AOTRAUMA.ORG Центр Илизарова  

Ортопедия и травматология Общие вопросы/General questions Help Информационные технологии в медицине
 вверх
 отправить
 поиск
 админ
 главная


киста фаланг пальцев
Ортопедия и травматология Отправлено Abdurashid 17 Март 2009, 22:29
Уважаемые коллеги! Обратилась девочка 15 лет с жалобами на боли, отечности 4-го пальца кисти.
Заметила утолшение среднего фаланга 3 и 4-го пальцев 3,5-4 года назад, последний год начала чувствовать периодические боли, особенно в холодное дни, когда долго писала и всё. 4 дня назад получила легкий ожог пламенем кисти и пальцев, а 2 дня назад ударилась о волейбольный мяч и после этого в 4-м пальце нарастал отек , появилась резкая болезненность, усиливаюшийся при движении и пальпации, умеренная местная температура, а в 3-м пальце имеется утолшение среднего фаланга, следи ожога, безболезненный, отек м/тканей и местной температурй нет. Мы предполагаем ОБК, похоже и на фиброзную дисплазию, и краевой перелом сред. фаланга 4-го пальца и поэтому такая картина!
Наш план если возможно экскохлеация, если нет резекция и костная аутопластика из гребня подвздошной кости.(обеих пальцев)
Вопросы:
1. Диагностика?
2. Тактика печения?
3. Если костная аутопластика- чем и как синтезировать?
Зараннее благодарю за помощь и советы!

С уважением Абдурашид.

<  |  >

 

  • Сообщения о Ортопедия и травматология
  • Также Abdurashid
  • Связаться с автором
  • Ответить

    Re: киста фаланг пальцев
    Lespovich 18 Март 2009, 19:58
    1) Вопросы диагностики - гистология интраоперационно, хотя думаю можно и предварительно биопсию выполнить
    2) По лечению - как вариант - резекция 2/3 измененных средних фаланг обоих пальцев, резекция суставных хрящей дистальных фаланг (вне места прикрепления сухожилий разгибателей - они должны остаться "девственными") конусовидно с обоих сторон имплантировать свободный губчатый не кровоснабжаемый аутоостеотрансплантат с фиксацией простой погруженной осевой пальцевой спицей на 6-8 месяцев.
    Очень важно при этом не травмировать пальцевые нервы и артерии. А операция может называться резекцией кистовидноизмененных средних фаланг 3,4 пальцев какой - там кисти, аутоостеопластический артродез ДМФС 3,4 пальцев.
    Это навскидку - что первое в голову пришло. Успехов. С ув Алексей.
    [ Ответить ]

    Re: киста фаланг пальцев
    Коган П.Г. 18 Март 2009, 20:57
    Личное мнение - экскохлеация с пластикой (ауто - или ДКТ(лучше!)), а не резекция и уж тем более артродез! Здесь даже "неидеальный" обьем движения в фалангах- лучше, чем неподвижные "пальцы -сосиски"!
    При ауто - не принебригайте абластикой. Кто его знает "что" там будет?!

    С уважением Павел.
    [ Ответить ]

    • Re: киста фаланг пальцев
      Отправитель: Abdurashid 18 Март 2009, 23:18

      Уважаемый Алексей Леспович, движения в дистальном м/ф суставе сохранена! можеть попробовать аутоостеопластику без артродеза?
      Уважаемый Павел " при ауто-не принебригайте абластикой"-- честно признаться не понял,?
      С уважением Абдурашид.

      [ Ответить ]
      • Re: киста фаланг пальцев
        Отправитель: Коган П.Г. 19 Март 2009, 10:13
        При аутопластике не принебригайте абластикой - значит, что при использовании аутокости вероятность рецедива несколько увеличивается, в связи с тем, что в этой кости сохранены клетки этого же организма, которые генетически детерминированны к данной опухолевой патологии (мы еще не знаем гистологию, а значит и точный диагноз). (При недостаточной обработке пораженных участков кости и последующего внедрения туда аутотранслантата - вероятность рецидива выше, чем после ДКТ (или костного цемента, стружки)). Пораженное место после механической экскохлеации - обрабатывают спиртом(самый доступный вариант), есть крио-методики и д.р. Ну про разные инструменты для экскохлеации и взятия трансплантата, я думаю говорить не надо.

        [ Ответить ]
    Re: киста фаланг пальцев
    Корнеев Ф.А 19 Март 2009, 10:18
    пункционная биопсия, удаление кисты, пластика ауто костью(из подвздошного гребня), фиксация тонкими спицами или скобами , гипс 2 мес.
    [ Ответить ]

    Re: киста фаланг пальцев
    SAGO 20 Март 2009, 19:42
    По рентгенограмме на ОБК не похоже.
    Суставы нужно сохранять, то есть обойтись без артродеза.
    Зачем чем-то фиксировать пальцы после экскохлеации ( спицы, скобы и т.д)? Причем на такие фантастические сроки.
    Замещение аутокостью пока никто не отменял. А можно даже и вообще без замещения чем-то.
    [ Ответить ]

    • Re: киста фаланг пальцев
      Отправитель: Abdurashid 21 Март 2009, 18:25
      Спасибо за практические советы и помощь, уважаемые коллеги!
      20.03.09г. операция. Экскохлеация не получилось, стенки диафиза фаланги как папиросная бумага, хотел сохранить хоть одну стенку, но и это не получилось - ломается и крошится, удалось сохранить оба эпифиза, проксимально чуть стенку и метафиза. В полости белесоватая кашицеобразная масса. Дефект заполнен сформированной под фалангу аутопластикой из гребня подвздошной кости, сверху ушита надкостницей, пальцевые сосуды сохранены. Материал отправлен на гистологию. Фикация спицей трансартикулярно, вынужденно фиксировали оба сустава - но это мне никак не нравится!
      Уважаемые коллеги, помогите! Как лучше фиксировать, чтобы освободить суставы, или хотя бы быстрее восстановить движения! Девочка очень просит, чтобы работали пальцы, тем более что это правая рука!
      Р-снимки отправлю в понедельник.
      С уважением Абдурашид.


      [ Ответить ]
    Re: киста фаланг пальцев
    Михаил Васильев 22 Март 2009, 21:07
    C данной патологией сталкивались неоднократно. У нас один из вариантов - экскохлеация полостей (расширеная биопсия), в случае доброкачественного процесса заполняем полость препаратом "КоллапАн". содержит антибиотик по выбору (см. http://www.collapan.ru/). Последний случай похожего характера. Полости располагались в 6-ти фалангах и 3-х пястных костях правой кисти. Больше не выявлено. Выполнили двух этапную пластику. Наблюдения в динамике от 1 мес до 8 лет. Одна из пациенток после операции профессионально занимается лыжным спортом (молодёжная сборная России не хухры-мухры)- шучу. Доставка после оплаты в течение 2-3 суток по России курьером. С наилучшими пожеланиями Михаил.
    [ Ответить ]

    Re: киста фаланг пальцев
    Михаил Васильев 22 Март 2009, 21:07
    C данной патологией сталкивались неоднократно. У нас один из вариантов - экскохлеация полостей (расширеная биопсия), в случае доброкачественного процесса заполняем полость препаратом "КоллапАн". содержит антибиотик по выбору (см. http://www.collapan.ru/). Последний случай похожего характера. Полости располагались в 6-ти фалангах и 3-х пястных костях правой кисти. Больше не выявлено. Выполнили двух этапную пластику. Наблюдения в динамике от 1 мес до 8 лет. Одна из пациенток после операции профессионально занимается лыжным спортом (молодёжная сборная России не хухры-мухры)- шучу. Доставка после оплаты в течение 2-3 суток по России курьером. С наилучшими пожеланиями Михаил.
    [ Ответить ]

    Re: киста фаланг пальцев
    Михаил Васильев 22 Март 2009, 21:07
    C данной патологией сталкивались неоднократно. У нас один из вариантов - экскохлеация полостей (расширеная биопсия), в случае доброкачественного процесса заполняем полость препаратом "КоллапАн". содержит антибиотик по выбору (см. http://www.collapan.ru/). Последний случай похожего характера. Полости располагались в 6-ти фалангах и 3-х пястных костях правой кисти. Больше не выявлено. Выполнили двух этапную пластику. Наблюдения в динамике от 1 мес до 8 лет. Одна из пациенток после операции профессионально занимается лыжным спортом (молодёжная сборная России не хухры-мухры)- шучу. Доставка после оплаты в течение 2-3 суток по России курьером. С наилучшими пожеланиями Михаил.
    [ Ответить ]

    • Re: киста фаланг пальцев
      Отправитель: Abdurashid 25 Март 2009, 17:06

      Уважаемый Михаил Васильев! Спасибо!
      После Вашего послания сделал Р-граф. всей кисти, оказалось имеется патология 2 и 3 пястных костей!
      Если можно пожалуйста некоторые данные о Ваших больных, диагноз(с гистологией), технические нюансы операции.
      Коллапан(или другие заменители) доступно ли для стран СНГ, если да, практически как это делается, и стоимость продукта?
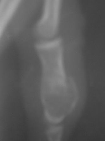
      Р-снимок прилагается.
      С уважением Абдурашид.



















      Кликните для загрузки файла PICT0006.JPG
      11KB (12015 bytes)

      [ Ответить ]
    Re: киста фаланг пальцев
    Николай Николаевич 22 Март 2009, 21:33
    Привет ребята !
    Это энхондрома.
    Кашицеобрразная масса - это гиалиновый хрящ.
    1.Трепанация фаланги.
    2.Очищение полости ложечкой Фолькмана.
    3.Промывание перекисью.
    4.Заполнение полости КоллАпаном, например Д(диоксидин).
    5. Может быть воспаление до 4-5 суток.
    (перестройка кости без воспаления не бывает).
    Не дренировать! Ждать пока бяка вытечет.
    6.Выписка на амбулаторное долечивание с рентген-контролем через 2 месяца.
    Удачи в труде!
    [ Ответить ]

    • Re: киста фаланг пальцев
      Отправитель: Abdurashid 23 Март 2009, 20:12


      Послеоперационные x-ray некачественные, всё ж кое что можно разглядеть, постараюсь повторно снять!
      Абдурашид.


      [ Ответить ]
    Re: киста фаланг пальцев
    SAGO 23 Март 2009, 23:57
    Стояние довольно приличное. Хорошо, что сохранили суставы. В такой ситуации вообще-то ничего и не придумаешь, кроме спиц. Поэтому я бы не менял метода фиксации. По снимкам больше похоже было на энхондрому, но вот меня смущает белесоватый цвет содержимого и кашицеобразная консистенция. Подождем гистологии.
    [ Ответить ]

    Re: киста фаланг пальцев
    Soul_Rio 26 Март 2009, 11:01
    Коллеги! Не стоит ли исключить какую нибудь из форм болезни Олье??????????

    [ Ответить ]

    Re: киста фаланг пальцев
    SAGO 27 Март 2009, 00:25
    Молоток!
    [ Ответить ]

    Re: киста фаланг пальцев
    Курышев Данила 27 Март 2009, 00:37
    А это и есть болезнь Олье! Как есть - классика. Она же - "энхондрома". Требует тщательного выскабливания и адекватного замещения. Хронос, аутокость - очень подходит. Не переживайте из-за тонких стенок, отбросьте эмоции по поводу "папиросной бумаги". Всё будет хорошо. Главное - спицы не забыть удалить вовремя. Болячка эта любит детей из близко родственных браков в изолированно живущих популяциях людей.

    :-) А Леспович, конечно, круто "навскидку" с пальцами предлагает расправиться :) ... АккуратнЕЕ надобно бы :)
    Успехов Вам!!
    [ Ответить ]

    Re: киста фаланг пальцев
    Lespovich 27 Март 2009, 19:45
    Круто или нет - жизнь покажет. А вот много ли толку от оставшихся "суставных поверхностей" , которые лишены уже и будут лишены подвижности в обозримом будущем на срок перестройки трансплантата???????????????????\
    И когда будут "сосиски" или "сардельки" - я могу предположить...
    В предложеном мной варианте сохранится подвижность в ПМФС, что есть основа функциональности пальцев, или есть кто-то, кто так не считает?
    Подбор спиц в данном случае - не очень удачный, Абдуашид, извините, я говорю что думаю, осевая "фиксация" типа шашлык на некровоснабжаемом аутоостеотр-те не надежна, думай, исходя из ситуации.
    PS: авторитетов для Вас, Абдурашид, нет, Вы и есть авторитет для пациента, Вы принимаете решение, пациент Вам верит, и иногда чем-то приходится жертвовать, поверьте приходится. Решение Ваше - жизнь её. Степень ответственности ощущаете?
    Салам!

    [ Ответить ]

    • Re: киста фаланг пальцев
      Отправитель: Коган П.Г. 27 Март 2009, 23:53
      Товарищи, можно долго искать истину и обсуждать "кулинарные изызски сосисок и нашампуривний", но тактике при энхондромах учат в "школе"(ну во всяком случае меня учили так). А тут можно сказать у кого какая школа ортопедии и дать очередной повод для споров =))

      [ Ответить ]
      • Re: киста фаланг пальцев
        Отправитель: Abdurashid 03 Апрель 2009, 23:43

        Гистологическое заключение- энхондрома!
        Уважаемые коллеги ! Готовимся на второй этап операции, но родители просять и согласны купить КОЛЛАПАН, ХРОНОС или других заменителей!
        НЕУЖЕЛИ НИКТО НЕ МОЖЕТЬ ПОМОЧЬ! Хотя бы советам, или чем нибудь еще!
        С уважением форуму Абдурашид.



        [ Ответить ]
    Re: киста фаланг пальцев
    Юрий Алексеевич Булахтин 04 Апрель 2009, 13:03
    Уважаемый Абдурашид!

    Непонятен отчаянный тон письма. Вроде все у вас идет хорошо. Тактику обсудили, гитологии дождались. В чем проблема, о какой помощи вы просите сейчас? Если, где купить каллапан и хронос, то напишите где вы находитесь, чтобы было поближе.
    Ю.А.Булахтин
    [ Ответить ]

    Re: киста фаланг пальцев
    SAGO 04 Апрель 2009, 16:47
    Согласен с доктором Булахтиным Ю.А. О каком втором этапе идет речь? Чего такой ажиотаж насчет Коллапана? Вполне можно обойтись и без него. Неужели своя кость хуже чужеродного костезаменителя?
    [ Ответить ]

    • Re: киста фаланг пальцев
      Отправитель: Abdurashid 04 Апрель 2009, 20:27

      Уважаемые коллеги! кажеется несколько разгорячился, прошу прошения!
      Дело в том, что 22.03.09г. на форуме коллега Михаил Васильев писал, что у него были несколько таких больных, использовал коллапан с отличным результатом,и доставка по России после оплаты 2-3 дня,тогда я представил Р-грамму где имеется патология 2 и 3 пястных костей, и просил помочь как достать коллапан! Просьба не было услышена!
      Готовимся оперировать 2 -3 пястных костей, родители на повторный забор аутокости не согласны, просять найти других заменителей.
      Я работаю в обл. многопроф. мед. центре.г Бухара. Узбекистан.
      С уважением Абдурашид.

      [ Ответить ]
      • Re: киста фаланг пальцев
        Отправитель: Иван 05 Апрель 2009, 16:43
        Уважаемый Абдурашид,

        > помочь как достать коллапан!

        так ведь на сайте http://www.collapan.ru/ подробно расписано где и как его купить: заказ он-лайн, оплата безнал, доставка почтой из Москвы... + там есть телефоны, координаты продающих фирм, в т.ч. в Ташкенте: ООО «Sergo Dental» ул. Бобура, д.77
        (810998712) 55-20-00
        (81099871) 362-91-11
        (81099871) 361-54-08

        С уважением.

        [ Ответить ]

     

    ( Ответить )

    Powered by Zope  Squishdot Powered MedLink
    Посетитель: 0391774
      "По форме правильно, а по существу - издевательство" В.И.Ленин
    ©2001-2019Orthoforum Coordinator.
    [ Главная | Отправить сообщение | Поиск | Админ ]