вверх
отправить
поиск
админ
главная
|
THR высокий врожденный вывих бедра |
 |
 |
 |
Отправлено Maxim Agalakov 23 Апрель 2009, 10:49
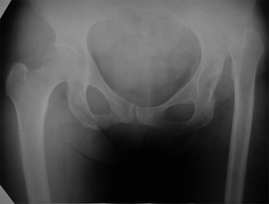
Госпитализирована пациентка 54 лет с высоким врожденным вывихом левого бедра. Основная жалоба - укорочение левой н/конечности (до 6 см), движения в полном объеме, боли в суставе нет. Вопросы: необходимо ли вообще выполнять THR или попытаться отговорить пациентку? Если делать, то как, дозированно низвести в аппарате, одномоментно с укорачивающей резекцией, потом удлинить бедро? насколько сильно пострадает коленный сустав (сейчас не беспокоит? Максим Агалаков, Е-бург.
<
|
>
|
|
Ответить
|
Re: THR высокий врожденный вывих бедра
Коган П.Г. 23 Апрель 2009, 23:09
|
Доброго всем времени суток!
Уважаемый д-р Агалаков!
На Вашем месте, я бы постарался отговорить пациентку от "этого". Здесь игра может не стоить свеч. Если она 54 года прожила с такой ногой, то сможет так же спокойно прожить отмеренный богом срок. Не стоит перечислять все перестройки организма связанные с укорочением конечности, соответственной перестройкой стереотипа походки и т.д. и т.п.
Если у больной кроме жалобы на укорочение ничего нет, и у вас не "зреет" научная работа на эту тему, - то лучше пока не трогать.
А вообще, есть описанные случаи (в литературе), и в РНИИТО им Вредена видел, как В.М. Машков ставил ЭП (чашку) на место "сформированной временем новой вертлужной впадины" (но при этом пациенты предъявляли реальные жалобы на боли, это их дествительно беспокоило, нарушало качество жизни и т.д
Решайте
С уважением Коган П.Г.)
|
[
Ответить ]
|
Re: THR высокий врожденный вывих бедра
Юхимчук Олег г.Киев 23 Апрель 2009, 23:33
|
Здравствуйте! Максим, если хотите иметь "родственницу" на долгие годы - беритесь!!! Учитывая то, что пац-ка жила с данной проблемой столько лет - пусть живет дальше!!! Если делать, я думаю нужно начать с аппарата, поточно заняться проблемами мышц и коленного сустава, которые появятся в процессе дистракции. Даже если низведете, поборите контрактуру коленного сустава и напряжение мышечной массы, поставите протез - будет ли пац-ка чувствовать комфорт?
|
[
Ответить ]
|
Re: THR высокий врожденный вывих бедра
Maxim Agalakov 09 Май 2009, 23:24
|
применили несколько нестандартный подход, выполнили операцию по поводу комбинированного плоскостопия, вальгусной деформации I п стопы
|
[
Ответить ]
|
( Ответить )
|
|