AOTRAUMA.ORG Центр Илизарова  

Ортопедия и травматология Общие вопросы/General questions Help Информационные технологии в медицине
 вверх
 отправить
 поиск
 админ
 главная
 Предыдущее


Re: Многооскольчатый перелом бедра
Alexander Chelnokov 17 Февраль 2009, 00:23
По прямой проекции неплохо. Что за стержень?
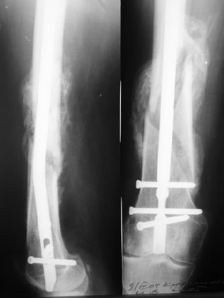
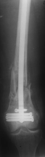
Антеградный остеосинтез при дистальных переломах бедра мы применяем давно, этот материал обобщен в канд. диссертации Александра Виноградского.
Ободранные рашпилем до 6 мм в диаметре спонгиозные винты 6,5 мм тоже доводилось использовать.
Предприятие ЦИТО выпускает доработанные нами гвозди, которые хорошо годятся для дистальных переломов, да и недороги. Можно вводть в дистальное овальное отверстие 3 винта, которые заклинивают друг друга.
Большеберцовые стержни отлично выполняют роль ретроградных бедренных. Конечно, которые не 9, а 12 мм в диаметре.
Примеры приложены.



  • Сообщения о Ортопедия и травматология
  • Также Alexander Chelnokov
  • Связаться с автором
  • Ответить

    Re: Многооскольчатый перелом бедра
    Антон Жаглин 17 Февраль 2009, 12:47
    Вы говорите о равнозначности конструкций или об их взаимозаменяемости , или же вообще, о преимуществе тибиальных стержней над дистальными бедренными? Или проще- почему вы использовали тибиальный штифт на бедре?
    [ Ответить ]

    • Re: Многооскольчатый перелом бедра
      Отправитель: Alexander Chelnokov 17 Февраль 2009, 13:50
      Они равнозначны и взаимозаменяемы, конечно - но это в общем. А кроме общего, есть масса важных частностей. Стержни разные все, даже которые называются "ретроградные бедренные". И есть еще инструмент для установки, тоже разный. Есть и "цена вопроса". Так что в некоторых ситуациях конкретный большеберцовый стержень может оказаться предпочтительнее конкретного ретроградного бедренного.

      [ Ответить ]
      • Re: Многооскольчатый перелом бедра
        Отправитель: Aнтон Жаглин 17 Февраль 2009, 21:39
        Уважаемый Александр Николаевич! Я умышленно не вдавался в частности различных изготовителей дистальных бедренных штифтов. Хотелось понять принципиальность установки тибиальных штифтов на бедро. Мне лично кажется наиболее удачным DFN от Striker с их мыщелковыми винтами. Этот штифт, зачастую, я использую и при лечении внутрисуставных переломов дистального отдела бедра, так как указанные винты создают межфрагментарную копрессию. И если цена вопроса в некоторых случаях все-таки имеет значение, то все же, в чем преимущество тибиального штифтования бедра перед накостной пластиной(она дешевле)? С ув. Жаглин А.В. ГКБ№67, Москва.


        [ Ответить ]
        • Re: Многооскольчатый перелом бедра
          Отправитель: Alexander Chelnokov 17 Февраль 2009, 22:58
          Принципиальности особой нет. Есть, как Д.Кулджанов упомянул, вообще гвозди одинаковые для бедра и голени. SIGN, к примеру.
          Есть ретроградные с суперспециальными возможностями типа стягивающих болтов, резьбовых отверстий, клинков. Гвозди Stryker, безусловно, очень хорошие. Однако бОльшая часть переломов успешно может быть фиксирована более простыми и универсальными имплантатами. Теми же большеберцовыми, к примеру. Если надо, плюс 1-2 спонгиозных винта мимо гвоздя. Хотя вообще для самых дистальных переломов мы предпочитаем антеградное введение.
          Пластина имеет свои врожденные ущербности, поэтому она оптимальна только при повреждениях типа C3, когда есть фронтальное раскалывание, и надо вводить много винтов для фиксации фрагментов суставной поверхности.
          А по цене современные пластины с угловой стабильностью куда как подороже будут показанного выше большеберцового штифта.


          [ Ответить ]

     

    ( Ответить )

    Powered by Zope  Squishdot Powered MedLink
    Посетитель: 0187823
      "По форме правильно, а по существу - издевательство" В.И.Ленин
    ©2001-2019Orthoforum Coordinator.
    [ Главная | Отправить сообщение | Поиск | Админ ]