Ответить
|
Re: эндопротез
Sereda Andrey 24 Январь 2009, 17:23
|
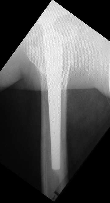
Мне кажется, что это - перипротезный остеолиз, хотя на снимке вокруг ножки явного криминала не видно. С другой стороны, если бы он был виден, то это можно рассматривать как показание к ревизии уже сейчас, а не тогда, когда случится парапротезный перелом. Я бы попробовал миакальцик. Если от него будет снижение болей (а он действует быстро, но только пока вы его даете), то тогда можно планировать более долгосрочную терапию.
|
[
Ответить ]
|
Re: эндопротез
Отправитель: Игорь 26 Январь 2009, 09:49
|
Ок. Попробую интраназально.
|
[
Ответить ]
|
Re: эндопротез
Отправитель: Роман Д. 28 Январь 2009, 20:50
|
Я бы хотел задержаться на Вашем ответе. Сколько не назначал миакльцик, и назально и парентерально, положительного не наблюдал! Может подскажете какую нибудь новую схему приема и совместно с какими препаратами кальция применять.
Заранее спасибо!
|
[
Ответить ]
|
|
Эндопротез
Бен Эльайфар Мохамед 25 Январь 2009, 01:39
|
ЯМР более информативный метод для определения остеолизиса вокруг протеза.
|
[
Ответить ]
|
Re: Эндопротез
Отправитель: Игорь 26 Январь 2009, 09:43
|
ядерно-магнитный пезонанс???
|
[
Ответить ]
|
|
Re: эндопротез
Рашид Муртузалиевич Тихилов 25 Январь 2009, 18:56
|
Уважаемый Игорь,
Проблема не в протезе, это очень хороший протез Трилоджи-Версис ЕТ и имеются четкие признаки остеоинтеграции. Ищите другие причины болевого синдрома - тенопатия ягодичных м-ц, остеохондроз позвоночника и т.д.
С ув.Р.Тихилов
|
[
Ответить ]
|
Re: эндопротез
Отправитель: Игорь 26 Январь 2009, 10:00
|
Смотрел. Невролог также смотрел. Буду снова смотреть. Спасибо.
|
[
Ответить ]
|
Re: эндопротез
Отправитель: Uriy 26 Январь 2009, 21:53
|
Доброго времени суток, коллега. Существует ряд алгоритмов для выявления причин болевого синдрома после эндопротезирования. Один из них в прилагаемой статье. Если после исключения "органических" причин (нестабильности, инфекции и т.д.) причина болевого синдрома остается не выясненой, то как говорил Lonstein "The mystery in the history". Надо искать причину по которой боли в бедре "выгодны" для пациента: получить компенсацию, подольше не выходить на работу, получить гиперопеку со стороны родствеников и т.п. и лечить по схеме "enigmatic pain", также прилагаемой в данной статье.

|
[
Ответить ]
|
Re: эндопротез
Отправитель: Игорь 29 Январь 2009, 17:10
|
Спасбо за предоставленный интересный материал.
|
[
Ответить ]
|
|
Re: эндопротез
Роман Д. 28 Январь 2009, 20:55
|
Дважды сталкивался с такой ситуацией, большой объем реабилитационных мероприятий проводился, без эффекта. Направлены были в травм центр, проведено реэндопротезирование, после этого боли исчезли.
P.S.кстати на рентгенограммах никакой патологи не было, только клиника.
|
[
Ответить ]
|
Re: эндопротез
Игорь 24 Февраль 2009, 17:01
|
Немного информации о сегодняшней ситуации. Боль провоцировалась илио-сакральном сочленением (как на мой субъективный взгляд). После операции длина конечности увеличилась на 1.5-2 см. По сравнению с правой конечностью. Нарушение биомеханики при ходьбе вызвало (или манифестировало) дегенеративные изменения в илио-сакральном сочленении. После переартикулярного введения дипроспана в область левого илио-сакрального сочленения боль полностью купирована. Заканчиваем прием миакальцика. Больной едет в Саки на грязелечение. Еще раз всем спасибо за участие.
|
[
Ответить ]
|
( Ответить )
|