вверх
отправить
поиск
админ
главная
|
Ложный сустав в/3 плечевой кости! |
 |
 |
 |
Отправлено Евгений 28 Апрель 2009, 00:16
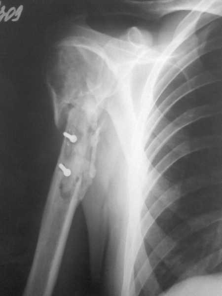
Здравствуйте, коллеги!!! К нам в отделение госпитализирован пациент 39 лет с клинико-рентгенологической картиной ложного сустава в/3 плечевой кости! Снимки прилагаются! Предистория такова: около года назад получил оскольчатый перелом в/3 плечевой кости. В одной из московских больниц выполнен остеосинтез пластиной, через несколько месяцев выполнен реостеосинтез, опять же пластной...., причины реостеосинтеза со слов пациента таковы - "доктору не понравилась как лежит пластина и он ее переложил..." - два месяца назад выполнено удаление фиксатора. Никаких выписок у больного нет. Около недели назад больной ударился областью плечевого сустава, появились боли, в связи с чем он обратился в травмопункт, откуда направлен к нам. Клинически у пациента имеется подвижность в области в\3 плеча, костная крепитация, умеренная болезненность в в/3 плеча при движениях, атрофия дельтовидной мышцы. На следующей недели планируем пациента опериравать. Коллеги, у нас возникло несколько вопросов, если не затруднит, то посоветуйте и подскажите... Мы планируем выполнить закрытый блокируемый остеосинтез, скажите пожалуйста, нужно ли в этом случае, на ваш взгляд, выполнять костную пластику или достаточно выполнить рассверливание костномозгового канала и заштифтовать толстым гвоздем, нужно ли пытаться удалить винты??? У нас в отделении идут дискуссии по этому поводу, придти к общему знаменателю не можем, поэтому и обращаемся к Вам!!! На основании ваших отзывов мы и примем окончательное решение!!! Спасибо!!! Очень ждем Ваших комментариев!!!
<
|
>
|
|
Ответить
|
Re: Ложный сустав в/3 плечевой кости!
Евгений 29 Апрель 2009, 10:20
|
Винты можно не удалять. Рассверливание с толстым гвоздем. В дальнейшем восстановить максимально функцию плечевого сустава в ближайшие сроки после операции. И через 2 месяца оценить жизнеспособность головки плеча (идеал - радиоизотопная сцинтиграфия). Не исключено развитие ассептического некроза головки в послеоперационном периоде, что потребует в дальнейшем протезирования.
Удачи!
|
[
Ответить ]
|
Re: Ложный сустав в/3 плечевой кости!
Ivan Petrov 29 Апрель 2009, 21:12
|
В данном случае на выбор метода операции повлияют:
1. жизнеспособность головки плечевой кости, которая может быть установлена при КТ плечевого сустава. Если головка нежизнеспособная, то единственной альтернативой артродезу в данном случае является онкологический плечевой протез
2. характер ложного сустава и состояние костных отломков: четкая рентгенологическая картина гипотрофического (аваскулярного) ложного сустава с выраженным склерозом концов отломков и значительным дефектом костной ткани диктует необходимость введения в область ложного сустава остеоиндутивного материала (если бы не было значительного дефекта и склероза концов отломков в межотломковую область можно было бы ввести костную крошку, полученную при рассверливании костномозгового канала). В данном случае значительный дефект кости и плохое состояние концов требует: а)«освежения концов отломков», б) введения в область ложного сустава васкуляризированого костного трансплантатата, либо свободного костного аутоторансплантата, либо выполнение дистракционного остеосинтеза («костного транспорта»). При этом Вам естественно придется «открывать» область перелома, а значит Вы легко удалите винты.
3. состояние костной ткани поврежденного сегмента: в данном случае костная ткань остеопорозна, с многочисленными «дырами» от винтов, ранее фиксировавших пластины. Поэтому фиксировать пластиной третий раза нецелесообразно. Остаются 2 метода: блокированный штифт для проксимального плеча (Т2 страйкер или аналоги), либо аппарат внешней фиксации (чем лучше владеете).
Провести штифт в дистальный отломок закрыто вряд ли удастся: «сосулькообразный» конец отломка, запаянный костномозговой канал, дополнительное препятствие в виде 2 винтов.
|
[
Ответить ]
|
Re: Ложный сустав в/3 плечевой кости!
Ерсин Жунусов 29 Апрель 2009, 21:48
|
Уважаемые коллеги!
Неоднократно сталкивался и оперировал подобные случаи (во многих регионах Казахста широко применяются травматичные способы фиксации, как экстрамедуллярный). Мое мнение: без лишней травматизации (доступ с разрезом до 5-7 см) открыть зону ложного сустава, удалить винты, так как один из них расположен поперечно к к/каналу,вскрыть костномозговой канал, остеосинтез БИОС с рассверливанием. Один момент: насчет костной пластики я лично не приверженец, так как считаю, что не трансплантат служит основой сращения, а стабильный и функциональный остеосинтез способствует сращению, во вторых после укладки трансплантата её необходимо фиксировать (в данном случае это возможно только проволокой, который служит удавкой и приведеть к преждевременному рассасыванию), лучше вколотить отломки между собой, при этом иногда неизбежен укорочение плечевой кости. Не знаю на сколько убедительны Вам мои аргументы, но во всяком случае пока нам удается таким образом получить желамый результат. С уважением Ерсин Жунусов.
|
[
Ответить ]
|
Re: Ложный сустав в/3 плечевой кости!
Отправитель: Ivan Petrov 29 Апрель 2009, 23:45
|
Тема лечения ложных суставов плеча неоднократно обсуждалась на форуме и раньше. Большинство авторитетных специалистов рекомендуют введение остеоиндуктивного материала в зону ложного сустава (BMP, аутокость и др.). См. http://www.weborto.net/forum/1120587821/index_html.
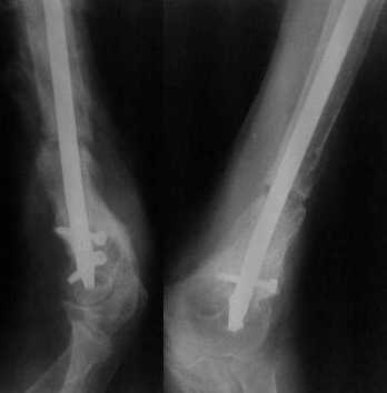
По личным наблюдениям после неудачного остеосинтеза пластинами ложные суставы лечить гораздо труднее, чем после других видов фиксации, видимо из-за обширной травматизации надкостницы при установке пластины. С внедрением в практику БИОС мы пытались лечить "послепластиночные" ложные суставы закрыто, но во всех случаях понадобились повторные операции с резекцией концов отломков и костной пластикой.Ниже несколько примеров недостаточности только стабильного остеосинтеза для лечения гипопластических ложных суставов.
|
[
Ответить ]
|
Re: Ложный сустав в/3 плечевой кости!
Отправитель: Ivan Petrov 29 Апрель 2009, 23:45
|
Тема лечения ложных суставов плеча неоднократно обсуждалась на форуме и раньше. Большинство авторитетных специалистов рекомендуют введение остеоиндуктивного материала в зону ложного сустава (BMP, аутокость и др.). См. http://www.weborto.net/forum/1120587821/index_html.
По личным наблюдениям после неудачного остеосинтеза пластинами ложные суставы лечить гораздо труднее, чем после других видов фиксации, видимо из-за обширной травматизации надкостницы при установке пластины. С внедрением в практику БИОС мы пытались лечить "послепластиночные" ложные суставы закрыто, но во всех случаях понадобились повторные операции с резекцией концов отломков и костной пластикой.Ниже несколько примеров недостаточности только стабильного остеосинтеза для лечения гипопластических ложных суставов.
|
[
Ответить ]
|
Re: Ложный сустав в/3 плечевой кости!
Отправитель: Ivan Petrov 29 Апрель 2009, 23:50
|

Более года назад пациент был оперирован в одном из НИИТО. При контрольном осмотре через год: болевой синдром, контрактура в локтевом суставе, патолгическая подвижность нижней трети плеча
|
[
Ответить ]
|
Re: Ложный сустав в/3 плечевой кости!
Отправитель: Alexander Chelnokov 02 Май 2009, 10:29
|
Что этот пример должен подтвердить или опровергнуть?
|
[
Ответить ]
|
Re: Ложный сустав в/3 плечевой кости!
Отправитель: Ivan Petrov 29 Апрель 2009, 23:59
|

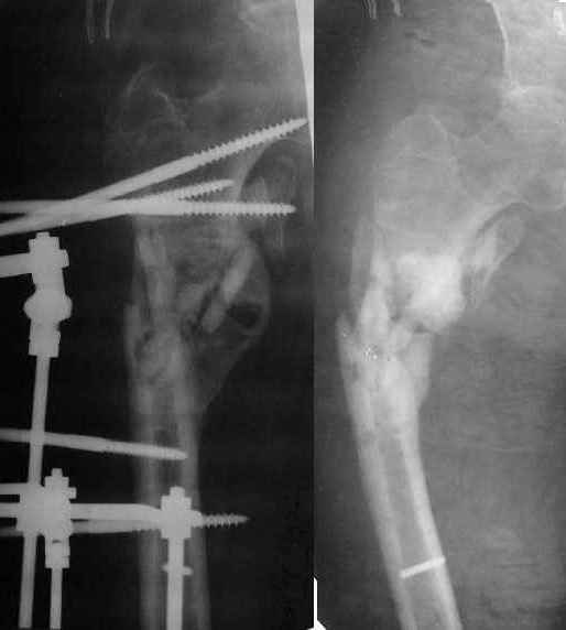
Неудачный остеосинтез пластиной: поломка винтов, миграция фиксатора. После удаления пластины сформировался гипопластический ложный сустав нижней трети бедренной кости, укорочение н/к 5 см. Выполнялся дистакционный остеосинтез аппратом Илизарова на штифте. Зона ложного сустава "не открывалась". Через 10 месяцев, когда даже регенерат полностью перестроился, консолидации в зоне ложного сустава не наступило, несмотря на стабильную фиксацию и постоянную компрессию(штифт+аппрата на 4 кольцах).
|
[
Ответить ]
|
Re: Ложный сустав в/3 плечевой кости!
Отправитель: Ivan Petrov 30 Апрель 2009, 00:26
|

Неудачный остеосинтез пластиной: поломка винтов. После удаления сформирался гиполастический ложный сустав. Остеосинтез АВФ, циклическая компрессия-дистракция в области ложного сустава привела к формированию хорошей рентгенологической костной мозоли. Через 1,5 месяца ходил в аппарате без дополнительных средств опоры. Через 6 месяцев после клинической пробы - демотаж. Через 4 месяца после демонтажа - лизис костной мозоли, рецидив деформации.
|
[
Ответить ]
|
Re: Ложный сустав в/3 плечевой кости!
Отправитель: Alexander Chelnokov 01 Май 2009, 23:49
|
В подобной ситуации закрытое штифтование с рассверливанием сразу после удаления пластины или, при необходимости, после восстановления оси аппаратом, имеет подавляющие шансы на успех. Вмешательство на зоне несращения не нужно.
А эти пресловутые вторичные деформации специфичны для аппаратного лечения, после шитфтования этой проблемы нет.
|
[
Ответить ]
|
Re: Ложный сустав в/3 плечевой кости!
Отправитель: Alexander Chelnokov 01 Май 2009, 23:33
|
> и раньше. Большинство авторитетных специалистов рекомендуют введение
> остеоиндуктивного материала в зону ложного сустава (BMP, аутокость и
Это одна из точек зрения, причем мало кто полагается только на BMP, остеосинтез играет ключевую роль.
> пластины. С внедрением в практику БИОС мы пытались лечить
> "послепластиночные" ложные суставы закрыто, но во всех случаях
> понадобились повторные операции с резекцией концов отломков и костной
Практика показывает, что большую роль играет не столько сам метод, сколько его исполнение. И закрытое штифтование при ложных суставах плечевой кости вполне может быть успешным, хотя, наверно, и не при всех подряд.
Здесь довольно специфическая ситуация, и надежная малоинвазивная фиксация по крайней мере решит проблему функционаальной реабилитации.
Если и потребуются дополнительные действия для достижения сращения, лучше их делать не на фоне контрактур.
|
[
Ответить ]
|
|
Re: Ложный сустав в/3 плечевой кости!
Djoldas Kuldjanov 29 Апрель 2009, 22:19
|
Ложный сустав образовался в результате острого дефицита костного материала. При свежих переломах можно фиксировать интрамедуллярным гвоздем, который позволит раннюю активность в суставах. Но дефицит кости не гарантирует сращение, и обычно гвоздь без сращения будет сидеть в канале. С таким результатом можно согласиться у более пожилых и при лечении онкологических состояний, но у молодых ложный сустав желательно ликвидировать без потери кости.
Открытый метод после ревизии и удаления остатков металла позволит уложить костный трансплантат в нужном месте, а современная пластина с угловой стабильности создаст адекватную фиксацию без риска АВН.
До операции надо убедиться в отсутствии инфицированного ложного сустава, и с чем связана атрофия дельтовидной мышцы, не с повреждением ли аксиллярного нерва?
При подозрении на инфицирование, тогда поздняя фиксация после санирования, антибиотиками или бусами из антибиотиков и т.д.
Djoldas Kuldjanov, MD
Department of Orthopedic Surgery
St. Louis University Medical Center
|
[
Ответить ]
|
Re: Ложный сустав в/3 плечевой кости!
Alexander Chelnokov 29 Апрель 2009, 23:26
|
В дефекте какие-то признаки жизни вроде есть. Не очень понял, почему головка плеча должна быть в некрозе.
Я бы начал с закрытого удаления винтов и закрытого же штифтования. Канал в периферическом отломке, при неудаче захода в него сверху, можно вскрыть ретроградно. Стержень T2 Stryker - согласен, оптимальный выбор. Действительно, пусть это будет временный эндопротез диафиза. Если за год не образуется ну уж совсем нигде костный мостик, будет сегментарный дефект или явное несращение, можно будет вернуться к этому вопросу, но уже в более благоприятных условиях, чем сейчас.
|
[
Ответить ]
|
( Ответить )
|
|