AOTRAUMA.ORG Центр Илизарова  

Ортопедия и травматология Общие вопросы/General questions Help Информационные технологии в медицине
 вверх
 отправить
 поиск
 админ
 главная


СКОЛИОЗ
Ортопедия и травматология Отправлено МАКСИМ АЛЕКСАНДРОВИЧ 06 Май 2009, 20:02
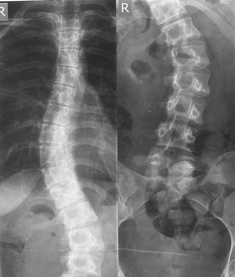
Здравствуйте уважаемые коллеги. Помогите разобраться в ситуации. Девушка 22 года, впервые выявлен сколиоз около 5 лет назад.
Получала несколько раз курс консервативного лечения. На данный момент ситуация видна на представленном снимке. Клинически проявляется только в косметическом дефекте, боли не беспокоят. имеет ли смысл устранять косметический дефект хирургически,если - да, то на какой базе?

<  |  >

 

  • Сообщения о Ортопедия и травматология
  • Также МАКСИМ АЛЕКСАНДРОВИЧ
  • Связаться с автором
  • Ответить

    Re: СКОЛИОЗ
    Потапов И. 07 Май 2009, 02:45
    Деформация прогрессирует или остаётся на том же уровне?
    [ Ответить ]

    Re: СКОЛИОЗ
    Потапов И. 07 Май 2009, 02:46
    Деформация прогрессирует или остаётся на том же уровне?
    [ Ответить ]

    Re: СКОЛИОЗ
    Булахтин Юрий Алексеевич 07 Май 2009, 10:05
    Уважаемый Максим Александрович!

    Для уточнения тактики необходимо более полное обследование (см. напр. - М.В. Михайловский, Н.Г. Фомичев "Хирургия деформаций позвоночника", Новосибирск, 2002г.) Вообще, по мнению большинства специалистов, критический для прогрессирования деформации у девочек - год установления менструаций. Потом процесс замедляется. Что касается косметического дефекта, то тут показания должны ставиться как к любой КОСМЕТИЧЕСКОЙ операции. Исходя из того где расположено и насколько вертебрологически специализировано заведение в котором Вы работаете можно рекомендовать центры хирургического лечения, их много. Из отечественного инструментария сегодня лидером можно считать фиксаторы проф. Лака А.А. (Москва, РУДН), импортные - Котреля-Любуссе (НИИТО Новосибирск, ЦИТО, Москва).

    С уважением, Юрий Алексеевич Булахтин,
    главный травматолог Камчатского Военно-морского госпиталя
    [ Ответить ]

    Re: СКОЛИОЗ
    Дедок Михаил 07 Май 2009, 21:37
    1. зоны роста закрыты, сколизоз компенсирован прогрессирование исключено.
    2. Измерьте разницу в длине нижних конечностей в положении лежа на спине, есть ли дисплазия тазобедренных суставов.
    3. Сделать как минимум Р- гр в боковой проекции. а лучше РКТ. Сколиоз не производит впечатление диспластического. Если нет дисплазии- то он функциональный- направить к мануальному терапевту. гипертонус подвздошно поясничной мышцы справа или релаксация слева.
    4. Да, сколиоз это нарушение косметики,а как насчет послеоперационного рубца?
    5. Я бы направил в центр Мануальной терапии Минздрава (Москва, Проспект Вернадского 121, м Юго западная) и никакой операции.

    [ Ответить ]

    Re: СКОЛИОЗ
    Юрий Алексеевич Булахтин 08 Май 2009, 00:57
    При сколиозе мануальная терапия имеет смысл только в период предоперационной подготовки для уменьшения ригидности деформации. Без операции нарушение достигнутого баланса очень быстро обернется усилением болевого синдрома и регрессом деформации.

    С уважением, Юрий Алексеевич Булахтин
    [ Ответить ]

    Re: СКОЛИОЗ
    Ivan Petrov 08 Май 2009, 15:46
    С некоторым домысливанием можно сказать, что у пациентки имеется:
    1. Компенсированный (сбалансированный) сколиоз
    (лордо? кифо?сколиоз – нет боковых снимков)
    2. D25°-S29°
    3. Кинг-I?(нет функциональных снимков)
    4. Риссер-5
    5. Таннер Т5-P5
    6. Рост пациентки - ?
    7. Болевого синдрома, выраженных дегенеративных изменений в позвоночнике нет

    Кликните для загрузки файла 5.jpg
    77KB (79337 bytes)

    [ Ответить ]

    Re: СКОЛИОЗ
    Ivan Petrov 08 Май 2009, 16:00
    Предположим, что пациентка уговорила доктора, а доктор уговорил пациентку на операцию по косметическим показаниям.
    Деформация типа кинг I c выраженным искривлением поясничного отдела, ротацией поясничных позвонков, клиновидной деформацией L1,4,5, требует включение в спондилодез как минимум L4 позвонка для сохранения баланса туловища. Верхний уровнень спондилодеза ориетировочно Т5.
    Вентральная мобилизация и передний спондилодез в даном случае не показаны.
    Добавит ли косметичности разрез по всей спине, можете ли вы прогнозировать отстутствие хронического болевого синдрома и осложненйи. связанных с операцией. Думаю нет, поэтому считаю оперативное лечение не показанным.
    Рекомендуйте пациентке специализированную гимнастику( напр. по методу Катарины Шрот или аналогичные "дыхательные" гимнастики), рассмотрите вопрос о корсетотерапии.
    Кликните для загрузки файла 6.jpg
    64KB (66154 bytes)

    [ Ответить ]


    ( Ответить )

    Powered by Zope  Squishdot Powered MedLink
    Посетитель: 0000229
      "По форме правильно, а по существу - издевательство" В.И.Ленин
    ©2001-2019Orthoforum Coordinator.
    [ Главная | Отправить сообщение | Поиск | Админ ]