ВХОД ДЛЯ ПАЦИЕНТОВ
вверх
поиск
админ
главная
|
интересный ложный сустав бедра |
 |
 |
 |
Прислано керимов артур 24 Март 2009, 22:33
из ГВКГ им. Н.Н.Бурденко
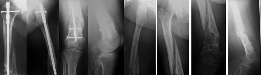
пациентка 58лет, ожирение III СТ., сахарный диабет 2 типа, 3 года назад БИОС бедра в г.Н-ске по поводу перелома в н\3, а теперь красота писаная!!!!!
уважаемые коллеги!
пациентка 58лет, ожирение III СТ., сахарный диабет 2 типа (субкомпенсированный), 3 года назад БИОС бедра в г.Н-ске по поводу перелома в н\3, нагрузка разрешена на ногу сразу, несмотря на вес, качество и метод остеосинтеза, а теперь красота писанная!! штифт убрали неделю назад с тех. трудностями, есть мнение выполнить, клиновидную остеостомию на уровне деформации, ретроградно с рассверливанием Expert с клинком и костной пластикой. Ваше мнение???
С уважением.
Керимов Артур
центр травматологии и ортопедии
ГВКГ им.Н.Н.Бурденко
г.Москва
Обратите внимание: Поля с жирными названиями обязательны.
Старайтесь отвечать в рамках обсуждаемой темы, а не начинать новые обсуждения.
Указывайте адекватную тему сообщения, чтобы было ясно, о чем оно.
Не послайте сообщений не по теме (оффтопик), раздраженных, грубых или обидных комментариев. Здесь это неуместно.
|