AOTRAUMA.ORG Центр Илизарова  

Ортопедия и травматология Общие вопросы/General questions Help Информационные технологии в медицине
 вверх
 отправить
 поиск
 админ
 главная


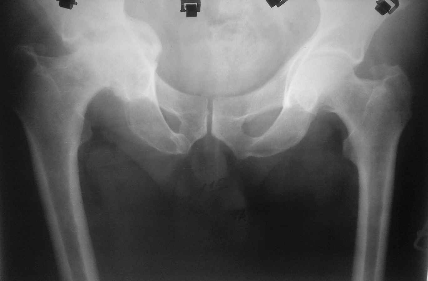
протрузионный коксартроз
Ортопедия и травматология Отправлено Анатолий 25 Апрель 2009, 10:42 Минская обл. клин. больница
Здравствуйте. Уважаемые коллеги, поделитесь опытом у кого какая тактика при протрузионных коксартрозах
У нас в клинике принято выполнять костную пластику дна стружкой из гололки, а потом цементную чашку (снимки прилагаю). Выскажите свои взгляды на эту проблему, пожалуйста.

<  |  >

 

  • Сообщения о Ортопедия и травматология
  • Также Анатолий
  • Связаться с автором
  • Ответить

    Re: протрузионный коксартроз
    Maxim Agalakov 25 Апрель 2009, 21:55
    мы делаем пластику чипсами из головки, затем press fit.
    Максим Агалаков, Екатеринбург
    [ Ответить ]

    Re: протрузионный коксартроз
    Alexander Rykov 26 Апрель 2009, 08:12
    А почему цемент. Лучше бесцементную чашу в данном случае. А Рыков Хабаровск
    [ Ответить ]

    • Re: протрузионный коксартроз
      Отправитель: Maxim Agalakov 27 Апрель 2009, 19:36
      согласен, в цемент вряд ли прорастет даже аутокость. а вот в какой-нибудь Porocoat возможно.

      [ Ответить ]
      • Re: протрузионный коксартроз
        Отправитель: анатолий 28 Апрель 2009, 13:02
        спасибо за коментарии, я сам не понимаю почему у нас такая тактика.

        [ Ответить ]

     

    ( Ответить )

    Powered by Zope  Squishdot Powered MedLink
    Посетитель: 0198119
      "По форме правильно, а по существу - издевательство" В.И.Ленин
    ©2001-2019Orthoforum Coordinator.
    [ Главная | Отправить сообщение | Поиск | Админ ]