AOTRAUMA.ORG Центр Илизарова  

Ортопедия и травматология Общие вопросы/General questions Help Информационные технологии в медицине
 вверх
 отправить
 поиск
 админ
 главная


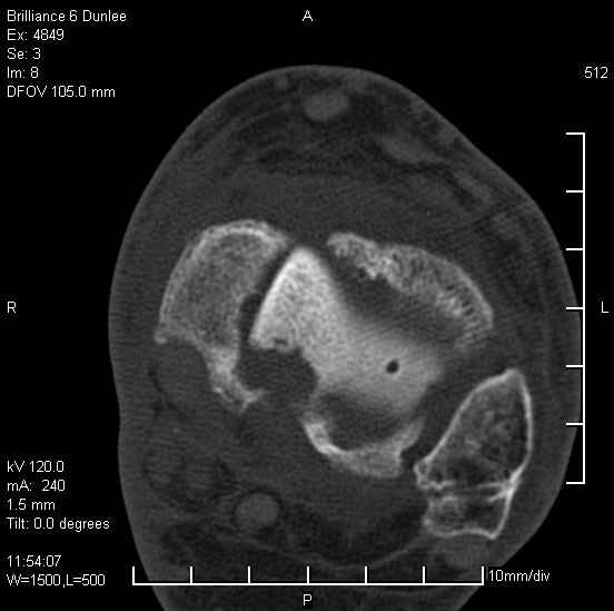
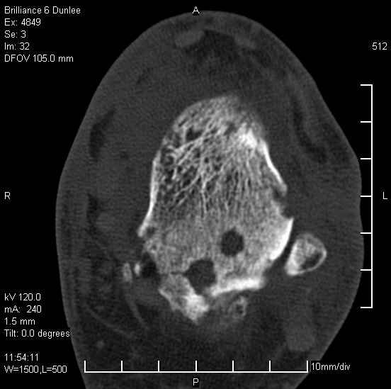
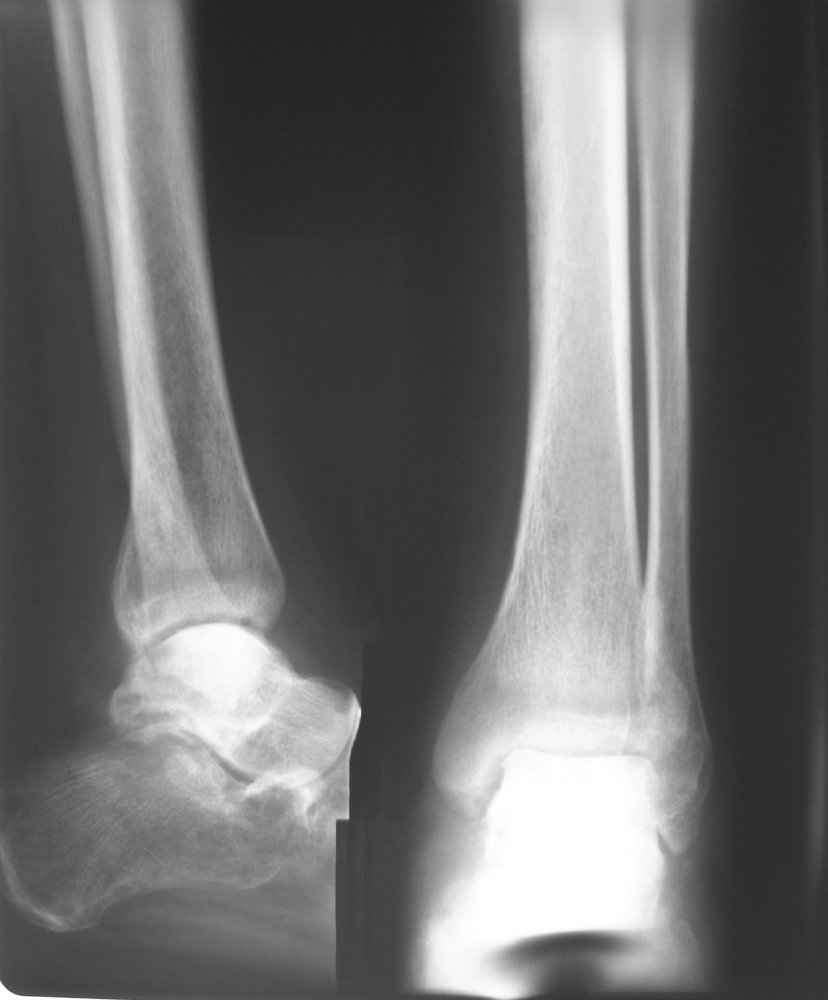
Асептический некроз таранной кости.
Ортопедия и травматология Отправлено Троицкий Владимир 01 Май 2009, 22:26 ГУЗ Областная больница №2 Ростов-на-Дону
На лечении находится пациент 35 лет. Травма в сентябре 2008 г.- открытый вывих таранной кости
В день травмы ПХО, вправление вывиха, трансартикулярная фиксация. Рана зажила первично. С января нагрузка на конечность. С конца апреля- болевой синдром. На рентгенограммах и КТ признаки ас. некроза таранной кости, артроз подтаранного и голеностопного суставов.
Функциональные требования пациента достаточно высокие.
В связи с этим, с учётом предыдущих обсуждений на форуме, имеется ряд вопросов.
1. Целесообразность формирования подтаранного артродеза (реваскуляризация таранной кости) с <разгрузкой> таранно-большеберцового сустава в условиях АВФ.
2. Первичное эндопротезирование голеностопного сустава. Сроки, тип эндопротеза.
3. Альтернативные варианты.
Заранее благодарен за все советы и ответы.

<  |  >

 

  • Сообщения о Ортопедия и травматология
  • Также Троицкий Владимир
  • Связаться с автором
  • Ответить

    Re: Асептический некроз таранной кости.
    Aнатолий 08 Май 2009, 12:28
    Для ответов на поставленные вопросы необходима доп.информация-
    1. более подробное описание жалоб ( локализация и характер болевого синдрома?)
    2. состояние связочного аппарата (стабильность?)
    3. имеющийся на сегодняшний день обьем движени й в голеностопном,подтаранном суставах?
    4. для уточнения степени восстановления кровоснабжения тарана- МРТ.
    [ Ответить ]

    Re: Асептический некроз таранной кости.
    Салимов Руслан 26 Май 2009, 23:11
    У больного тотальный ас. некрох блока таранной кости, заинтересованы голеностопный и подтараный суставы. Эндопротезирование маловероятно на некротизированную кость. Изолированный подтаранный артродез таран не спасет.При артродезе всю некротизированную кость придется убрать.А далее замещение либо за счет большеберцовой кости, или удлинение на регенерате.
    [ Ответить ]


    ( Ответить )

    Powered by Zope  Squishdot Powered MedLink
    Посетитель: 0391727
      "По форме правильно, а по существу - издевательство" В.И.Ленин
    ©2001-2019Orthoforum Coordinator.
    [ Главная | Отправить сообщение | Поиск | Админ ]