вверх
отправить
поиск
админ
главная
|
Постравматическая косорукость |
 |
 |
 |
Отправлено Abdurashid 05 Март 2009, 20:23
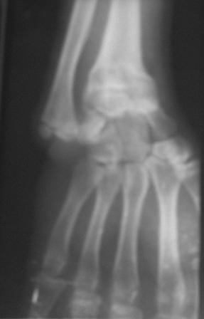
Доброго времени суток уважаемые коллеги! Обратился б-ной 16 лет.Травму получил 9-лет назад, перелом лучевой кости и надмышелковый перелом плеча. Имеется деформация л/з сустава типа лучевой косорукости, укорочение п/плечья, отсутствие локтевой девиации, cubitus vaus под углом 25 гр . Просит первоначально исправить деформацию л/з сустава и восстановить длину п/плечья. Наш план- остеотомия дистального метафиза лучевой кости, коррекция деформации и удлинение по методу Илизарова. Уважаемые коллеги, помогите советом! Можеть быть есть какие-то нюансы , или другие методы? Снимки прилагаются. С уважением Абдурашид.
<
|
>
|
|
Ответить
|
Re: Постравматическая косорукость
Юрий Алексеевич Булахтин 09 Март 2009, 01:10
|
Уважаемый Абдурашид!
С учетом возраста больного предлагаемая Вами тактика представляется оптимальной. Боковая ренгенограмма низкого качества, но кажется дистальный фрагментдостаточно короткий - надо постараться выполнить остеотомию точно на высоте деформации иначе трудно будет устранить угол.
Успехов, Юрий Алексеевич Булахтин
главный травматолог Камчатского Военно-морского госпиталя.
|
[
Ответить ]
|
Re: Постравматическая косорукость
Отправитель: Abdurashid 09 Март 2009, 22:32
|
Уважаемый Юрий Алексеевич!
Спасибо! Я видимо так и буду делать, но вот что смушает, ведь локтевая кость тоже укорочена на 3-3.5см, после удлинения лучевой кости дальше что делать, удлинить и локтевую кость? что-то в доступных литературах найти не могу!
С уважением Абдурашид.
|
[
Ответить ]
|
|
Re: Постравматическая косорукость
Александр Ельцин 10 Март 2009, 00:02
|
Уважаемый Абдуращид, предложенный Вами план лечения адекватный и не вызывает сомнений.
Для полного представления о деформациях, желательно посмотреть рентгенограммы локтевого сустава.
И еще один момент, у пациента имеется укорочение всего сегмента, удлинение лучевой кости и коррекция угловой деформации не уровняет длину предплечья со здоровым. Это надо озвучивать и обсуждать с пациентом.
Александр Ельцин. Институт травматологии. г. Москва
|
[
Ответить ]
|
Re: Постравматическая косорукость
Отправитель: Abdurashid 10 Март 2009, 18:54
|
Уважаемый Александр, Вы точно указали на то, что меня беспокоить!" об укорочение всего сегмента" . Можно ли уровнять длину со здоровым!
Под рукой оказалась минирентген локтевого сустава, где можно увидеть cubita valga(последствие надмышелкового перелома).
Вопрос с пациентом обсужден, он просить по возможности уравнять!
С уважением Абдурашид.
PICT0009.JPG
8KB (8509 bytes)
|
[
Ответить ]
|
Re: Постравматическая косорукость
Отправитель: Александр Ельцин 11 Март 2009, 01:09
|
Уважаемый коллега, так, может быть, пытаясь восстановить длину, не менее важно восстановить и ось конечности, - Вы это сможете объяснить пациенту, а сами, выполняя остеотомию дистального метаэпифиза плечевой кости с целью коррекции оси, получите еще 1,5 - 2,0 см дополнительного удлинения.
Я думаю, что ось локтевого сустава исправлять надо.
Александр Ельцин.
|
[
Ответить ]
|
|
Re: Постравматическая косорукость
Пулатов А.Р. 12 Март 2009, 09:01
|
Уважаемый коллега, ваш план вполне логичен. Копенсация укорочения лучевой кости с коррекцией деформации. Устранения деформации только за счёт формирования клиновидного регенерата думаю будет недостаточно для компенсации укорочения. В связи с этим целесообразно монтировать аппарат с учётом формирования трапецевидного регенерата.
|
[
Ответить ]
|
Re: Постравматическая косорукость
mark eidelman 14 Март 2009, 19:59
|
U bolnogo po vidimomu byl growth arrest of the distal radius.
Ya by ne nakladyval nikakih external, namnogo proche ukorotit distal ulna , fixation by plate , and corrective distal radius osteotomy(moghno zafixirovat KW ).6-8 weeks cast i vse dela.Ya za Ilizarova , no na kisti esli moghno bez nego vsegda luchshe.Predloghennaya techika ochen legk perenositsya (delal mnogo raz sam)
|
[
Ответить ]
|
( Ответить )
|
|