AOTRAUMA.ORG Центр Илизарова  

Ортопедия и травматология Общие вопросы/General questions Help Информационные технологии в медицине
 вверх
 отправить
 поиск
 админ
 главная


Контрактура локтевого сустава
Ортопедия и травматология Отправлено Латиф 24 Февраль 2009, 19:06 Обл,больница г.Бухары
Уважаемые Коллеги!
4 месяца тому назад больная 20 лет прооперирована по поводу внутри суставного перелома наружного мыщелка плечевого сустава и локтевого отростка локтевой кости.
Отломки фиксированы спицами, наложен гипс на 45 дней. После снятия гипса отмечается стойкая смешанная контрактура локтевого сустава. Проведен курс физиотерапии, рассасывающие препараты. Амплитуда движений: сгибание 90, разгибание 110 градусов. Консервативное лечение без эффекта.
Прошу Вашего мнения по поводу лечении и дальнейшего ведения больного

<  |  >

 

  • Сообщения о Ортопедия и травматология
  • Также Латиф
  • Связаться с автором
  • Ответить

    Re: Контрактура локтевого сустава
    Михаил Васильев 25 Февраль 2009, 00:07
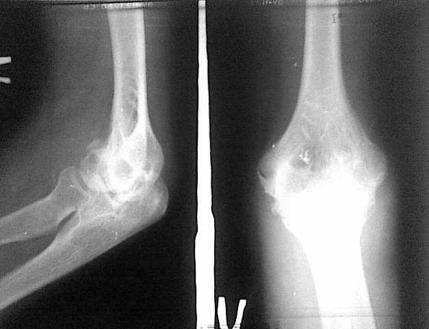
    Риторический вопрос - если возможно, то хотелось бы посмотреть все снимки на этапах лечения. В данном сегменте даже при очень сложных переломах, при использовании накостного остеосинтеза достигаются очень приличные результаты. Привожу рентгенограммы пациентки. Операция проведена через 3 недели после травмы. На сегодняшний момент 3 недели после остеосинтеза. Движения сгибание до 60 градусов, разгибание 150-160. Мое мнение, что спицы и 45 суток в гипсе это несколько грубо для такого "капризного" локтевого сустава.
    Кликните для загрузки файла локоть 1.jpg
    16KB (17325 bytes)

    [ Ответить ]

    Re: Контрактура локтевого сустава
    Михаил Васильев 25 Февраль 2009, 00:14
    По поводу дальнейшей тактики - есть смысл предпринять попытку ревизии сустава с иссечением рубцовых тканей, при необходимости редрессацией. Закончить наложением шарнирного аппарата Илизарова с возможностью активной и пассивной работы с суставом. Кстати при менее драматичной ситуации (по срокам) у нас предприняли попытку наложения аппарата без артротомии. Результат получился очень сносный (удовлетворительный)с суммарным объёмом движений до 70 градусов.
    [ Ответить ]

    Re: Контрактура локтевого сустава
    А.П.Ким 25 Февраль 2009, 07:34
    Вы ведь знали, с чем столкнетесь при выборе нестабильного остеосинтеза
    [ Ответить ]

    Re: Контрактура локтевого сустава
    Gektor Kessidis 25 Февраль 2009, 13:32
    В начале необходимо провести компютерную томографию и определиться в причине контрактчры. Причиной может быть:неправильная репозиция отломков,эктопическая осификация, регидность мягких тканей.Сочетание открытого метода с аппаратом Илизарова даёт неплохие результаты.Будьте внимательны в определении точки вращения при наложэнии аппарата,это может привести к отрицательному результату.
    [ Ответить ]

    Re: Контрактура локтевого сустава
    Руслан Салимов 28 Февраль 2009, 10:38
    У таких больных часто бывает болевая контрактура. Предлагаю начать с закрытой редрессации по наркозом. На следующий день начать повторный курс разработки.

    [ Ответить ]

    Re: Контрактура локтевого сустава
    Igor 01 Март 2009, 08:06
    трудно судить о резхультатах остеосинтеза не имея контрольных рентгенограм непосредственно после операции, после иммобилизации. Скинте рентгенограмы.
    [ Ответить ]

    Re: Контрактура локтевого сустава
    Ilkhom Khujanazarov 03 Март 2009, 05:17
    Dear Latif aka!
    For recommendation as this kind of difficult situations you need present us x-ray of standart position and CT. your presented x-ray doesn't meet the requirements of orthopedists i guess, we couldnt figure out the position of fragments of bones. I didn't see the fracture of olecranon and I think in your case there is capitelum of humerus intraarticular fracture of elbow joint. If it is, your used method of treatment unstable osthesynthesis.
    Please present us x-ray of standart position and CT, after that we can choose some methods of treatment.

    Thanks!
    Ilkhom Khujanazarov
    Research Fellow
    of Division Orthopedic Surgery
    The CHOP of University of Pennsylvania

    [ Ответить ]

    Re: Контрактура локтевого сустава
    Корнеев Ф.А. 08 Март 2009, 18:02
    есть смысл сделать 2-3 блокады с кеналогом
    [ Ответить ]

    Re: Контрактура локтевого сустава
    Дмитрий 10 Октябрь 2012, 01:16
    Скорее всего, суставу была причинена грубая хирургическая техника во время операции (а он и без этого очень противный сустав), в последствии гемартроз с последующей контрактурой, анкилозом и оссификацией сустава. На мой взгляд необходимо МРТ, достойный курс реабилитации, санаторно -курортное лечение, шарнирный аппарат. Редрессация это не выход. Может стать еще хуже.


    [ Ответить ]


    ( Ответить )

    Powered by Zope  Squishdot Powered MedLink
    Посетитель: 0390057
      "По форме правильно, а по существу - издевательство" В.И.Ленин
    ©2001-2019Orthoforum Coordinator.
    [ Главная | Отправить сообщение | Поиск | Админ ]