AOTRAUMA.ORG Центр Илизарова  

Ортопедия и травматология Общие вопросы/General questions Help Информационные технологии в медицине
 вверх
 отправить
 поиск
 админ
 главная


Последствие эндопротезирования
Ортопедия и травматология Отправлено Александр Митрофанов 11 Февраль 2009, 12:33
Уважаемые коллеги! Есть предложение обсудить интересный случай.
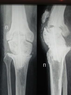
Пациент 69 лет.С 2002 года пережил три эндопротеза правого коленного сустава. В ноябре 2008 года эндопротез удален, дефект заполнен спейсером. В ноябре же был эпизод воспаления в области надколенника.
Задача на момент поступления - создать опорную ногу за короткий промежуток времени.
Хотелось бы узнать, как в данном случае поступили бы участники форума?

<  |  >

 

  • Сообщения о Ортопедия и травматология
  • Также Александр Митрофанов
  • Связаться с автором
  • Ответить

    Re: Последствие эндопротезирования
    Maxim Agalakov 11 Февраль 2009, 19:52
    >создать опорную ногу за короткий
    -создать артродез. 68 лет
    [ Ответить ]

    Re: Последствие эндопротезирования
    Sereda Andrey 11 Февраль 2009, 20:16
    Блокируемый штифт, проведенный сквозь спейсер?
    [ Ответить ]

    Re: Последствие эндопротезирования
    Найданов В.Ф., Томск 11 Февраль 2009, 22:24
    К сожалению, Вы не сказали ничего, что может послужить для определения тактики лечения. Вопрос в никуда....
    " У меня есть больной, как его лечить"?
    [ Ответить ]

    • Re: Последствие эндопротезирования
      Отправитель: Найданов В.Ф., Томск 11 Февраль 2009, 22:31
      Извиняюсь, не сразу увидел снимок. Хотя академически возможность имплантации эндопротеза (при отсутствии инфекции) существует.
      Я думаю, аппарат Илизарова - артродез с коррекцией длины (или с коррекцией обувью, решать вам и пациенту).

      [ Ответить ]
    Re: Последствие эндопротезирования
    KERIMOV ARTUR 16 Февраль 2009, 22:48
    не удивляясь, что пациенту дважды выполненялось ревизионное эндопротезирование,хочется сказать, что другого пути кроме артродеза в в АВФ у Вас и у пациента нет. На данный момент времени.
    О каком штифте на фоне свищей может идти речь?????? Да еще с не удаленным спейсером!!!!
    Идти на поводу у пациента, который хочет "чтобы колено гнулось, не болело и все было быстро", нельзя.

    [ Ответить ]

    Re: Последствие эндопротезирования
    Michael Berenstein 18 Февраль 2009, 12:55
    Уважаемый коллега!
    Я бы не стал испытывать судьбу с еще одним протезом.
    Имеются прямые показания для артродеза коленного сустава.
    Если инфекционный процесс еще не прекратился, то правильней делать артродез
    аппаратом наружной фиксации.
    Конечно нога будет короче, но за то опорная и без боли.

    С уважением
    М. Беренштейн
    [ Ответить ]


    ( Ответить )

    Powered by Zope  Squishdot Powered MedLink
    Посетитель: 0394023
      "По форме правильно, а по существу - издевательство" В.И.Ленин
    ©2001-2019Orthoforum Coordinator.
    [ Главная | Отправить сообщение | Поиск | Админ ]