ВХОД ДЛЯ ПАЦИЕНТОВ
вверх
поиск
админ
главная
|
Гетеротопический оссификат в локтевом суставе |
 |
 |
 |
Прислано Быстров Сергей 27 Апрель 2009, 17:31
из
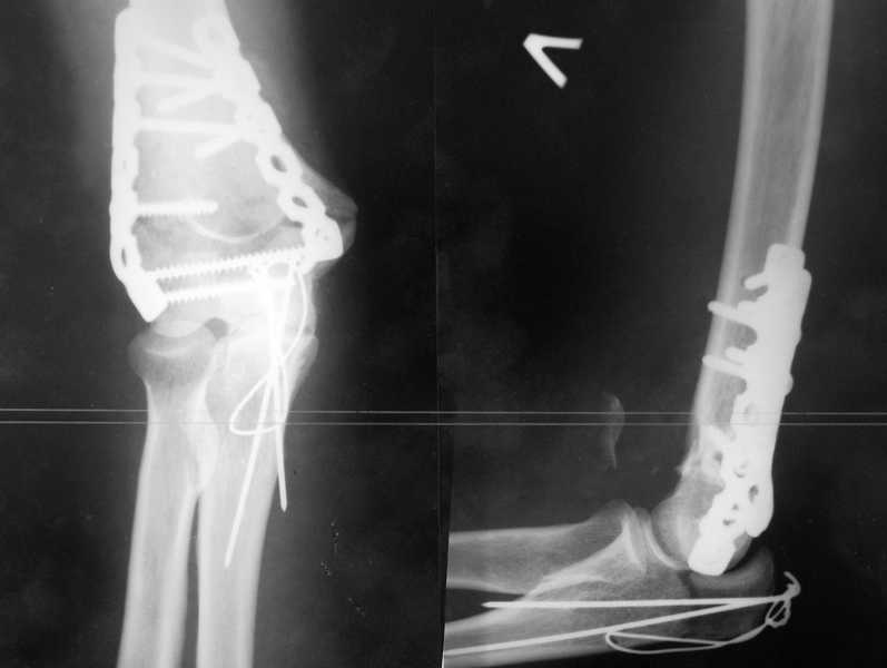
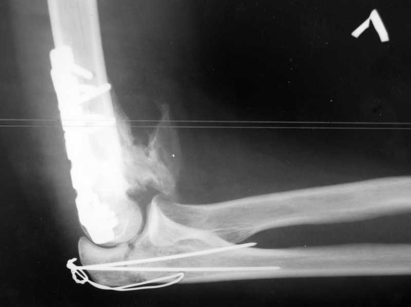
У пациентки 42 лет после операции остеосинтеза чрезмыщелкового перелома плеча, выполненной в нашей клинике 2 месяца назад, на контрольных R-граммах имеется гетеротопический оссификат по передней поверхности плеча.
Оперирована по методике АО, после операции максимально рано начала заниматся ЛФК. В настоящее время основная жалоба пациентки на ограничение сгибания в локтевом суставе. Клинически объем движений: сгибание 90 градусов, разгибание 170 градусов, ротационные движения в полном объеме. Привожу снимки сразу после операции и через 2 месяца. (На рентгенограммах после операции в мягких тканях по передней поверхности плеча имеется небольшой костный фрагмент, но его ширина во фронтальной плоскости не более 1 мм., обнаружен был по снимкам после операции. Интраоперационно основные крупные фрагменты отрепонировались хорошо, объем движений был сгибание до 75 градусов, разгибание 175 град.)
Пациентка неудовлетворена объемом сгибания, хотя была предупреждена о высокой вероятности ограничения движений. Профилактика гетеротопической оссификации (прием индометацина) не проводилась, т.к. имелась язвенная болезнь, да и эффект от его приема считаю сомнительным.
Вопросы: 1.Стоит ли вмешиваться и пытаться удалить экзостоз? Если да,то в какие сроки и каким доступом лучше идти?
2. Оставить все как есть?
3. Не поможет ли ударно-волновая терапия либо какая-то другая методика?
Буду благодарен за все ответы и оценки своей работы. С таким осложнением столкнулся впервые.
Обратите внимание: Поля с жирными названиями обязательны.
Старайтесь отвечать в рамках обсуждаемой темы, а не начинать новые обсуждения.
Указывайте адекватную тему сообщения, чтобы было ясно, о чем оно.
Не послайте сообщений не по теме (оффтопик), раздраженных, грубых или обидных комментариев. Здесь это неуместно.
|