ВХОД ДЛЯ ПАЦИЕНТОВ
вверх
поиск
админ
главная
|
Осложнение после операции на hallux valgus |
 |
 |
 |
Прислано Быстров Сергей 04 Апрель 2009, 11:56
из Тверь. Областная больница
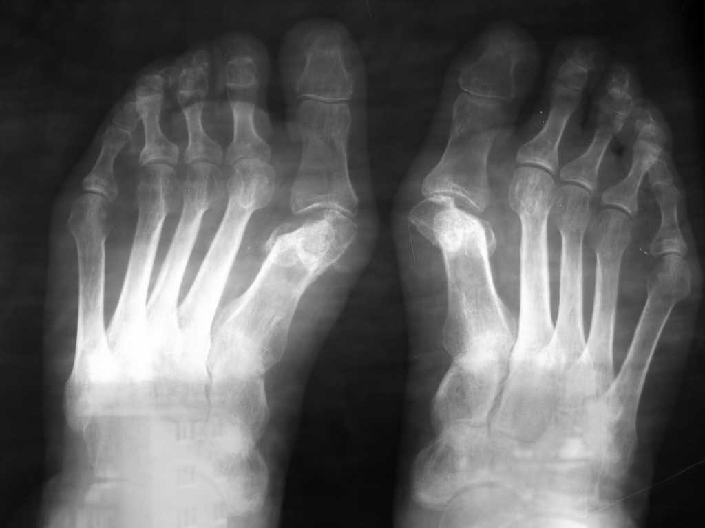
Уважаемые коллеги. Помогите определиться с дальнейшей тактикой лечения.
У пациентки после операции по поводу вальгусной деформации 1-х пальцев стоп, выполненной в одной из клиник нашего города 8 месяцев назад имеется картина асептического некроза головок 1-х плюсневых костей. Беспокоят боли в плюсне-фаланговых суставах, больше на правой ноге. (По-видимому, была выполнена операция Шаде-Бома с клиновидной резекцией головок 1-х плюсневых костей). Помогите советом. Мы думаем выполнить моделирующую резекцию головок плюсневых костей, удалить экзостозы, сформировать по возможности сферическую форму головок. Либо напрвить больную на эндопртезирование плюсне-фаланговых суставов.
Обратите внимание: Поля с жирными названиями обязательны.
Старайтесь отвечать в рамках обсуждаемой темы, а не начинать новые обсуждения.
Указывайте адекватную тему сообщения, чтобы было ясно, о чем оно.
Не послайте сообщений не по теме (оффтопик), раздраженных, грубых или обидных комментариев. Здесь это неуместно.
|