вверх
отправить
поиск
админ
главная
|
Отправлено ANDREW 20 Январь 2009, 20:14
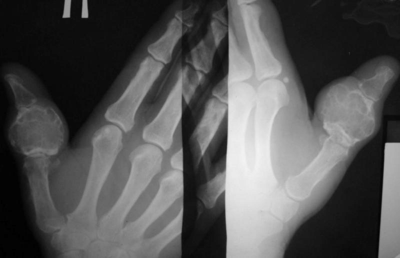
Больная, 68 лет. 10 лет назад со слов больной была травма пальца, за помощью не обращалась, была небольшая припухлость. За последние 2 года отметила рост опухолеподобного образования, появились боли, ограничение движений 1 пальца. При пальпации умеренная болезненость. Наблюдалась в поликлинике по месту жительства с диагнозами - солитарная костная киста, энхондрома.Госпитализирована с диагнозом остеобластокластома проксимальной фаланги 1 пальца правой кисти. Предлагается удаление проксимальной фаланги и костная пластика:1. трансплантатом из гребня подвздошной кости2. трансплантатом из большеберцовой кости3. трансплантатом из головки плюсневой костиУ кого есть какие-то взгляды на лечение даной больной. Спасибо за ответы.
<
|
>
|
|
Ответить
|
Re: Остеобластокластома?
Евгений Чекашкин 21 Январь 2009, 02:29
|
Очень похоже на гигантоклеточную опухоль.
|
[
Ответить ]
|
Re: Остеобластокластома?
Konstantin Kudinow 21 Январь 2009, 16:01
|
Судя по представленным фотографиям опухолевое образование имеет выраженный мягкотканный компонент, выходит за пределы кортикала фаланги, которая мне видится разрушенной. Даже если это и остеобластокластома (гигантоклеточная опухоль), точно на этот вопрос может ответить лишь морфолог, пластика чем-либо мне видится неадекватным вмешательством, будет рецидив, а рецидивная GCT всегда более "злая", нежели первичная. Я б уже, при такой картине, выполнил бы полный стандарт обследования для больных с впервые выявленной опухолью. Тактика лечения мне видится такой - экзартикуляция на уровне пястно-фалангового сустава, после заключения морфолога - думать далее.
С уважением, Кудинов, г. Курган.
|
[
Ответить ]
|
Re: Остеобластокластома?
SAGo 21 Январь 2009, 19:25
|
Чрезвычайно похоже на ОБК (красивые "мыльные пузыри")и никак не похоже на энхондрому. Насчет тщательного обследования и обязательной морфологии нет никаких возражений, учитывая возраст больной, наличие очагов просветления и в головке пястной кости, вроде бы и периостальная реакция на пястной кости. Прорыва компактного слоя не видно, что уже хорошо. Если бы это была пястная кость, то в качестве трансплантата можно было бы еще вспомнить и о малоберцовой кости.
|
[
Ответить ]
|
Re: Остеобластокластома?
ANDREW 21 Январь 2009, 21:39
|

вот такая картина не операции
Оперирующий хирург по интраоперационной картине сказал что скорее всего речь идет о энходроме.
|
[
Ответить ]
|
Re: Остеобластокластома?
katsevman haim , hand surgeon, israel , haifa 22 Январь 2009, 00:12
|
k sozaleniu v takom vozraste i s takim aggressivnim rostom eto dolzna bit chondrosarcoma ...giant cell tumor (GCT or OBK)toze imeet agrssivnoe techenie no v bolee molodom vozraste ot 20-40 , daet daze metastazirovanie v legkie ... ia bi posovetoval v takix neiasnix sluchaiax do defenitivnoi operacii sdelat otkrituiu biopsii chtobi znat obiom operacii.
poslednee slovo za morfologom , zelatelno dostatochno opitnim ....
v podobnix sluchaiax glavnii vopros v podxode a transplantant eto delo techniki i opita, ia lichno beru is taza , chotel bi nauchitsia brat fibulu na sosudistoi nozke no u nas ne tak mnogo ludei kotorim eto pokazano , strana malenkaiia....
budem zdat zakluchenia morfologa ... spasibo za vnimanie ..
|
[
Ответить ]
|
Re: Остеобластокластома?
Антон Андрианов 22 Январь 2009, 05:30
|
Дождемся гистологии, но по операционным снимкам не очень похоже на энхондрому.У нас была подобная картина, гистология показала хондромиксоидную фиброму\ довольно редкая рецидивирующая доброкачественная опухоль\.
|
[
Ответить ]
|
Re: Остеобластокластома?
Анатолий Баранецкий, Москва. 22 Январь 2009, 11:57
|
Гигантоклеточная опухоль в возрасте 68 лет маловероятна. Сейчас морфологу необходимо изучить материал из разных участков опухоли (высока вероятность озлокачествления). Если диагноз вторичной хондросаркомы подтвердится- тщательное дообследование и наблюдение.
С уважением, Анатолий Баранецкий, Москва.
|
[
Ответить ]
|
Re: Остеобластокластома?
ANDREW 11 Февраль 2009, 21:29
|
Имеем заключение гистологии - Хондрома
|
[
Ответить ]
|
Re: Остеобластокластома?
Отправитель: Илья Иванович 23 Июнь 2010, 09:02
|
Коллеги.
Тоже полагаю, что речь идет об энхондроме. Малигнизация маловероятна, если не знать клинику..
Не совсем ясно, что сделали на операции..
Я бы предпочел тщательную внутриочаговую с ультразвуковой чисткой стенок, небольшую криостимуляция (или лазерную), сохранение субхондральных пластинок обоих суставчиков, установку эндопротеза диафиза из пористого никелида титана, "сминание" оставшихся стенок вокруг него, внешюю фиксацию на пару месяцев, дозированную разработку..
Интересно, что получилось в итоке у Вас, ANDREW ??
|
[
Ответить ]
|
|
( Ответить )
|
|