вверх
отправить
поиск
админ
главная
|
Сломаный блокирующий винт |
 |
 |
 |
Отправлено ANDREW 18 Март 2009, 00:49
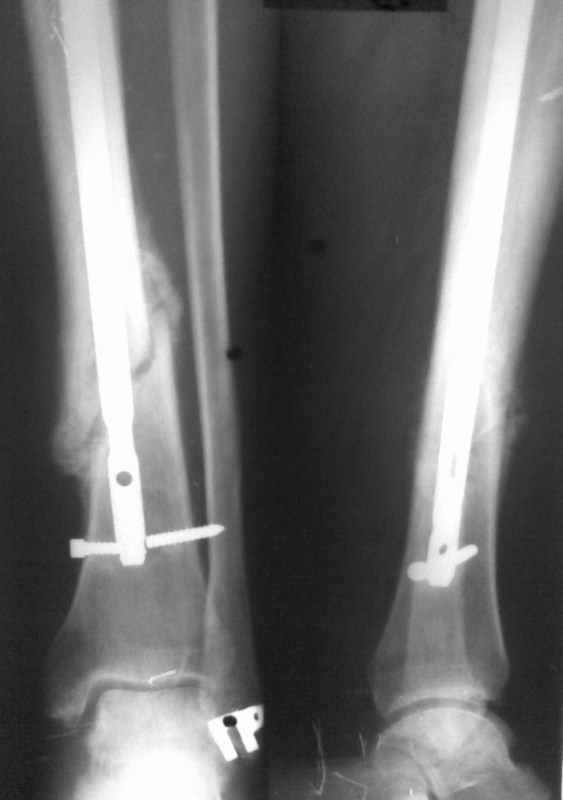
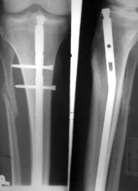
Сломан дистальный блокирующий винт Больному произведено ОМС перелома голени блокирующим стежнем 2 мес. назад. Через 1 мес больной начал наступать на ногу. В результате такая картина. Удален сломаный конец винта.Интересует вопрос о дальнейшей тактике лечения. Кто может посоветовать как дальше поступить. Оставить все как есть и приступать на ногу, провести замену стержня на другой или поступить как-то иначе. Спасибо за советы и предложения
<
|
>
|
|
Ответить
|
Re: Сломаный блокирующий винт
Адонин 19 Март 2009, 03:13
|
снимки покажите.
в большинстве случаев все оставлятся "как есть"
|
[
Ответить ]
|
Re: Сломаный блокирующий винт
Корнеев Ф.А 19 Март 2009, 10:14
|
оставляйте как есть, через год удалите все
|
[
Ответить ]
|
Re: Сломаный блокирующий винт
ANDREW 19 Март 2009, 17:50
|
снимки в приложении
|
[
Ответить ]
|
Re: Сломаный блокирующий винт
Alexey Semenisty 19 Март 2009, 17:58
|
> Больному произведено ОМС перелома голени блокирующим стежнем
ANDREW, а что такое "ОМС"? явно не Обязательное Медицинское Страхование....
> 2 мес. назад. Через 1 мес.... Удален сломаный конец винта.
Зачем???
>Оставить все как есть и приступать на ногу,
Это малоприемлимый вариант. Путь к дальнейшему усложнению проблемы. Дальше появится деформация, нарушится трофика, и т.д. и т.п.
провести замену стержня на другой или
Я за этот вариант.. Заменить на более длинный!!! и большего диаметра!!!, с предварительным рассверливанием!!! и блокированием дистально не одним 4,5 мм винтом!!!, а минимум двумя, или еще лучше тремя 5,0 или винтами... Проксимально можно ограничится динамическим блокированием
поступить как-то иначе.
Иначе? тоже можно, например, можно стабилизировать аппаратом Илизарова из двух кольцевых опор..., Можно удалить штифт и сделать малоинвазивно шинирование пластиной....
--
С уважением, А.Семенистый.
ГКБ № 13, Москва.
|
[
Ответить ]
|
Re: Сломаный блокирующий винт
адонин 20 Март 2009, 02:18
|
что-то сайт конкретно барахлит - впервые на моей памяти
Не вижу приложения :(
|
[
Ответить ]
|
Re: Сломаный блокирующий винт
Заднепровский Н.Н. 21 Март 2009, 07:16
|
Справа в верхнем углу страницы - см. приложение.
С ув. Заднепровский Н.Н.
|
[
Ответить ]
|
Re: Сломаный блокирующий винт
Адонин 21 Март 2009, 17:21
|
Конечно, возиожна масса вариантов.
Мое мнение - есть хорошая мозоль, и ось конечности весьма неплоха. Я бы оставил все как есть и рекомендовал бы больному на всякий случай повременить с нагрузкой на ногу еще на пару месяцев .
Конечно, изначально было бы лучше гвоздь взять на 2-4 см длиннее ( скорее на 4) и заблокировать его 2-3 шурупами, но, что сделано - то сделано
|
[
Ответить ]
|
Re: Сломаный блокирующий винт
Отправитель: Alexey Semenisty 21 Март 2009, 19:49
|
Мое мнение - есть хорошая мозоль, и ось конечности весьма неплоха. Я бы оставил все как есть и рекомендовал бы больному на всякий случай повременить с нагрузкой на ногу еще на пару месяцев .
Необходимо с пациентом сейчас обсудить все возможные варианты дальнейшего лечения, объяснить еиу все риски, недостатки и преимущества каждого из возможных вариантов, и вместе с ним принимть решение...
--
С уважением, А.Семенистый.
ГКБ № 13, Москва.
|
[
Ответить ]
|
Re: Сломаный блокирующий винт
Отправитель: Адонин 21 Март 2009, 21:19
|
однозначно, всегда и со всеми пациентами только так. Если формулировать предельно корректно, давайте скажем "взвесив все за и против и объяснив риски, осложениния отдаленные результаты, я бы рекомендовал пациенту оставить все как есть". Окончательное решение - всегда за больным, функция врача - обьяснить все возможные варианты языком, доступным больному.
|
[
Ответить ]
|
|
( Ответить )
|
|