вверх
отправить
поиск
админ
главная
|
Отправлено Abdurashid 06 Февраль 2009, 21:20
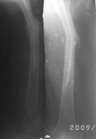
Уважаемые коллеги! Обратилась б-ная 1982г.р. 2008г. в апреле оперирована в одном солидном мед.учреждении, и/м остеосинтез штифтом лев.бедра( похоже Кюнчером), в то время была беременной, через месяц выкидыш. Со слов около 6 мес. коксит.гипсов. повязка,и до сих пор ходила с двумя костылями, кормили многими лекарствами как остеогенон. бонвива и мн. другими и даже гормонами. поправилась на 15-20кг. Но активно ногу могла поднять на 4 пальца от пола и не надолго.01.02.09.г упала на правую бок, с тех пор резкая боль в обл бедра, боиться шевелить ногой, не дает пальпировать,обратилась к леч.врачу, предлагали костно-пластическую операцию , после обратилась к нам. При тщательном исследовании выясняется что все таки имееться положительная динамика, боли уменьшается, при отвлечении можно двигать ногами, признаков рефрактуры нет, умеренная равномерная отечность, боли в мягких тканях, в надвертельной обл. боли нет, конец штифта не прошупивается. Мышцы бедра атрофированы, слабые. И на Р-гр я не вижу рефрактуру! Мой план, покой, анальгетики, УВЧ, антидепрессанты, после активация, пусть походить костылями потом без оних, реабилитация. После польной восстановлении решить вопрос удалении штифта. В отд. идет дискуссия по поводу рефрактуры, и о удалении штифта. Уважаемые коллеги помогите советом! С уважением Абдурашид.
<
|
>
|
|
Ответить
|
Re: Искривление и/м штифта
Алексей 07 Февраль 2009, 00:28
|
Здраствуйте колега!
Чтобы судить о рефрактуре хотелось бы увидить снимки лутшего качества и если имеютса до повторной травмы, но и по этим видно что есть угловое смещение. Я бы советовал разсматреть вариант удаления стержня с заменой на интрамедулярный блокирующий по статическому типу с последующей ранней дозированной физ. нагруской, ЛФК.
P.S. C удалениям могут быть проблемы, надо бить готовым к тому, что возможно прийдётса открывать зону перелома и перепиливать стержень.
С уважением Алексей!
|
[
Ответить ]
|
Re: Искривление и/м штифта
Alexander Chelnokov 07 Февраль 2009, 10:36
|
A> отечность, боли в мягких тканях, в надвертельной обл. боли нет, конец
A> штифта не прощупывается. Мышцы бедра атрофированы, слабые. И на Р-гр
A> я не вижу рефрактуру!
Даже на такой "микро" рентгенограмме видна угловая деформация. В чем проблема сделать снимок бедра на всем протяжении? Боль, скорее всего,
следствие подвижности. А как с движениями в колене?
A> Мой план, покой, анальгетики, УВЧ, антидепрессанты, после активация,
A> пусть походить костылями потом без оних, реабилитация. После польной
План симпатичный и экономный. УВЧ и антидепрессанты(?),
наверно, даже лишние.
Мы бы удалили стержень, рассверлили канал и сделали бы реостеосинтез
с блокированием.
|
[
Ответить ]
|
Re: Искривление и/м штифта
Отправитель: Abdurashid 08 Февраль 2009, 00:35
|
Уважаемые коллеги, спасибо!
Да, на Р-грамме имеется угловая деформация бедра и искривление штифта, но клинически оно мало заметно,в обл. деформации подвижность
не определяется, укорочение 1,0-1,5 см, б-ная очень нервозная, капризная (обычно таким б-ным что-то "умное" делать боишься -авось!), и ряд других факторов , подумал может, все обойдется более экономным методом.
Снимок бедра на всем протяжении сделал, в понедельник отправлю.
Разгибание в к/суставе 180, сгибание до 120гр.
УВЧ чтоб отек, асеп. воспаление и болевой синдром снять, антидепрессанты - у б-ной обш. невроз с депрессией.
Да , уважаемые коллеги, Вы правы!
Оставить на потом нельзя, попробую закрытую остеоклазию с коррекцией деформации и искривлении штифта (оказалось штифт Еланского для голени- где нашли и почему?), удалении из надвертельной обл,
рассверливание и реостеосинтез блокируюшим гвоздем статически, может,
ч-з месяц другой динамически. и по возможности ранняя активация.
Еще раз спасибо! С уважением Абдурашид.
|
[
Ответить ]
|
|
Re: Искривление и/м штифта
Dr. Galstyan Ruben 07 Февраль 2009, 13:48
|
Хотелось бы увидить снимки лучшего качества и если имеютса до повторной травмы, но и по этим видно что есть угловое смещение. Но вынуть и/м гвоздь я думаю это об'язательно и реостеосинтез
|
[
Ответить ]
|
Re: Искривление и/м штифта
Отправитель: Abdurashid 09 Февраль 2009, 17:22
|

Снимки не очень качественные, почему-то все снимки такие . видимо поступило партия некачественных пленок.
|
[
Ответить ]
|
Re: Искривление и/м штифта
Отправитель: Max 10 Февраль 2009, 14:54
|
Здраствуйте! Моё мнение однозначно. Удаление внутрикостного стержня (будет, думаю, очень трудно) с последующим интерлокингом.
|
[
Ответить ]
|
Re: Искривление и/м штифта
Отправитель: Abdurashid 14 Февраль 2009, 23:43
|

12.02.09г б-ная оперирована: з/остеоклазия (без особого труда- видимо тугой ложный сустав) коррекция деформации, удаление штифта из надвертельной обл, рассверливание канала гибкими развертками, реостеосинтез блокируюшим гвоздем Д-11мм.
Но я впервые почувствовал такую сильно ОСТЕОПОРОТИЧНУЮ кость, что блокируюшие винты проваливаются внутрь кости, что винты можно ввести без сверления кости, и что винты провинчиваются холостую, т.е. не стабильно.
Уважаемые коллеги! Что теперь делать?
1. Лечение остеопороза.
Я читал перевод статьи Laura Gehrig, Joseph Lane and Mary I. O'Connor J. Bone Joint Surg Am. 2008;90:1362-1374. Osteoporosis: Management and Treatment Strategies for Orthopaedic Surgeons
Лекция из цикла Американской Академии Хирургов-ортопедов (AAOS).Перевод - Анна Шведова, Середа Андрей.
Может быть, еще имеется практические советы?
2.Когда можно разрешить нагрузку? может, винты будут прорезываться при ранней нагрузке?
С уважением Абдурашид.
P.S. Снимки не качественные, извиняюсь! последний снимок ЭРГА, два снимка объединил.
|
[
Ответить ]
|
Re: Искривление и/м штифта
Отправитель: Ерсин Жунусов 15 Февраль 2009, 15:22
|
Уважаемый коллега!
Я заранее приношу свои извинения, но по демонстрации видно, что сама методика БИОС использована с нарушениями. Да я с Вами согласен и сам часто встречался подобными случаями, когда из-за отсутствия функции конечности (опорной и двигательной) поврежденный сегмент теряеть минеральную плотность, тем самым развивается остеопороз. Однако Вам надо было заранее учитывать эти моменты и дистальные винты надо было установить четко бикортикально, в Вашем случае верхний дистальный винт короткий, нижний дистальный винт вне отверстия, в таком расположении он никак не может быть в блокирующем отверстии. Ранняя опорная нагрузка зависит от стабильности синтеза, веса пациента, но в любом случае дозированная нагрузка (собственный вес конечности) нужна, иначе срастить ложный сустав и ликвидровать остеопороз невозможно (кость должна выполнять свою функцию). С уважением Ерсин Жунусов.
|
[
Ответить ]
|
Re: Искривление и/м штифта
Отправитель: Abdurashid 21 Февраль 2009, 18:46
|
Прошу прошения, был в командировке.
Уважаемый Ерсин. Спасибо за полезные советы.
Действительно из-за сильного остеопороза операция для меня была
очень трудной! тем более мы БИОС начали недавно это 6-по счету.
Гвозди мы закупали из предприятия ЦИТО, и если Вы заметили у них нижнее дистальное отверстие продолговато-овальное, а не круглое, поэтому оно позволяет ввести винт и под углом, конечно это тоже ошибка, ну два последних винта было введено из одного маленького разреза - поэтому так получилось!
Больная активизирована, начала ходить с костылями, с дозированной нагрузкой.
С уважением Абдурашид.
|
[
Ответить ]
|
Re: Искривление и/м штифта
Отправитель: Alexander Chelnokov 15 Февраль 2009, 15:40
|
Если речь о локальном остеопорозе от бездействия, то упомянутая статья к этой теме имеет мало отношения. По мере восстановления нагрузки местный остеопороз будет потихоньку регрессировать. Нагрузку я бы не ограничивал, пусть пользуется такой дополнительной опорой, чтобы не хромать.
|
[
Ответить ]
|
|
( Ответить )
|
|