ВХОД ДЛЯ ПАЦИЕНТОВ
вверх
поиск
админ
главная
исходное
|
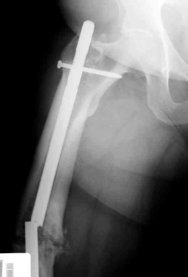
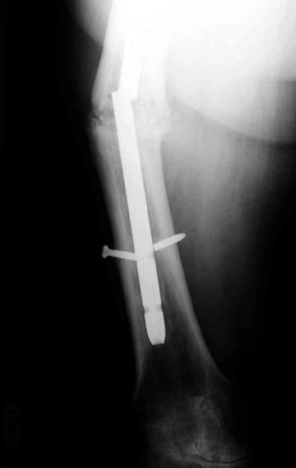
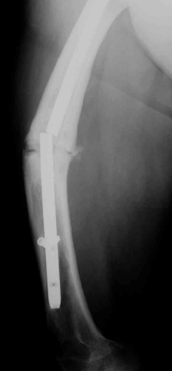
Re: Ложный сустав голени
послал Djoldas Kuldjanov 21 Январь 2009, 23:46
|

Сросшаяся малоберцовая как распорка привела к образованию ложного сустава. В таких случаях удаляем сломанный штифт и проводим стимуляцию ложного сустава рассверливанием. Рассверливание канала создает стимуляцию на месте ложного сустава, и динамический вариант блокировки штифта с большим диаметром создаст стабильность. Ранняя нагрузка после остеотомии малоберцовой приведет к сращению ложного сустава.
Приспособление для удаления сломанных штифтов и наличие ЭОП облегчит задачу. При отсутствии крючка тогда можно применить обычный длинный ball pointed guide wire от интрамедулярного набора. Проволока, пропущенная за пределы гвоздя и зажатая другая вытащат сломанный конец штифта без проблем.
Djoldas Kuldjanov, MD
Department of Orthopedic Surgery
St. Louis University Medical Center
|
| Послать ответ |
Обратите внимание: Поля с жирными названиями обязательны.
Старайтесь отвечать в рамках обсуждаемой темы, а не начинать новые обсуждения.
Указывайте адекватную тему сообщения, чтобы было ясно, о чем оно.
Не послайте сообщений не по теме (оффтопик), раздраженных, грубых или обидных комментариев. Здесь это неуместно.
|