AOTRAUMA.ORG Центр Илизарова  

Ортопедия и травматология Общие вопросы/General questions Help Информационные технологии в медицине
 вверх
 отправить
 поиск
 админ
 главная


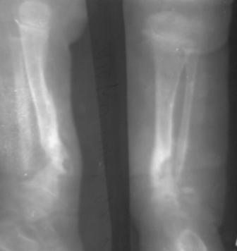
Врожденный ложный сустав голени
Ортопедия и травматология Отправлено Abdurashid 11 Апрель 2009, 19:35
Ребенок август 2007г.р. В марте 2008г оперирован детским ортопедом, приглашенным из центра, клиновидная остеотомия, коррекция деформации, фиксация и/м спицами.
Через год рецидив деформации и л/с.
Родители родственники, родился 5 кг, по счету третий, ребенок упитанный (как говорят педиатры - лимфатик), левая нога укорочена на 2,5см. функция коленного и г/с суставов сохранена.
Наш план. 1-этап. аппарат Илизарова, коррекция деформации.
2-этап. Открыто освежение (по возможности до появления росы) и адаптация концов- образуется дефект, кортикотомия проксимального метафиза и удлинение по методу Илизарова, и фиксация на аппарате до консолидации.
Уважаемые коллеги! Уважаемые детские ортопеды! С благодарностью принимаем советы и критику.
С уважением Абдурашид.

<  |  >

 

  • Сообщения о Ортопедия и травматология
  • Также Abdurashid
  • Связаться с автором
  • Ответить

    Re: Врожденный ложный сустав голени
    А.В. Шахин 13 Апрель 2009, 14:01
    Уважаемый Абдурашид! Только микрохирургический костный аутотрансплантат! Иначе - опять рецидив. С уважением!
    [ Ответить ]

    • Re: Врожденный ложный сустав голени
      Отправитель: Abdurashid 13 Апрель 2009, 18:39
      Уважаемый А.В.Шахин! Спасибо большое!
      Микрохирургическая техника пока в нашем Республиканском НИИТО на стадии внедрения, а материальное состояние родителей не позволяет
      направить куда либо за рубеж.
      НО, у меня был случай лет 10-12 назад: девочка 4 года, врожден. ложный сустав сред.нижней треть голени (в виде сосульки). Произведена операция резекция ложного сустава до здоровой кости(около 6см.), кортикотомия проксим.метафиза, удлинение по методу Илизарова, и фиксация в аппарате примерно 5-6 месяцев (если не ошибаюсь!), и полное восстановление.
      Рентген снимки видимо не сохранились, но если надо девочку, видимо, можно найти.
      Уважаемые коллеги! Поэтому если у кого есть опыт лечения, прощу поделитесь пожалуйста!
      (исходя из имеющихся возможностей)
      С уважением Абдурашид.


      [ Ответить ]
    Re: Врожденный ложный сустав голени
    Soul_rio 13 Апрель 2009, 19:08
    Уважаемый Абдурашид!
    Соглашусь с коллегой, что микрохирургия выходит на первый план. Ваксуляризовнанный свободный малоберцовый трансплантат (с противоположной голени). Или низведите малоберцовку на сосудистом пучке и перекройте зону ложняка.

    Все попытки остеотомий, применение свободных неваскуляризованных трансплантатов и т. д. оказываются неудачными.

    P.S. Хотя у проф. Шевцова из Кургана диссертация на эту тему. Они обходятся без микры. Но оптимальный возраст для операции 14-15 лет.

    С уважением Soul_Rio.
    [ Ответить ]

    Re: Врожденный ложный сустав голени
    Олег Веремий 13 Апрель 2009, 22:04
    Уважаемый Абдурашид!
    Имеем опыт лечения данной патологии и изучения отдаленных результатов на протяжении 25 лет. С годами выработали определенную тактику, которая дает положительные результаты. Прилагается статья, правда на украинском языке, но я думаю, что ее можно понять. Сначала тоже таких маленьких оперировали, но потом поняли, что это зря.На наш взгляд аппарат Илизарова с билокальным КДО можно начинать не ранее 3.5 -4 летнего возраста, до этого - этапные скоч и софт-кастовые повязки. Желаем удачи в лечении данного ребенка! С уважением, Олег Веремий.

    [ Ответить ]

    • Re: Врожденный ложный сустав голени
      Отправитель: ANDREW 14 Апрель 2009, 00:12
      При открытии файла требуется пароль.

      [ Ответить ]
    • Re: Врожденный ложный сустав голени
      Отправитель: Abdurashid 14 Апрель 2009, 17:02


      Уважаемый Олег! Файл не открывается, требуется парол, подскажите пожалуйста, как открывать?
      С благодарностью Абдурашид.

      [ Ответить ]
    Re: Врожденный ложный сустав голени
    Курышев Данила 14 Апрель 2009, 00:38
    всё же лучше микрохирургического трансплантата в этом возрасте и не придумать.

    Искал - не могу статью найти буржуйскую, лет 10 назад выходила - доктора объясняли и доказывали что лучше и дешевле ампутации нет правильнее лечения. Обосновывали карсиво. Протезы у них шикарные на фото были.
    [ Ответить ]

    Re: Врожденный ложный сустав голени
    mark eidelman 14 Апрель 2009, 18:01
    Zdravsvuite zemlyak.
    U vas congenital pseudoarthrosis of the tibia.Esli by rebenok ne byl operirovan bylo by namnogo legche lechit.Net problem skostnoi mozoliu, problema vperioste-eto bolezn periosta.Vam neobhodimo sdelat periostal excision-budte gotovy chto periost budet ochen tostyi.Distalno neobhodimo ukototit tibia+fibula,votknut odin konez vdrugoi.Dlya togo chto by vosstanovit dlinu neobhodimo sdelat proximal tibial lengthening.KW 1.5 mm ne bolshe.Obyazatelno zafixiruite stopu toghe(distalnyi konez korotok).Esli vse budet normalno pered snyatiem apparata neobxodimo zafixirovat tibia/ fibula elatic nail inache budet refracture v80%.Moghno provesti nail ili cherez talus-tibia ili ot medial malleolus.
    Udachi,
    Mark Eidelman
    [ Ответить ]

    • Re: Врожденный ложный сустав голени
      Отправитель: Abdurashid 15 Апрель 2009, 17:59

      Здравствуйте Марк. Спасибо за очень интересный материал! Марк если не затруднить можно пожалуйста поподробней об этом, статья или еще что!
      С благодарностью Абдурашид.

      [ Ответить ]
      • Re: Врожденный ложный сустав голени
        Отправитель: Mark Eidelman 17 Апрель 2009, 20:48
        Eto to chto bylo pod rukoi

        PDF, 279 Kb

        [ Ответить ]
    Re: Врожденный ложный сустав голени
    Олег Веремий 15 Апрель 2009, 00:35
    Файл Word, 113 Kb.

    Прошу извинения за пароль на файле, исправляю ошибку.

    [ Ответить ]

    • Re: Врожденный ложный сустав голени
      Отправитель: Abdurashid 18 Апрель 2009, 20:13

      Уважаемый Коллеги! Я получил огромную удоволствие от общения на форуме! И не только, а главное с Вашей помощи будем лечить больных правильно, это для нас врачей из периферии имеет огромное значение!
      Выражаем искренную благодарность Mark Eidelman, Олег Веремий, Soul rio, А.В.Шахин, Курышев Данила и Всем ,Всем!
      После долгих размышлений решили данного ребенка оперировать после 4-5лет.
      С уважением и благодарностью Абдурашид.

      [ Ответить ]

     

    ( Ответить )

    Powered by Zope  Squishdot Powered MedLink
    Посетитель: 0392221
      "По форме правильно, а по существу - издевательство" В.И.Ленин
    ©2001-2019Orthoforum Coordinator.
    [ Главная | Отправить сообщение | Поиск | Админ ]