AOTRAUMA.ORG Центр Илизарова  

Ортопедия и травматология Общие вопросы/General questions Help Информационные технологии в медицине
 вверх
 отправить
 поиск
 админ
 главная


Патологический вертельный перелом
Ортопедия и травматология Отправлено З,И, Горбунова 04 Февраль 2009, 18:35 униито
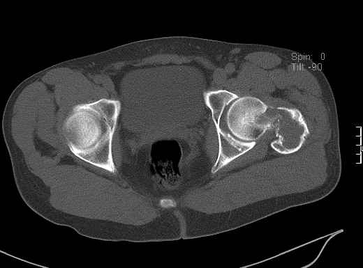
Уважаемые коллеги! Больной (1974 г.р.) травма 26.01.2009г., у пал на ра-боте с высоты своего роста, доставлен в одну из горбольниц Екатеринбурга в травматологическое отделение. На рентгенограмме выявлен патологический перелом чрезвертельной области левого бедра.
Доброкачественная опухоль (ОБК?, энхондрома?), по данным RS. Дополнительно произведено КТ. Наложено скелетное вытяжение.
В анамнезе: ЧМТ (1977г, с трепанацией черепа), 1980 г. перелом костей правого предплечья, операция остеосинтеза. Консультирован в УНИИТО, в онкоцентре. Вопросы для обсуждения:
1. Диагноз
2. Тактика лечения: 1 эт.- консервативное лечение.
П эт. - оперативное лечение (вид)
Прилагаются: рентгенограмма и данные СТ
Врач Горбунова З.И.

<  |  >

 

  • Сообщения о Ортопедия и травматология
  • Также З,И, Горбунова
  • Связаться с автором
  • Ответить

    Re: Патологический вертельный перелом
    Тарасов Алексей 20 Март 2009, 20:54
    По данным рентгенограммы и СТ диагноз определить в данном случае нельзя. При дифдиагнозе можно предполагать костную кисту, остеокластому, хондрому; в нашей клинике был подобный случай - гистологически верифицирована хондромиксоидная фиброма.
    В настоящий момент прошло около 2 мес., как с консолидацией фрагментов? Возможно будет приемлема внутриочаговая резекция с костной пластикой и внеочаговым остеоситезом. В нашей клинике резекционный дефект обязательно обработали бы инстилляционно жидким азотом
    [ Ответить ]


    ( Ответить )

    Powered by Zope  Squishdot Powered MedLink
    Посетитель: 0000287
      "По форме правильно, а по существу - издевательство" В.И.Ленин
    ©2001-2019Orthoforum Coordinator.
    [ Главная | Отправить сообщение | Поиск | Админ ]