ВХОД ДЛЯ ПАЦИЕНТОВ
вверх
поиск
админ
главная
исходное
последующие
|
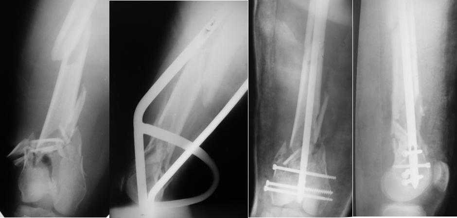
Re: Многооскольчатый перелом бедра
послал Павел Владимирович 19 Февраль 2009, 12:15
|

Приносим извенения за недостаток информации. Выкладываю все снимки. Стержень фирмы НПО ДЕОСТ(г.Пущино-на-оке)
|
| Послать ответ |
Обратите внимание: Поля с жирными названиями обязательны.
Старайтесь отвечать в рамках обсуждаемой темы, а не начинать новые обсуждения.
Указывайте адекватную тему сообщения, чтобы было ясно, о чем оно.
Не послайте сообщений не по теме (оффтопик), раздраженных, грубых или обидных комментариев. Здесь это неуместно.
|