вверх
отправить
поиск
админ
главная
|
Отправлено Maxim Agalakov 11 Февраль 2009, 20:19
Уважаемые коллеги, как боретесь с ригидным коленом в положении разгибания при эндопротезировании? Пациентка 67 лет, ригидное колено в положении полного разгибания с качательными движениями до 5 град. Прооперировали внутренним доступом с отсечением бугристости. Сгибание до рефиксации бугристости - до острого угла, после максимум с/р 20-25/0/0. Выполнили миолиз доступных отделов 4-х главой мышцы бедра из доступа без особого результата. Основная проблема была в разгибательном аппарате, как с этим боретесь? До эндопротезировыания или после - полноценные операции на разгибательном аппарате как при контрактурах. P.S. снимки выложу чуть позже (не могу добиться нормальных проекций), грубых косяков пока не заметил (увеличенный offset и т.д.) С уважением Максим Агалаков, Е-бург
<
|
>
|
|
Ответить
|
Re: Stiff knee
Найданов В.Ф., Томск 11 Февраль 2009, 22:44
|
Будте любезны, дайте больше информации. Причина разгибательной контрактуры, диагноз основной, социальный статус, анамнез и пр.? В идеале Вы во время операции эндопротезирования должны добиться полного объема движений, причем без отсечения точки прикрепления 4-гл. мышцы. Но это в идеале. Ньюансы важны...
|
[
Ответить ]
|
Re: Stiff knee
Отправитель: Maxim Agalakov 12 Февраль 2009, 19:50
|
>Причина разгибательной контрактуры, диагноз основной, социальный статус, анамнез и пр.?
причина- длительно текущий коксартроз, протезировать надо было на момент постановки в очередь, прошло 5 лет.
>социальный статус
в смысле? Обычный человек, пенсионер
>Нюансы важны.
вот, как бы и хотелось...детали релиза, возможно, опилов. эндопротез LCS Complete
|
[
Ответить ]
|
Re: Stiff knee
Отправитель: Найданов В.Ф., Томск 16 Февраль 2009, 18:45
|
Разгибетельная контрактура нехарактерна для первичного гонартроза. О фактах травмы, иммобилизации, спастике разгибательного аппарата вы ничего не сказали.
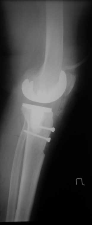
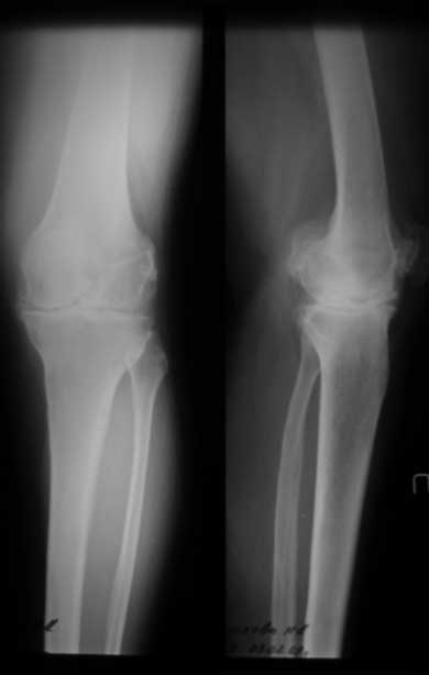
По данным R-грамм, хотя качество их не очень..., мне кажется имеется 2 основных ошибки: 1. высокий уровень остеотомии большеберцовой кости, при разгибетельных контрактурах его необходимо делать ниже.
2. Большой размер бедренного компонента. За счет этого переднезадний размер увеличен и ограничивает сгибание.
Я не сторонник отсечения бугристости при эндопротезировании коленного сустава, особенно без выраженной вальгусной дефоормации. Максимум сгибания достигается за счет уменьшения переднезаднего размера бедренной компонента (но с учетом баланса связок при разгибании!!), тчательного удаления задних остеофитов. Ушивание капсулы лучше производить на согнутом колене, возможна пластика жировым телом. Релиз 4-х главой мышцы лучше делать, если необходимо, как по Шимбарецкому. Но при этом первоначальный доступ должен идти или по сухожилию прямой мышцы с выходом на медиальную головку или сразу между ними.
С уважением, В.Ф. Найданов.
|
[
Ответить ]
|
Re: Stiff knee
Отправитель: Maxim Agalakov 16 Февраль 2009, 23:25
|
>О фактах травмы, иммобилизации, спастике разгибательного аппарата вы ничего не сказали
травмы были, но, видимо не очень серьезные, без иммобилизации и госпитализации
>1. высокий уровень остеотомии большеберцовой кости, при разгибетельных контрактурах его необходимо делать ниже.
2. Большой размер бедренного компонента. За счет этого переднезадний размер увеличен и ограничивает сгибание.
уверяю вас, бедренный офсет не увеличен (снимок в ротации - ближайший п/о период, сложно вывести проекцию) экспериментируя с опилами к имеющимся проблемам можно было получить несбалансированное колено. Опил тибии стандартный на 10-ый вкладыш. Без рефиксированной бугристости колено было отлично сбалансировано, сгибание было до острого угла. проблема была именно в мягких тканях, конкретно в разгибательном аппарате, а не в опилах
С уважением Максим Агалаков
|
[
Ответить ]
|
|
Re: Stiff knee
Maxim Agalakov 13 Февраль 2009, 21:10
|
снимки

|
[
Ответить ]
|
Re: Stiff knee
Rashid Tikhilov 15 Февраль 2009, 18:49
|
Уважаемый Максим,
Ситуация непростая, тем более что я не нашел сроков прошедших после операции.
Тем не менее, внутренний доступ с отсечением бугристости - это тактическая ошибка. Мы с удовольствием пользуемся остеотомией бугристости но при наружном доступе с полным сохранением мышц бедра. Доступ оч.удобный при вальгусной деформации, и я знаю что д-р Фитцек им пользуется оч.часто. Фиксация бугристости должна быть очень прочной, что обеспечивает возможность ранней реабилитации (как без остеотомии). По правилам ЭКС мы обязаны получить сгибание до 90 град к 10-12 дню. Если это не происходит - аккуратная редрессация при адекватной анестезии.
На сегодня важно знать следующее:
- нет ли механических препятствий, связанных к примеру с вкладышем?
- есть ли пассивные движения в условиях полной анестезии?
Если есть пассивные движения, то достаточно эффективна разработка движений на машинах в условиях пролонгиованной эпидуральной анестезии (мин.срок-3-4 дня). С последущей ЛФК на той же машине услов.реаб.центра
Если нет пассивных движений, то требуется расширенный релиз и ведение на машинах в условиях пролонгированной анестезии.
|
[
Ответить ]
|
Re: Stiff knee
Отправитель: Maxim Agalakov 15 Февраль 2009, 22:00
|
большое спасибо за внимание. Изначально планировал наружный доступ с отсечением бугристости, но не смог аргументировать, чем это лучше медиального с отсечением бугристости (если сильно не затруднит, объяснте почему или может ссылки на литературу. Вкладыш 10, без рефиксированной бугристости сустав был стабилен, сгибание до острого угла, механических препятствий не было. Как раз по-поводу релиза, что нужно было релизовать. основная проблема была с разибатльным аппаратом, все было мобильно, а собственная связка надколеника и сухожилие 4-х главой мышцы натянуты как струна. Пассивные движения с амплитудой до 20 град . бугристость фиксирована надежно. Объем расширенного релиза.
С уважением Максим Агалаков.
|
[
Ответить ]
|
|
( Ответить )
|
|