вверх
отправить
поиск
админ
главная
|
Отправлено Евгений 06 Апрель 2009, 11:32
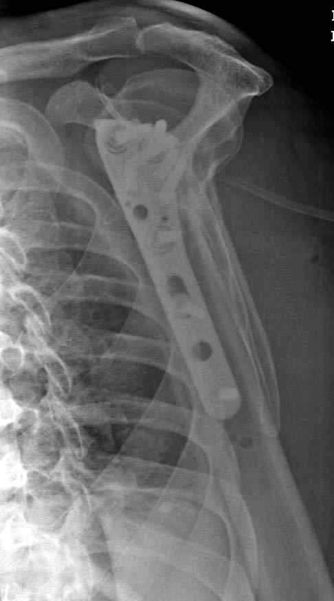
Пациентка Б.1953 г.р., врач-терапевт. Травма 27.11.08г. Падение с высоты роста. Выявлен закрытый не осложненный оскольчатый перелом хирургической шейки левого плеча со смещением. 02.12.08г. оперирована. Выполнена открытая репозиция и остеосинтез пластиной LCP Деост с дополнительной фиксацией отдельно лежащего фрагмента винтом. Послеоперационный период протекал без особенностей, заживление раны первичным натяжением. Швы сняты через 10 дней. Иммобилизация левой верхней конечности клиновидной подушкой 4 недели. По окончании срока – рентген-контроль и умеренная разработка плечевого сустава. В течении месяца функция левого плечевого сустава восстановилась удовлетворительно: поднятие руки до 110 гр., отведение - 90 гр. и до 110 гр. отведение с лопаткой. Отведение руки назад – 20 гр. Наружная и внутренняя ротация – 20 гр. Пациентка по настоянию самостоятельно вышла на работу. 27.03.09 при контрольном осмотре жалоб не предъявляет, болевой синдром в левом плечевом суставе отсутствует. Отведение плеча активно до 90 гр, пассивно с лопаткой до 110 гр., поднятие – 110 гр, отведение назад 20 гр, наружная и внутренняя ротация по 20 гр. На контрольных рентгенограммах отмечается смещение металлоконструкции, ротация головки плеча с приведением дистального отломка на 13 гр. и смещением к зади на 30 гр. Рентгенограммы прилагаются. Ваш взгляд на дальнейшую тактику лечения пациентки?
<
|
>
|
|
Ответить
|
Re: Шейка плеча
Alexander Chelnokov 06 Апрель 2009, 22:36
|
при контрольном осмотре жалоб не предъявляет, болевой синдром в левом плечевом суставе отсутствует
Как сейчас формулируется лечебная задача? Какие проблемы должно решить дальнейшеее лечение?
|
[
Ответить ]
|
Re: Шейка плеча
Отправитель: Евгений 07 Апрель 2009, 11:58
|
Естественно - максимально полное восстановление функции плеча.
Почему задаю вопрос? Есть несколько мнений, которых пришлось услышать пациентке от разных специалистов: не вмешиваться и оставить все как есть, выждать месяц и удалить пластину, выполнить реостеосинтез пластиной LCP с костной пластикой, удалить пластину и выполнить синтез реконструктивным стержнем, эндопротезирование травматологическим протезом.
|
[
Ответить ]
|
|
Re: Шейка плеча
В. Машталов 07 Апрель 2009, 22:39
|
Уважаемый Евгений!
Ни какой миграции и смещения пластины нет, это изначальные смещения при остесинтезе.
В. Машталов
|
[
Ответить ]
|
Re: Шейка плеча
Александр Рыков 07 Апрель 2009, 22:43
|
Нет аксиальной проекции сразу после вмешательства. Возможно, никакого значительного смещения нет, все осталось так, как первично сопоставили...и,
срослось. А посему. ....Пусть живет дальше. Железки уберите в срок. Далее по ситуации и претензиям пациентки на увеличение функции.
А Рыков. Хабаровск.
|
[
Ответить ]
|
Re: Шейка плеча
Нещасный Андрей 07 Апрель 2009, 23:44
|
Уважаемый Евгений, похоже, что первый и второй Р-снимки выполнены несколько в разных положениях(ротация) плечевой кости, в связи с этим создается впечатление смещения пластины. Остеосинтез выполнен при угловом смещении отломков.Таковым и остался. Данная ситуация была бы очевидна гораздо раньше, если бы при контрольной Р-графии были выполнены снимки в 2-х проекциях.(Не в обиду, сам иногда выполняю только один).
А тактика? Продолжайте ЛФК. Перелом консолидировался. Дополнительные оперативные вмешательства считаю нецелесообразным. Результат будет хорошим.
|
[
Ответить ]
|
Re: Шейка плеча
Отправитель: Евгений 08 Апрель 2009, 08:31
|
Спасибо за комментарий.
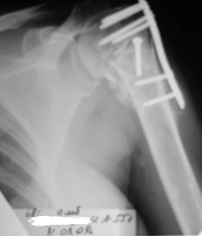
Рентгенограммы действительно с дефектом укладки, но интраоперационная репозиция, можете поверить, была удовлетворительная как в акcиальной, так и в сагиттальной плоскостях. Интраоперационная рентгенограмма прилагается, хотя укладка тоже на ахти. По тактике - разделяю Ваше мнение об отсутствии необходимости реостеосинтеза, а тем более об эндопротезировании, хотя это все было предложено пациентке ведущими ортопедами-травматологами России.
|
[
Ответить ]
|
|
Re: Шейка плеча
Djoldas Kuldjanov 18 Апрель 2009, 00:30
|
По тактике - разделяю Ваше мнение об отсутствии необходимости реостеосинтеза, а тем более об эндопротезировании, хотя это все было предложено пациентке ведущими отропедами-травматологами
В классификации переломов по Neer дается ответ по тактике, как лечить эти переломы, и все зависит от частей вовлеченных в перелом.
http://hwbf.org/ota/bfc/schmi1/exp.htm
В большинстве случаев (85%) закрытые неосложненные (из двух частей) переломы проксимального плеча (особенно у молодых 56 лет) консолидируются без операции в течение 4 недель на косыночной повязке.
Показаниями к операции является 1 см и более смещение между отломками и угловое смещение более 45 градусов. Литературные данные поддерживают, что смещение большого бугорка 5 мм является показанием для открытой репозиции.
У молодых переломы со смещением, состоящие из 2 и 3 частей, показаны к открытому остеосинтезу. Трудно лечить переломы из 4 частей, у пожилых обычный парциальный эндопротез создаст максимум комфорт, а у молодых, несмотря на высокий процент осложнений, желательно сопоставить открытым методом.
Описаны множество вариантов оперативной техники при свежих переломах: пластина, гвоздь, перкутанные спицы (проблема с миграцией), включая методику Лазарева напряженными спицами.
Но первичный остеосинтез в шестинедельный срок большой риск, лучше было бы подождать до консолидации перелома и до ре-кондиции мягкого покрова.
Восстановительные операции (остеотомия) на проксимальном плече делают тогда, когда результат консервативного лечения не удовлетворяет больного. Желательно такие операции проводить после восстановления движения в суставе.
Для облегчения рентгенологического контроля во время операции мы применяем полусидячее, так называемое положение “beach chair” на операционном столе. Наши столы позволяют поднять ножной конец до необходимой высоты, только надо усадить больного к ножному концу стола.
Ошибки встречаются тогда, когда удовлетворяются только одной проекцией рентгена.
Здесь пример открытой репозиции 57 летнего с переломом плеча (1,2) смещение обнаружено на интероперационном снимке. При нормальной прямой проекция (3) угловое смещение обнаружили в аксиальной проекции (4)
После устранения смещения пластина установлена выше (5,6,7) и финальные снимки (8,9,10)
Подбор импланта тоже имеет значение, например многие импланты направлены для фиксации перелома без учета ротаторной манжетки. Предпочтительными являются низко сидящие полиаксиальные пластины, где верхние шурупы можно проводить под углом в 120 градусов. (11)
Пластина от Synthes или ее копии (надеюсь простят критику друзья из Деоста) считаются трудным из-за обширности доступа, особенно при установке верхне-заднего шурупа, где доступ надо расширять в верхнем отделе до ротаторной манжетки. Верхне сидящие импланты предназначены для проведения опоры (buttress) за бугристость плеча, но тогда приходится сталкиваться с подакромиальным импинжментом.
http://products.synthes.com/prod_support/Product%20Support%20Materials/Technique%20Guides/SUSA/SUTG35LcpPrxhumPltJ4029F.pdf
Интересно, но факт, что в некоторых странах платежеспособность больного играет немаловажный фактор в расширении показании к операции от ре-остеосинтеза до эндопротезирования.
Хотя в данном случае после такого остеосинтеза трудно угадать, что будет в ближайшее время, все зависит от желания и активности больной. Отсутствие позитивной динамики в амплитуде движении и болевой симптом является показанием к ре-остеосинтезу.
Djoldas Kuldjanov, M.D.
Department of Orthopedic Surgery
St.Louis University
|
[
Ответить ]
|
Re: Шейка плеча
Отправитель: Djoldas Kuldjanov 20 Апрель 2009, 19:33
|

дополнительные снимки по протезированию
Djoldas Kuldjanov, MD
Department of Orthopedic Surgery
St. Louis University Medical Center
|
[
Ответить ]
|
|
( Ответить )
|
|