AOTRAUMA.ORG Центр Илизарова  

Ортопедия и травматология Общие вопросы/General questions Help Информационные технологии в медицине
 вверх
 отправить
 поиск
 админ
 главная


Комбинированная контрактура кисти
Ортопедия и травматология Отправлено Юрий Алексеевич Булахтин 29 Март 2009, 06:44 Камчатский Военно-морской госпиталь
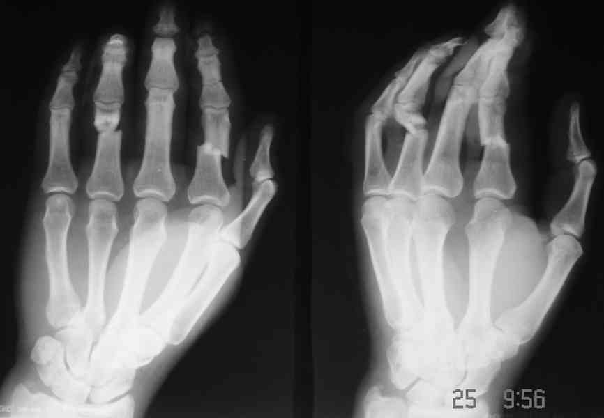
Уважаемые коллеги!Обратился больной с контрактурой 2-4 пальцев кисти. Травма год назад - рука попала в шнек. Планируется оперативное лечение.
Имеет-ли кто опыт укорачивающих остеотомий фаланг пальцев в подобных случаях?
Юрий Алексеевич Булахтин,главный травматолог Камчатского Военно-морского госпиталя

<  |  >

 

  • Сообщения о Ортопедия и травматология
  • Также Юрий Алексеевич Булахтин
  • Связаться с автором
  • Ответить

    Re: Комбинированная контрактура кисти
    Lespovich 29 Март 2009, 12:02
    Ув. Юрий! Думаю начать надо с банального тендолиза СР и артролиза ПМФС 2 и 4 пальцев, с последующим ЛФК.
    опыта укорачивающих остеотомий фаланг пальцев в подобных случаях не имею ( не ясна цель).
    С ув. Алексей.
    [ Ответить ]

    Re: Комбинированная контрактура кисти
    Юрий Алексеевич Булахтин 29 Март 2009, 12:58


    Коллега, спасибо за участие в обсуждении случая.
    При размещении с рисунков "исчезли" подписи, поэтому дополнительно указываю, что первая рентгенограмма - снимок после травмы, вторая - состояие на сегодня. На мой взгляд контрактура прежде всего артрогенная, т.к. ПМФС 2-го и 4-го пальцев находятся в подвывихе. Движения, в существующем на сегодня объеме, свободные - даст-ли тендолиз ожидаемый эффект? Стоит-ли начать с аппарата внешней фиксации? Не приведет-ли одномоментный артролиз и последующая попытка вправления при длительно существовавшем подвывихе к раздавливанию суставными поверхностямя друг друга?

    С уважением, Ю.А.Булахтин
    [ Ответить ]

    • Re: Комбинированная контрактура кисти
      Отправитель: Lespovich 29 Март 2009, 14:39
      C Rtg я разобрался, худо-бедно сращение есть. На мой взгляд контрактура обусловлена длительной иммобилизацией (сейчас уже не важно - вынужденная она была или нет).
      Сам по себе тендолиз и артролиз - занятие очень не благодарное, а хуже всего то, что сами знаем и объясняем пациентам, что максимальное послеоперационное повторное рубцевание идет вплоть до 28-30 дня, и что у самого пациента в руках в прямом и переносном смысле реальная возможность быть здоровым, не у всех хватает упорства и веры. На третьей неделе обьем движений прогрессивно уменьшается и у пациента начинается паника. Дальше хватает 4-5 дней для полной остановки. Бывает результат после операции (из-за этого) хуже, чем до неё. НО, когда пациент понимает, что другого пути нет, и зная о временных трудностях продолжает работать, а не ждать, результат зачастую радует.
      Артролиз иногда заменяю медленной редрессацией суставов, но без тендолиза - смысла нет.
      Думаю аппаратом подвижности не вернуть.
      Салют!

      [ Ответить ]
    Re: Комбинированная контрактура кисти
    SAGO 30 Март 2009, 23:46
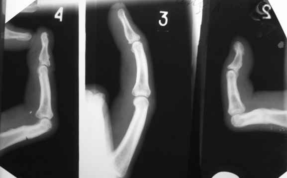
    Для того, чтобы понять, действительно ли ПМФС находятся в подвывихе, надо сначала сделать четкую боковую рентгенографю сустава. Особенно это касается второго пальца. Да и на мониторе очень плохо видно состояние головки проксимальной фаланги 4 пальца. И что означает такой интересный объем движений в суставах? Объясните - существует ограничение только активных движений ( и каких?) или еще и пассивных?
    [ Ответить ]

    Re: Комбинированная контрактура кисти
    Корнеев Ф.А 31 Март 2009, 11:39
    советую зайти на сайт ННИИТО Нижнего Новгорода
    [ Ответить ]

    • Re: Комбинированная контрактура кисти
      Отправитель: ANDREW 31 Март 2009, 16:49
      Ну зашел. И что там?

      [ Ответить ]
    Re: Комбинированная контрактура кисти
    Юрий Алексеевич Булахтин 02 Апрель 2009, 14:57
    Ограничение движений одинаковое и активных и пассивных. Движения в указанном объеме свободные. Чем вызвано ограничение понять пока не можем. В боковой проекции досняли - получается, что подвывиха нет. Вопросов, в отношении того, что мешает стало еще больше.



    С уважением, Ю.А.Булахтин

    [ Ответить ]

    • Re: Комбинированная контрактура кисти
      Отправитель: Lespovich 02 Апрель 2009, 17:10
      "Основной анатомической особенностью кисти является исключительно высокая (по сравнению с другими сегментами конечностей) концентрация скользящих структур (мышцы, сухожилия, суставы), перемещающихся с большой амплитудой. Эти структуры окружены относительно малым объемом мягких тканей, которые включают богатую сеть сосудов и нервов.
      Данная особенность является исходной точкой в цепи взаимосвязанных факторов, понимание которых хирургом имеет принципиальное значение...
      Вторым фактором исключительного значения является блокирование скользящих структур кисти рубцами, образование которых в ответ на повреждение тканей биологически детерминировано. Поэтому восстановление движений после травм и операций является, по сути дела, центральной проблемой хирургии кисти." Белоусов

      [ Ответить ]
    Re: Комбинированная контрактура кисти
    SAGO 02 Апрель 2009, 18:55
    Насколько я понял - у больного имеется сгибательная контрактура 2-4 пальцев, то есть активное и пассивое сгибание этих пальцев практически полное. Но наблюдается ограничение пассивного и, тем более, активного разгибания пальцев, особенно 2 и 4 , в проксимальных межфаланговых суставах. Я так понял? Вы не указали, переломы были открытыми или закрытыми. Были ли повреждения сухожилий сгибателей или разгибателей? Если переломы были закрытые и если больного ну абсолютно не устраивает такое положение пальцев, то можно предложить следующие варианты. 1. Курс физиолечения плюс статические и динамические ( то есть с резиновой тягой) шины. Если больной это все получал и не отмечено положительного эффекта, то можно использовать второй вариант в различных модификациях. 1а- под проводниковой анестезией провести попытку редрессации, но не грубой, чтобы не поломать пальцы. Если редрессация не удается, то выполнить ладонную капсулотомию проксимального межфалангового сустава через 1-2 боковых поперечных разреза по нейтральным линиям пальца. Иногда приходится частично рассекать боковые связки. Опять попытка редрессации. Если снова ничего не получается, то следует обратить внимание на напряженный поверхностный сгибатель пальца. Этот сгибатель через эти же боковые разрезы нужно рассечь. Опять редрессация. Думаю, что в последнем случае Вам повезет. Уффф!
    [ Ответить ]

    Re: Комбинированная контрактура кисти
    SAGO 02 Апрель 2009, 18:58
    Да, забыл. Третий палец я бы вообще не трогал или ограничился только лишь небольшой редрессацией ( насколько я понял по картинкам и описанию - ограничение пассивно-активной функции на 3 пальце - абсолютно минимальные).
    [ Ответить ]

    Re: Комбинированная контрактура кисти
    Юрий Алексеевич Булахтин 02 Апрель 2009, 23:57
    Слова уважаемого Анатолия Егоровича не вызывают сомнения. Именно найти ведущую причину ограничения движений и рациональный способ лечения мы и пытаемся.
    Повреждение было открытым - кисть в перчатке попал в шнек сгоуборочной машины (что-то вроде большой мясорубки). Лечился по месту жительства остеосинтез спицами, ушивание ран. Через три недели спицы удалили. Со слов, сухожилия не шили - документов нет. В рубцах, конечно, и сгибатели и разгибатели. Вот только, как я уже говорил непонятно почему, в доступном объеме, движения совершенно свободные? Например, если разгибатель фиксирован на уровне основной фаланги то почему есть разгибание до середины, а если не фиксирован то что мешает дальше "скользить" и разгибать до конца.

    С уважением, Ю.А.Булахтин
    [ Ответить ]

    Re: Комбинированная контрактура кисти
    Сафонов Михаил 03 Апрель 2009, 23:02
    Уважаемый Ю.А. Булахтин,
    Такой вопрос: Изменяется ли степень контрактуры при максимальной ладонной флексии кисти?

    Сафонов М.Н.
    Екатеринбург, ГБ №36
    [ Ответить ]

    Re: Комбинированная контрактура кисти
    SAGO 04 Апрель 2009, 16:41
    К сожалению, я так до конца и не разобрался в клинической картинке. Лучше всего, конечно, посмотреть больного вживую. Увы...
    [ Ответить ]

    Re: Комбинированная контрактура кисти
    Юрий Алексеевич Булахтин 05 Апрель 2009, 12:28
    Спасибо всем, кто помогает разобраться. Больной
    временно недоступен. Появится - постараюсь выполнить все рекомендации.

    С уважением, Ю.А. Булахтин
    [ Ответить ]

    Re: Комбинированная контрактура кисти
    lomakin Sergei 14 Апрель 2009, 00:38
    На мой взгляд лучшим методом будет наложения дистракционных аппарата типа (Лазарева-Коршунова)
    аппараты обычно накладывают через один палец например на 2 и 4
    и дальнейший перевод пациента на функциональную шину.
    [ Ответить ]

    Re: Комбинированная контрактура кисти
    Обухов И.А. 28 Декабрь 2009, 00:33
    Интересно, чем закончилось лечение Вашего больного. То, что было Вами представлено на форум, довольно часто встречается. Можно было получить очень хороший результат. К сожалению, зашел на форум впервые только сейчас. Хотелось бы узнать что получилось? С уважением, д.Обухов И.А.
    [ Ответить ]


    ( Ответить )

    Powered by Zope  Squishdot Powered MedLink
    Посетитель: 0000033
      "По форме правильно, а по существу - издевательство" В.И.Ленин
    ©2001-2019Orthoforum Coordinator.
    [ Главная | Отправить сообщение | Поиск | Админ ]