AOTRAUMA.ORG Центр Илизарова  

Ортопедия и травматология Общие вопросы/General questions Help Информационные технологии в медицине
 ВХОД ДЛЯ ПАЦИЕНТОВ
 вверх
 поиск
 админ
 главная


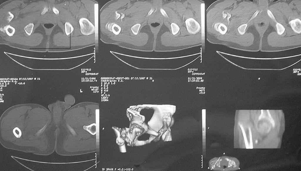
Ложный сустав вертельной области бедра.
Ортопедия и травматология Прислано Попов Виктор. г.Караганда 27 Февраль 2009, 19:56
из
Уважаемые коллеги! Нужен совет. Больной Х., 21 год, ДЗ: ложный сустав вертельной области правого бедра.
Травма 8 мес. назад, ДТП, получил закрытый межвертельный перелом правого бедра. Лечился в городской больнице одного из городов-спутников г. Караганды скелетным вытяжением в течение 3 недель, затем кокситной гипсовой повязкой 2 мес. В настоящее время имеется укорочение конечности на 7 см, умеренная боль в вертельной области; ходит без костылей, полностью нагружая больную конечность, при нагрузке отмечается смещение дистального отломка проксимально примерно на 1,0 см.; объем движений в коленном суставе сохранен; при пальпации отломков боли нет, умеренная патологическая подвижность. Планируем внеочаговый остеосинтез спице-стержневым аппаратом, дистракция до восстановления длины бедра, вторым этапом остеосинтез стержнем Гамма. Есть надежда, что на дистракции пойдет сращение и у больного хватит терпения завершить лечение в аппарате.
Компоновка аппарата: три стержня в центральный отломок на полукольце или сегменте, кольцо с тремя спицами в зоне мыщелков бедра, две из них с упорными площадками; по стержню в конец дистального отломка и диафиз. Нуждаемся в советах:
1. правильно ли выбрана тактика лечения
2. какую оптимальную компоновку аппарата посоветуете
3. темп дистракции: дистракция с надеждой сформировать регенерат или форсировать с целью быстрого восстановления длины бедра
4. следует ли открывать зону ложного сустава, нужна ли костная пластика
5. каким видится окончательный вариант фиксации отломков (как вариант - остеосинтез DHS)
6. сроки проведения второго этапа операции.
7. есть ли шанс, открыв зону перелома, восстановить длину сегмента и фиксировать отломки одномоментно
Виктор.

Послать ответ

Имя
Email
Уведомление Сообщить мне по e-mail об ответах на это сообщение
Название
Комментарий
(Проверьте URL! Не забудьте написать http://!)
Кодировка
Если не знаете, что выбрать, выберите "Просто текст"!
Приложение
Можно приложить к сообщению файл c изображением, который затем будет доступен увидевшим сообщение.
Подготовка иллюстраций:
  • Рентгенограммы: черно-белые полутоновые изображения в формате JPEG (8 bit, greyscale) с разрешением от 300х200 до 1024х768 пикселов;
  • Клинические фотографии: полноцветные изображения в формате JPEG (24 bit, truecolor) с разрешением от 300х200 до 1024х768 пикселов;
  • Схемы и рисунки: черно-белые (2 bit) штриховые (line-art) изображения в формате GIF или compressed TIFF
  • Подберите степень сжатия файла JPEG и размер изображения таким образом, чтобы необходимые детали были различимы, но размер файла не превышал 75 кб.
  • Учтите, что текущая версия программного обеспечения Форума позволяет приложить к одному сообщению лишь один файл-вложение. Поэтому, если необходимо отправить несколько изображений, можно либо послать каждое как отдельное сообщение, либо в графическом редакторе объединить изображения в одно (сделать коллаж).
  • Если при подготовке изображений встречаются трудности, не стесняйтесь обратиться к координатору Форума.

  • Введите видимые символы в обратном порядке. Enter the above characters in reverse order (*Обязательно)
    В тексте сообщения можно использовать теги HTML <B> <I> <P> <A> <LI> <OL> <UL> <EM> <BR> <TT> <HR> <STRONG> <BLOCKQUOTE> <DIV .*> <DIV> <P .*>
  • Обратите внимание: Поля с жирными названиями обязательны.
  • Старайтесь отвечать в рамках обсуждаемой темы, а не начинать новые обсуждения.
  • Указывайте адекватную тему сообщения, чтобы было ясно, о чем оно.
  • Не послайте сообщений не по теме (оффтопик), раздраженных, грубых или обидных комментариев. Здесь это неуместно.
  • Powered by Zope  Squishdot Powered MedLink
    Посетитель: 0179001
      "По форме правильно, а по существу - издевательство" В.И.Ленин
    ©2001-2019Orthoforum Coordinator.
    [ Главная | Отправить сообщение | Поиск | Админ ]