ВХОД ДЛЯ ПАЦИЕНТОВ
вверх
поиск
админ
главная
|
Рефрактура бедренной кости |
 |
 |
 |
Прислано Михаил Васильев 12 Январь 2009, 20:08
из Республиканская клиническая больница
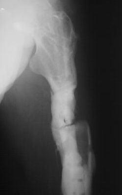
Уважаемые коллеги! Выношу на обсуждение клинический случай. Пациент 38 лет, оперирован дважды. В настоящее время рефрактура.
Подробности из анамнеза: в 2007 году пациенту выполнена операция остеосинтез бедренной кости по поводу многооскольчатого перелома с применением пластинки с ограниченным контактом (имплантов с угловой стабильностью и блокируемых гвоздей на момент операции в наличии не было - это, чтобы не обсуждать лишние вопросы). Через 6,5 месяцев после остеосинтеза развился остеомиелит в верхней трети диафиза бедренной кости с образованием секвестра размерами 55х30х25 мм. В 2008 году (через 8 месяцев после остеосинтеза) выполнена вторая операция - удаление металлоконструкции и секвестрэктомия. При удалении пластинки и ревизии ложа секвестра, костная мозоль на сросшемся участке состоятельна. было принято решение заполнить секвестральную полость мышечным лоскутом. В послеоперационном периоде нагрузка на конечность была исключена 2,5 месяца, дополнительная фиксация индивидуальным брейсом. Свищи зажили, обострения остемиелита купировано. Пациент приступил к профессиональной деятельности (автослесарь). В конце ноября при уборке снега произвел резкую опорную нагрузку на конечность, после чего появились умеренные боли нарастающие в течение месяца. В настоящее время госптализирован для оперативного лечения по поводу рефрактуры на уровне верхней трети бедренной кости. Планируется остеосинтез аппаратом Илизарова с стержневой модификации (без обширного вмешательства в зоне перелома)и как вариант тунеллизации через зону перелома с возможным введением в каналы "КоллапАнна", "Сhronos" и.т.п. Также были предложены варианты пластинками с угловой стабильностью, блокируемый остеосинтез гвоздями. Движения в коленном суставе до повторного перелома (сгибание 90 градусов, разгибание 180). Пациент пониженного питания. Какие есть мнения по решению данного случая, может кто-то сталкивался с подобными вариантами развития событий. Всем заранее благодарен за Ваше время. Михаил.
Обратите внимание: Поля с жирными названиями обязательны.
Старайтесь отвечать в рамках обсуждаемой темы, а не начинать новые обсуждения.
Указывайте адекватную тему сообщения, чтобы было ясно, о чем оно.
Не послайте сообщений не по теме (оффтопик), раздраженных, грубых или обидных комментариев. Здесь это неуместно.
|