AOTRAUMA.ORG Центр Илизарова  

Ортопедия и травматология Общие вопросы/General questions Help Информационные технологии в медицине
 вверх
 отправить
 поиск
 админ
 главная


Застарелое повреждение кистевого сустава
Ортопедия и травматология Отправлено Юрий Алексеевич Булахтин 17 Январь 2009, 11:21 Камчатский Военно-морской госпиталь
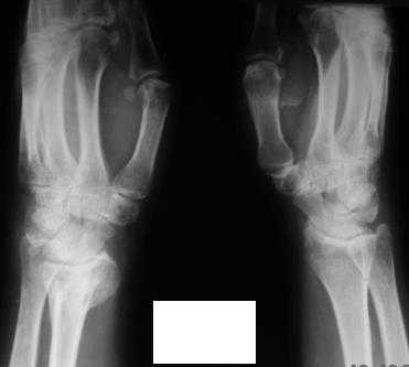
Уважаемые коллеги! Обратилась женщина, 55 лет. Травма 3 месяца назад, лечилась по месту жительства (Рис.1). Косорукость, боли, ограничение движений.
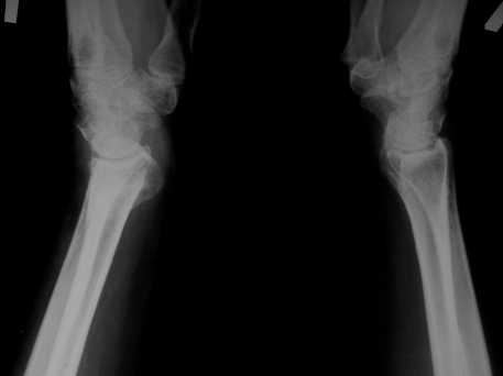
Досняли - рис.2-6. Хотелось-бы услышать мнения об объеме операции. С уважением, Юрий Алексеевич Булахтинглавный травматолог Камчатского Военно-морского госпиталя

<  |  >

 

  • Сообщения о Ортопедия и травматология
  • Также Юрий Алексеевич Булахтин
  • Связаться с автором
  • Ответить

    Re: Застарелое повреждение кистевого сустава
    SAGo 17 Январь 2009, 19:12
    Есть ли признаки компрессии срединного нерва? Есть ли симптом "клавиши" в области головки локтевой кости (дистальное радио-ульнарное сочленение)? Ограничены движения в локтевую сторону, сгибание или пронация-супинация? Боли в покое, или при каких-то специфических движениях?
    [ Ответить ]

    • Re: Застарелое повреждение кистевого сустава
      Отправитель: Юрий Алексеевич Булахтин 18 Январь 2009, 09:43
      Уважаемый коллега!

      Спасибо за интерес к представленному случаю. У нашей пациентки из-за болей ограничены любые движения в суставе. Боли постоянные, как только снимает брейс. В отношении остальных симптомов в сообщении соблюден стандартный принцип - "чего нет про то не пишем" (нет компрессии срединного нерва, симптома "клавиши" в области головки локтевой кости и т.д.) В отношении повреждений дистального
      лучелоктевого сочленения и суставного диска - на мой взгляд, нагрузочные рентгенграммы не оставляют сомнения в их повреждении.

      Юрий Алексеевич Булахтин



      [ Ответить ]
    Re: Застарелое повреждение кистевого сустава
    katsevman haim , hand surgeon, israel , haifa 18 Январь 2009, 11:27
    u pazientki po nauchnomu ulna abutment/impingment syndrome posle posttraumaticheskogo ukorochenia radiusa
    na rengene znachitelnoe ukorochenie radiusa, sustavnaia poverchnost naklonena dorsalno chresmerno , chetko vidno nekongruentnost DRUJ - distalnogo radioulnarnogo sustava ,ulna prosto vtikaetsia v triquetrum .
    ia bi vibral vosstanovlenie dlinni i anatomichescogo voliarnogo naklona radiusa , osteotomia cherez dorsalnii podxod , kortikocanzeloznii graft iz taza , rigidnaia fixacia (luchse 2 mini plate LCP 2.o,) esli net to kirshneri no togda dolgo bes dvizeniia v gipse .izbegaite naruznix fixatorov tolko v ochen krainix sluchaiax .
    esli polnostiu ne udaetsia udlinnit togda odnovremenno ukorotite ulnu .
    ia ponial shto chego net o tom ne pishut, no vse taki obratite vnimanie net li u vashei bolnoi RSD ili po novomu CRPS - complex regional pain syndrome t.k. esli est operaciui zelatelno otlozit i polechit - fizio, simpatolytiki, sympatich bloki - u nas etim zanimautsia anestesiologi, proshedshie specialnuiu podgotovku i rabotaut v klinikax boli - pain clinic, a kak s etim delom v Rossii ?..
    [ Ответить ]

    Re: Застарелое повреждение кистевого сустава
    SAGo 18 Январь 2009, 16:31
    Да, действительно, в наличии так называемый посттравматический ulnar impaction syndrome. Есть несколько вариантов лечения этой патологии-данного случая. Вполне можно выбрать вариант и предложенной выше тактики. А кто-то даже после остеотомии лучевой кости наложит аппарат внешней фиксации и одновременно устранит дорсальную ангуляцию и удлинит лучевую кость. Можно предусмотреть и другие варианты. Если не очень расстраивает дорсальная ангуляция, то при отсутствии артроза в области дистального радиоульнарного сочленения ( а пока такого, по-видимому, нет)и нестабильности этого сустава можно просто укоротить локтевую кость. Причем возможно сделать поперечную остеотомию ( если есть ладонный или тыльный подвывих головки локтевой кости, то можно сделать еще и клиновидную остеотомию по ладони или по тылу), либо выполнить косую остеотомию ( при подвывихе головки даже клин в этом случае не надо делать). Если есть артроз, нестабильность, то нужно рассматривать другие варианты - Дарраха в модификациях, Сауве-Капанджи, артропластику(?).

    Вопрос to Hand Surgeon - а что, кроме механотерапии, Вы подразумеваете под словом физиолечение? Спасибо.
    [ Ответить ]

    Re: Застарелое повреждение кистевого сустава
    katsevman haim, hand surgeon, haifa, israel 19 Январь 2009, 19:32
    fiziolechenie v moem ponimanii krome individualnoi rabopti po uluchsheniu obiema dvizenii i vosstanovlenie mishechnogo tonusa
    eto umenshenie oteka, bolevogo syndroma , trofiki ... na skolko ia znau ispolzuut electroproceduri, vodnie proceduri i t.d. zanimautsia etim fizioterapevti no unas eto ne vrachi, uchatsia otdelno v universitete 4 goda 1 stepen.
    a SAGo eto vashe imia ? zanimaetes rukoi ? gde?

    [ Ответить ]

    Re: Застарелое повреждение кистевого сустава
    SAGo 20 Январь 2009, 22:09
    Спасибо за ответ насчет физиотерапии. Он меня полностью удовлетворил. Просто я не знаю, как там на Западе. Книжки читаю - вроде бы используют терапевты кисти и механотерапию, и электропроцедуры, и тепловые процедуры и т.д.. А мне некоторые коллеги рассказывают, что все это миф по западным меркам - только физкультура! Вот я и решил спросить, как это все обстоит в реальной жизни, а не по книжкам. Еще раз, спасибо.
    SAGo - это не мое имя, а аббревиатура-ник. Отдельной частью руки, если и занимаюсь, то на уровне любителя ( но это мое личное мнение-ощущение). С уважением, SAGo.
    [ Ответить ]

    • Re: Застарелое повреждение кистевого сустава
      Отправитель: Евгений Чекашкин 21 Январь 2009, 02:31
      > SAGo - это не мое имя, а аббревиатура-ник. . С уважением, SAGo.

      Коллега САГо,
      Поверьте, ничего личного - Вас смущают собственные высказывания или какие-либо тайные личные мотивы мешают Вам обнародовать своё имя?
      Сдаётся мне, что это не совсем этично участвовать в проф.форуме и не представляться, но это всего лишь моё субъективное мнение.
      Прошу прощения у сообщества за отнятое время, выражая свое отношение к Мистерам Иксам.
      Всего всем наилучшего и успехов,
      Е.И.Чекашкин


      [ Ответить ]
    Re: Застарелое повреждение кистевого сустава
    SAGo 21 Январь 2009, 19:53
    Уважаемый Е.И.Чекашкин! Мне кажется, что я не нарушаю правила Форума и никого не обижаю, указывая свой ник,а не полную Ф.И.О. Личных мотивов у меня нет, за свои высказывания мне тоже как-то не стыдно. А если я что-то и сказал глупое-глупое, то Вы на это прямо мне и можете указать, я обязательно приму во внимание все замечания и сделаю выводы. Считаю, что это нормальная форма общения. А если будет обязательное условие всем участникам Форума полностью представляться, то это сделаю и я. Если же кого-то лично интересует моя личность, то бишь мистер Икс, то я могу лично интересующемуся предоставить о себе полную информацию. Просто под ником я чувствую себя свободней, поэтому и дискуссия проходит гораздо более открыто и интересно. Вы ведь не возражаете, что обмен мыслями, идеями, возражениями станет гораздо скованнее, если Вы узнаете, что возражаете, например, какому-то академику, директору института, профессору и т.д., а он при этом знает Ваше имя, место работы и т.д. Человек есть человек и нельзя отбрасывать многие-многие субъективные моменты. Поэтому мне очень нравится именно такое "слепое" общение и свободный обмен своими идеями-взглядами без оглядки на чьи-то титулы и положение в обществе. С уважением, SAGo.
    [ Ответить ]

    Re: Застарелое повреждение кистевого сустава
    Абдрахманов Алибек 22 Январь 2009, 18:24
    Представляется,что помимо дорсальной ангуляции и укорочения, имеет место ротационное (пронационное) смещение.Косо-спиральная остеотомия (компактотомия)дистального конца луча (от луча в дистальном направлении к локтевой кости)и аппарат Илизарова в упрощенной компоновке(на 2-3 пястные кости и проксимальную треть обеих костей предплечья по одной "шатровой" спице+ мягкая манжета к тыльному стержню на уровне остеотомии.в последующем постепенное удлинение с одновременной супинацией и сближением к локтевой кости.Мне кажнтся достаточно просто,легко контролируется и регулируется.

    [ Ответить ]

    Re: Застарелое повреждение кистевого сустава
    Soul_rio 22 Январь 2009, 20:23
    "Отдельной частью руки, если и занимаюсь, то на уровне любителя ( но это мое личное мнение-ощущение)" Ну... это Вы уважаемый SAGo очень скромно сказали.

    Не выдавайте себя ни в коем случае!!! Пусть думают и гадают...
    [ Ответить ]

    • Re: Застарелое повреждение кистевого сустава
      Отправитель: Абдрахманов Алибек 25 Январь 2009, 09:32
      Уважаемые SaGo и Soul_rio!Всё же Евгений Чекашин прав!Участие в профессиональном форуме предполагает, в первую очередь доверие и ответственность.Доверия к анониму по определению быть не может и он свободен от ответственности.
      Согласитесь,что наш форум не викторина или конкурс,чтобы ещё грузить себя догадками.

      [ Ответить ]
      • Re: Застарелое повреждение кистевого сустава
        Отправитель: Alexander Chelnokov 25 Январь 2009, 11:22
        Интернет-форум - довольно специфическая среда. Много есть и реальных имен, которые при первом здесь появлении ничего не говорят. Доверие участника к другому участнику появляется после чтения некоторого количества его сообщений, а также знакомства с реакцией на них других участников. Ценность суждения определяется его содержанием, а не его носителем. Если, например, в ответ получаешь от анонима статью в PDF с ответом на твой вопрос, то так ли важно реальное имя отправителя...
        Есть множество причин не светить свое реальное имя и место работы, и не только когда пишешь нелицеприятные вещи о собственном начальстве. И без знания реального имени участника вполне получается конструктивное профессиональное общение.

        АА> Согласитесь,что наш форум не викторина или конкурс,чтобы ещё
        АА> грузить себя догадками.


        А какая необходимость озабочиваться этими самыми догадками?
        Куда уместнее сосредоточиться на обсуждении непростых клинических проблем, которые представлены за последние дни.



        [ Ответить ]
    Re: Застарелое повреждение кистевого сустава
    SAGo 25 Январь 2009, 15:43
    Абсолютно трезвые и справедливые суждения.
    [ Ответить ]


    ( Ответить )

    Powered by Zope  Squishdot Powered MedLink
    Посетитель: 0191113
      "По форме правильно, а по существу - издевательство" В.И.Ленин
    ©2001-2019Orthoforum Coordinator.
    [ Главная | Отправить сообщение | Поиск | Админ ]