить типа "Гелиос-Биомет", травматологи, скорее всего, выоплнили бы остеосинтез LCP. Вопрос возможностей и предпочтений. На мой взгляд ревизионная ножка позволяет быструю активизацию.
С уважением Игорь Ежов
|
[
Ответить ]
|
Re: Перипротезный перелом
Michael Markushevich 17 Декабрь 2008, 21:21
|
Dear collegues good day! Very intresting case
I am completely agree with Enes M Kanlis.Only I wood like to addition 3 variant. If you have problem with position acetabulum and take chose revision stem surgery my oppinion to use S-ROM or REEF stem wich done possible modular position neck. Nail is not good idea becouse concentration bending forse in point contact stem - tip of nail. I have expirience to use LCP wicth Dolls Maiels cable system. Good lack ! Michael.
|
[
Ответить ]
|
Re: Перипротезный перелом
Отправитель: Alexander Chelnokov 18 Декабрь 2008, 11:21
|
MM> Nail is not good idea becouse concentration bending forse in
MM> point contact stem - tip of nail.
The zone is under load rather limited time until union is reached.
|
[
Ответить ]
|
|
Re: Перипротезный перелом
Batal Shushaniya 17 Декабрь 2008, 22:06
|
Здравствуйте Александр Николаевич.
Мое мнение,что бедренный компонент эндопротеза нестабилен - медиальный кортикал бедренной кости полностью отделился от цементной мантии эндопротеза, нет уверенности в том, что цементная мантия бедренного компонента цела на всем протяжении, чаще, она подвергется растрескиванию, особенно при таком высокоэенергетическом переломе. Мое мнение, вданном случае показано ревизионное эндопротезирование с заменой бедренного компонента на ревизионноу ножку. Стабильность вертлужного компонента оценить трудно на данном снимке, но по моему она стабильна. Но я бы проверил это интраоперационного и взял бы на операцию и вертлужный компонент.
Я помню рентгенснимки проперированных Вами пациентов с перипротезными переломами, когда был использован метод ретроградного штифтования. Но тогда стабильность в ножки в бедренном канале на оспривалась.
С уважением, Шушания Батал.
3 ЦВКГ имени А. А. Вишневского МО РФ.
Московская область, Красногорск.
|
[
Ответить ]
|
Re: Перипротезный перелом
Отправитель: Alexander Chelnokov 17 Декабрь 2008, 23:58
|
BS> Но тогда стабильность в ножки в
BS> бедренном канале на оспривалась.
Спасибо за отклик. А как быть с тем, что после такого остеосинтеза любая ножка должна стать стабильной? Только как бы "дистальной
фиксации".
Мне тоже не все понятно с этим подходом. Но умозрительно представляется, что мы меньшей ценой, в т.ч. для здоровья пациента, создаем более благоприятные условия для сращения диафиза и
максимально раннего возврата к ходьбе с нагрузкой.
А если через какое-то время все-таки ревизия и замена ножки станут неизбежными (это все-таки представляется скорее возможностью, а не приговором), то ревизионное протезирование уже без перелома диафиза бедра должно быть менее проблемным.
|
[
Ответить ]
|
Re: Перипротезный перелом
Отправитель: Anatoly Yakushin 21 Декабрь 2008, 06:02
|
Очень сомнительно, что ножка после остеосинтеза ретроградным гвоздем станет стабильной.
Стабильно можно достигнуть только путем прочного механического соединения бедренного компонента протеза и гвоздя. Надеяться только на единую цементную мантию не стоит.
> приговором), то ревизионное протезирование уже без перелома диафиза
> бедра должно быть менее проблемным.
Ревизионное протезирование после остеосинтеза будет весьма проблемным. Гораздо проще технически заменить сейчас ножку на ревизионную (Вагнера или Гелиос).
|
[
Ответить ]
|
|
Re: Перипротезный перелом
Рашид Муртузалиевич Тихилов 17 Декабрь 2008, 23:12
|
Александр Николаевич,
К сожалению, не редкая ситуация в институте. По классике коллеги пишут все правильно, но... Elite Plus очень коварная ножка, дважды я оперировал по поводу нестабильности ножки, которая была не видна по Р-граммам. Ножка круглая, а возникающая ротационная подвижность не всегда видна. Второе - очень уж маленькая "поддержка" цементной мантии и протеза по внутренней поверхности, возможно развитие нестабильности в ближайшем будущем. Поэтому, если будут хоть какие-то намеки на нестабильность, лучше сразу поставить ревизионную ножку и на ней "собрать" все фрагменты. В последнее время мне очень нравится ревизионный Вагнер с "исправленным" ШДУ.
С ув.Р.Тихилов
|
[
Ответить ]
|
Re: Перипротезный перелом
Michael Markushevich 19 Декабрь 2008, 21:40
|
Hello! This is just illustration in one of the choice of treatment

Michael
|
[
Ответить ]
|
Re: Перипротезный перелом
privetstvuyu kollega 20 Декабрь 2008, 00:58
|
ne prostoy perelom ,soglasen, no ne vse tak ploho. moe mneniee:
1)skeletnoe vityajenie
2)operaciya-udalenie proteza i c ementa cherez prodolnoe okosjechko vdol vsefo proksimalnogo segmenta.per-op analiz (biopsiya)na nalichie infekcii-chisto-reprotezirovanie putem primeneniya femoral steam na dlinnoy nojke (use femoral component after resection tumor of hip ), a sverhu po dlya fiksacii oskolkov kosti ispolzovat titanovuyu serklyajnuyu provolku.
3) immobilizaciya
4)ispolzovat brase
s uvajeniem.
|
[
Ответить ]
|
Re: Перипротезный перелом
Huseyin Demirors 21 Декабрь 2008, 16:03
|
Dear Dr Chelnokov,
Although femoral stem seems stable, its cement mantle is completely destroyed and devoid of bone medially and distally (where its most necessary)
Fixation of the fracture with cable wire systems of course will heal the fracture but reduction of the fracture can be demanding after 5 weeks and
loosening of this stem seems unavoidable.
My preference would be revision with a long porous coated femoral stem, acetabular component looks stable but worn ( in 5 years?, patient must be an active man) best is to revise it with a cementless cup.
Good luck
Huseyin Demirors MD
Associate Prof
Baskent University Ankara
|
[
Ответить ]
|
Re: Перипротезный перелом
Sandro Reverberi 21 Декабрь 2008, 23:11
|
I should remove the stem and cement and then apply a Wagner revision stem (diaphiseal appoy) with some cerclages (cable grip) and bone chips; you must know the head diameter (26 mm?) to not change acetabular cup.
Happy Chirstmas,
Sandro Reverberi
|
[
Ответить ]
|
Re: Перипротезный перелом
Отправитель: Marco Berluconi 22 Декабрь 2008, 00:09
|
Dear Sir,
the cement mantle looks good in the whole mataphyseal region so I'll consider it a Vancouver B1 fracture, so ORIF.
It will be useful to remove the free cement fragment that lays between the stem and the third fragment and perhaps the distal part of the cement in the femural shaft in order to afford the reduction of the third fragment which will give the lenght of the limb. The reduction will be hold trough 2 cerclages without degloving the periostial attachments from the third fragment. For the final fixation I prefer an hook perarticular LCP plate with 4 locking bicortical screws far from the tip of the stem, 4 monocortical locking screws in the metaphyseal
region and 2 cerclages , that mantain the third fragment, inside the plate, using the proper devices, and then cutting off the 2 provisional cerclages put before that are laying under the plate. It will be useful also add bone graft in the medial region over the third fragment in order to be faster the union.
The Reverberi's solution could also be good but it is reserved when you're sure that is a B2 fracture and you should also be aware that when you have took off all the cement the fracture will become a B3 so I'll prepare a modular long revision stem that will go far from the end of the fracture for twice the diameter of the femoral canal with the less number of cerclages I
can.
Best regards
Marco Berluconi
Trauma Unit
Istituto Clinico Humanitas
Milan Italy
|
[
Ответить ]
|
Re: Перипротезный перелом
Отправитель: Dino Aguilar 22 Декабрь 2008, 07:33
|
ORIF with Cable ready (from Zimmer or similar) reconstruction.
Regards.
Dino Aguilar, M.D.
Managua, Nicaragua
|
[
Ответить ]
|
|
Re: Перипротезный перелом
Alexander Chelnokov 22 Декабрь 2008, 00:02
|
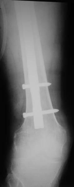
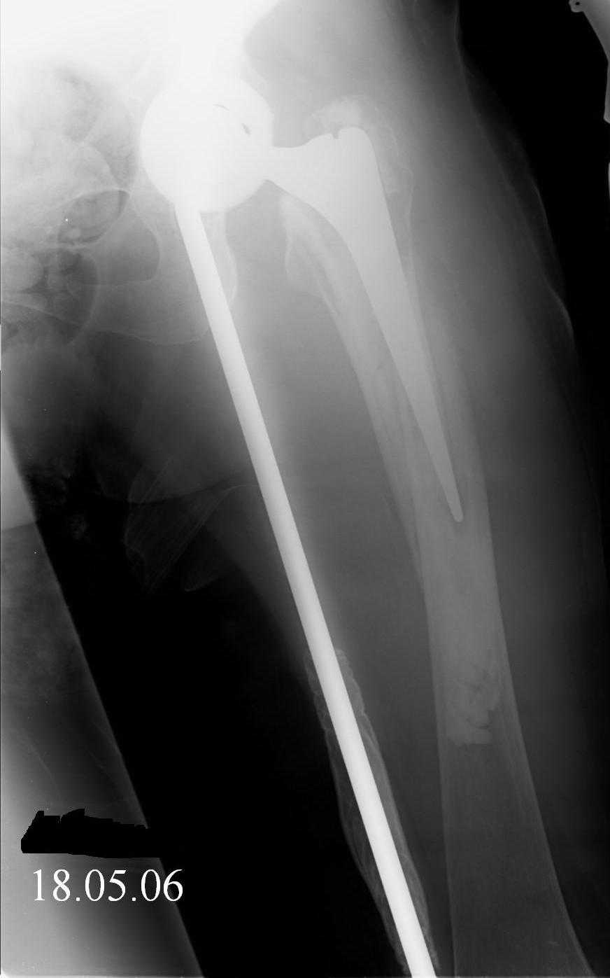
Спасибо за обсуждение. После нескольких дней тракции аппаратом сделали. Попытка закрытой репозиции не удалась из-за смещения по ширине, мешали фрагменты цемента. После их удаления репозиция получилась. Еще убрали немного цемента с ножки по латерльной стороне, чтобы обнажить 40-50 мм ее дистальной части, для плотной посадки гвоздя. Дальнейшее введение гвоздя было несложным. Протез показался нам стабильным в проксимальной части как латерально, так и медиально. Картинки в приложении.
THX for the discussion. After few days of traction by ex-fix the surgery was performed. An attempt of closed nailing was unsuccesful because of fragment translation, which was blocked by cement fragments. After removal of broken cement pieces reduction was reached "automagically". Also some cement from lateral part was removed by
chisel to expose distal 40-50 mm of the stem to allow tight fit of the nail. Further fixation by the nail was pretty easy and straightforward. Images attached. The stem looked stable in its proximal part both laterally and medially. Comments/critics are welcome.

Комментарии и критика приветствуются.
|
[
Ответить ]
|
Re: Перипротезный перелом
Отправитель: Jeff Brooks 22 Декабрь 2008, 17:55
|
I assume you preserved the medial fragment blood supply? If so, wow. very very nice. I'd like to stand and applaud your avoidance of strangulation cables around the medial fragment.
That's really a brilliant implant if the stem/nail interface is truly rigid.
I just hope it's truly a B1.
Thanks very much for sharing that.
Jeff Brooks
Stamford, CT
|
[
Ответить ]
|
Re: Перипротезный перелом
Отправитель: JAGDISH MENON 22 Декабрь 2008, 17:59
|
WELL DONE , ALEXANDER
INGENIOUS
Regards
Jagdish Menon
Pondicherry
India
|
[
Ответить ]
|
Re: Перипротезный перелом
Отправитель: Hüseyin Demirörs 22 Декабрь 2008, 18:01
|
Excellent technique and surgery,
I would like to ask one little question, you said 'tight fit of the nail' to the femoral stem, since all the rotational stability of the system (distal fragment with nail and locking screws) comes from that point, is it reliable?.
Best regards,
Huseyin Demirors MD
|
[
Ответить ]
|
Re: Перипротезный перелом
Отправитель: Enes M. Kanlic 22 Декабрь 2008, 18:04
|
Dear Alex,
Idea is very, very unusual (for me :O; is it any series published-presented doing it this – whose way?).
X-rays look very good .... it would be nice to have follow up as well, please?
At some point patient will need acetabular insert exchanged as well....
Thank you, you do not stop surprising me :-)
Enes M. Kanlic, MD, FACS
Professor
|
[
Ответить ]
|
Re: Перипротезный перелом
Отправитель: Bill Burman 22 Декабрь 2008, 21:04
|
Hello Alex,
Thank you for an interesting case presentation.
Kanlic, Enes wrote:
>>> is it any series published-presented doing it this - whose way?)
Besides your reference from Prof. R. Schnettler published in CORR 2007
Also see: On-line 2008 dissertation "The Bridging Nail"> by Rutger Zuurmond, from Groningen, Netherlands (also published in Injury 2007)
Bill
Bill Burman, MD
HWB Foundation
|
[
Ответить ]
|
Re: Перипротезный перелом
Отправитель: Sandro Reverberi 28 Декабрь 2008, 12:07
|
dear Alexander,
your is a fine and elegant solution.
You transformed a cemented hip prosthesis to a cementless revision hip prosthesis with a little approach.
But I have some questions:
* your nail has a point of minus resistance at the tip of femural stem and at the fulcrum of the fracture; by the time could it break?
* by the time stem and nail could reciprocally move?
* distal fixation of the nail is based near only on two screws : are they sufficient to secure a good stability before fracture consolidation?
* materials of the stem and nail (I think Iron steel in both); if they should be different (and many hip prosthesis are made by an alloy that is not the same of the nails) we could see electrolytic phenomena
So I think that your is a good idea, it can be actually good in this case, but is not sure in all cases.

I generally should prefer a long stem revision prosthesis, as that allegated.
Sandro Reverberi
|
[
Ответить ]
|
Re: Перипротезный перелом
Отправитель: Alexander Chelnokov 31 Декабрь 2008, 16:33
|
Dear Sandro.
rs> ° your nail has a point of minus resistance at the tip of
rs> femural stem and at the fulcrum of the fracture; by the time could it break?
I don't expect early breakage because of lack of bending forces. Though precise estimation of fatigue strength should be performed in lab tests sooner or later.
rs> ° by the time stem and nail could reciprocally move?
The nail tip is jammed. Since it is conical, it can only be jammed more with axial load.
rs> ° distal fixation of the nail is based near only on two
rs> screws : are they sufficient to secure a good stability before fracture consolidation?
I'd say yes because we use same 6 mm screws for femoral nailing and allow immediate weight-bearing regardless of fracture pattern.
rs> ° materials of the stem and nail (I think Iron steel in
rs> both);
The nail is Ti-based alloy.
rs> if they should be different (and many hip prosthesis are
rs> made by an alloy that is not the same of the nails) we could see electrolytic phenomena
Maybe, but i don't know exactly its clinical significance.
rs> So I think that your is a good idea, it can be actually good in
rs> this case, but is not sure in all cases.
rs> I generally should prefer a long stem revision prosthesis, as that allegated.
Bill Burman provided us with good references which show us that the topic is very hot, and the new option is being developed and evaluated. So it is too early to make final conclusion about its place and role.
|
[
Ответить ]
|
|
Re: Перипротезный перелом
Jeffrey Anglen 22 Декабрь 2008, 22:07
|
Great case Alex
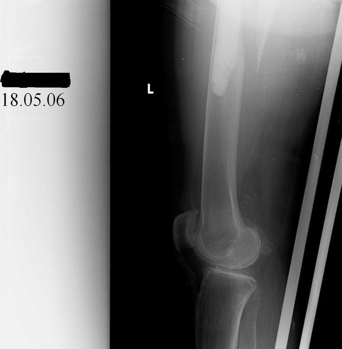
Reminded me of a case I did a couple years ago - 30 year old woman with juvenile rheumatoid arthritis and a nonunion below her stem. Fixed with retrograde nail which docked with the stem and a lateral locking plate. Image attached. One of the companies should come up with a stem design and nail system that anticipates this need.

Jeff Anglen, M.D.
Professor and Chairman, Orthopaedics
Indiana University School of Medicine
541 Clinical Drive, Suite 600
Indianapolis, IN 46202
|
[
Ответить ]
|
( Ответить )
|
|