вверх
отправить
поиск
админ
главная
|
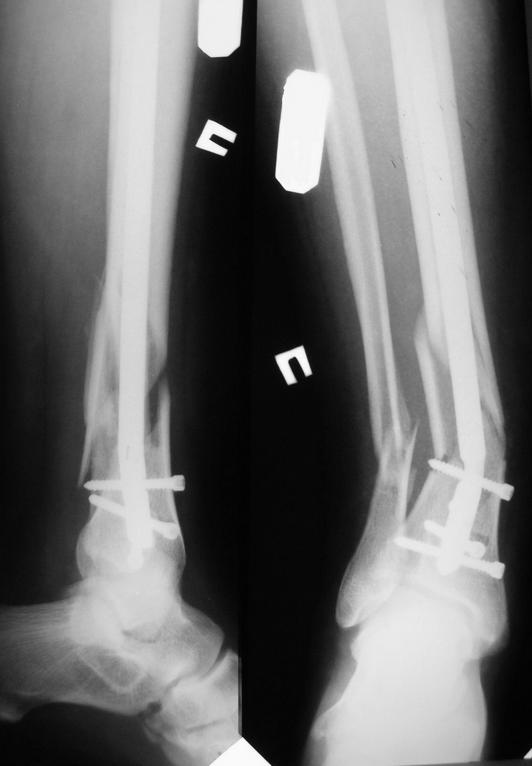
Больной загнул тибиальный стержень |
 |
 |
 |
Отправлено Павел Владимирович 11 Февраль 2009, 09:03
Уважаемые коллеги! Больной 36 лет, Ds: оскоьчатый перелом костей правой голени в н/3 со смещением. 3.02.09. выполнен интрамедуллярный блокирующий остеосинтез б/берцовой кости титановым стержнем диамерт 10 мм. 9.02.09. больбной упал в палате, загнул стержень. Помогите советом!
<
|
>
|
|
Ответить
|
Re: Больной загнул тибиальный стержень
Maxim Agalakov 11 Февраль 2009, 20:00
|
>загнул стержень
в смысле сломал, надо полагать.Тактика: от ЧКО до открытого удаления с пластиной и пластикой.
|
[
Ответить ]
|
Re: Больной загнул тибиальный стержень
Sereda Andrey 11 Февраль 2009, 20:04
|
Мне кажется, что стержень сломан, а не согнут. Если присмотреться - то видна ступенька в миллиметр.
|
[
Ответить ]
|
Re: Больной загнул тибиальный стержень
Alexander Chelnokov 11 Февраль 2009, 20:49
|
ПВ> диамерт 10 мм. 9.02.09. больбной упал в палате, загнул стержень.
Наверно, он его сломал, а не согнул. Как это у него так получилось упасть, интересно.
Надо бы удалить да пересинтезировать стержнем большего диаметра.
можно удалить только верхний фрамент стержня и лечить в аппарате.
|
[
Ответить ]
|
Re: Больной загнул тибиальный стержень
Отправитель: Alexander Rykov 11 Февраль 2009, 20:50
|
А можно и не удалять. Но в аппарате и с коррекцией оси. А Рыков Хабаровск
|
[
Ответить ]
|
Re: Больной загнул тибиальный стержень
Отправитель: дмитрий бондарь 11 Февраль 2009, 22:45
|
Вопрос : а получится ли разогнуть в АВФ ось, если стержень не сломан ? не прорежутся ли спицы ?
С уважением Д.Б.
|
[
Ответить ]
|
|
Re: Больной загнул тибиальный стержень
В.Машталов 11 Февраль 2009, 20:52
|
Ув. Павел Владимирович!
Это хорошый пример стабильности фиксации при коротких дистальных отломках.
Согнул или сломал можно определить по подвижности.
Если согнул, то выпрямить можно введя в 2- отверстия вместо винтов подходящие по диаметру стержни Шанца , соединить их с обеих сторон в раму из деталей аппарата Илизарова и использовать как рычаг, грубая мужская сила
под контролем ЭОПа, реостеосинтез более мощным (11-12) штифтом, беседа с больным о вреде падений.
До операции я бы провел эксперимент с аналогичным штифтом in vitro.
Да, и желательно иметь достаточно мощные кусачки, т.к. стержни Шанца изогнутся, и удалить их целиком будет сложно. Если сломал, то удалить
дистальный конец неканюлированного штифта можно так - http://www.weborto.net/forum/1196277461/
В. Машталов
|
[
Ответить ]
|
Re: Больной загнул тибиальный стержень
Отправитель: Лединников Игорь 11 Февраль 2009, 23:03
|
Если сломал, то удалить дистальный конец неканюлированного штифта можно так - http://www.weborto.net/forum/1196277461/
--
Учебный фильм на ту же тему (72Мб, English)
--
С уважением
Л.И.
|
[
Ответить ]
|
Re: Больной загнул тибиальный стержень
Отправитель: Павел Владимирович 16 Февраль 2009, 16:40
|
Уважаемый В.Машталов вы очень счастливый человек если имеете возможность провести данный эксперимент in vitro
|
[
Ответить ]
|
|
Re: Больной загнул тибиальный стержень
Васецкий Алексадр 05 Март 2009, 03:37
|
Удалить стержкнь, выполнить реосинтез пластиной с угловой стабильностью.
|
[
Ответить ]
|
Re: Больной загнул тибиальный стержень
Киоилл Алексеевич 10 Март 2009, 16:03
|
Сейчас в отделении лежит пациент с похожим переломом. Изначально было принято решение об установке штифта. Однако, обсуждая случай на конференции, коллеги старой закалки напомнили, что данный вариант перелома - является нестабильным. Таким образом вальгусная деформация при нагрузки - законное осложнение. Т.е....советы коллег просто об усилении штифта - не совсем корректное. Необходимо фиксировать, помимо б/берцовой кости, и малоберцовую ( например 1/3 трубчатой пластиной).
С уважением, ординатор ГКБ им.С.П.Боткина (г. Москва)
|
[
Ответить ]
|
Re: Больной загнул тибиальный стержень
Отправитель: Alexander Chelnokov 10 Март 2009, 23:18
|
КА> конференции, коллеги старой закалки напомнили, что данный вариант
КА> перелома - является нестабильным.
Гхм. Как и большинство других диафизарных переломов.
КА> Таким образом вальгусная деформация при нагрузки - законное
КА> осложнение. Т.е....советы коллег просто об усилении штифта - не
КА> совсем корректное. Необходимо фиксировать, помимо б/берцовой
КА> кости, и малоберцовую ( например 1/3 трубчатой пластиной).
Действительно, есть публикации о том, что фиксация латеральной колонны увеличивает стабильность. Но значимо это при использовании
такого рода хлипких тонких стержней. Если взять стержень помощнее, диаметром мм 12, да запереть его не двумя, а тремя винтами, да диаметром не 4,5, а 6 мм, то подобных проблем не встречается даже при немедленной полной нагрузке.
|
[
Ответить ]
|
|
( Ответить )
|
|