AOTRAUMA.ORG Центр Илизарова  

Ортопедия и травматология Общие вопросы/General questions Help Информационные технологии в медицине
 вверх
 отправить
 поиск
 админ
 главная


Компоновка АВФ?
Ортопедия и травматология Отправлено Троицкий Владимир 06 Май 2009, 22:14 ГУЗ Областная больница №2 Ростов-на-Дону
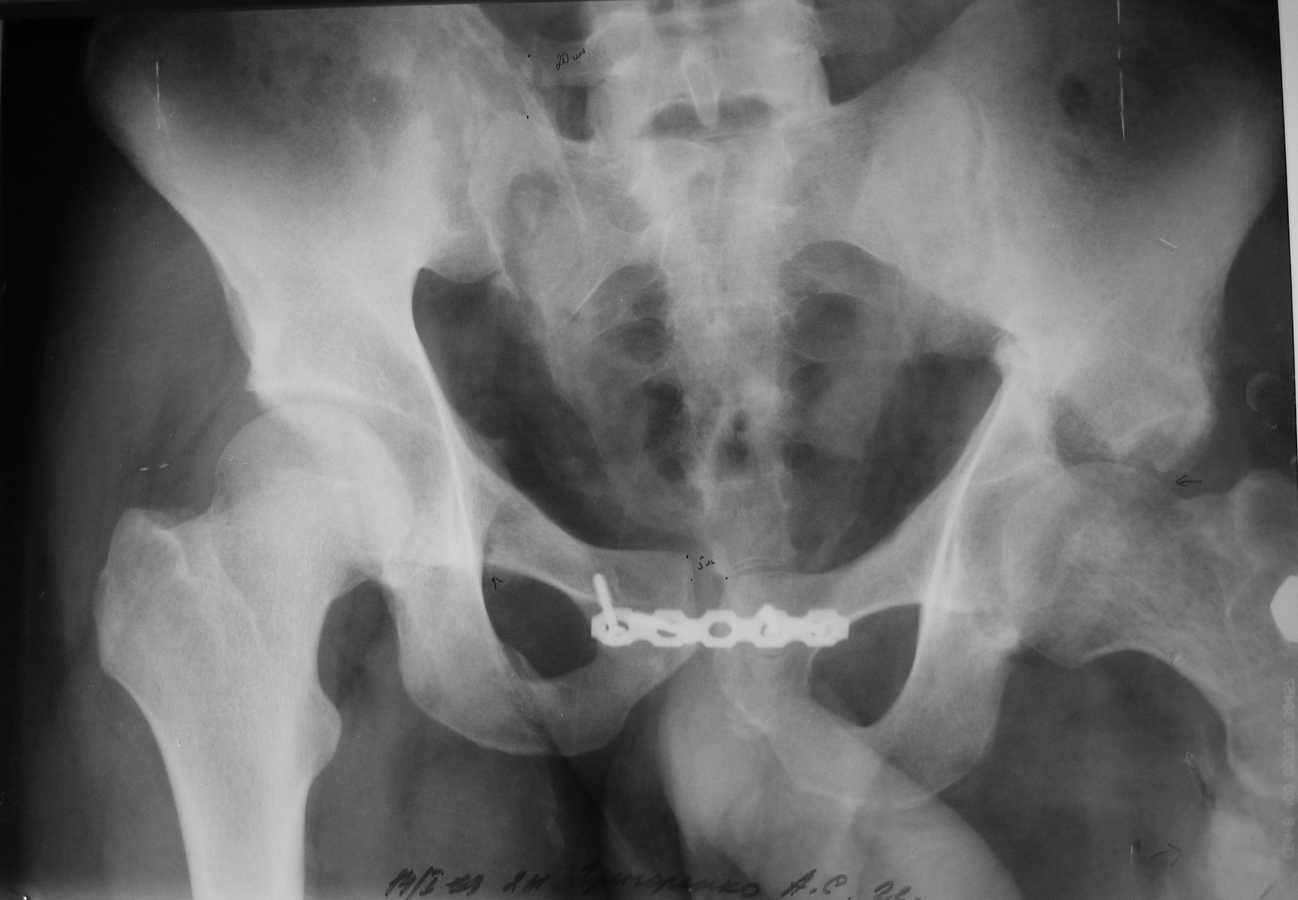
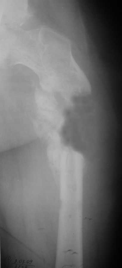
Уважаемые коллеги, у пациента 26 лет имеется дефект в\з бедренной кости образовавшийся в результате СНЭ по поводу травматического остеомиелита
Также имеется травматическая деформация таза с трансвертлужным переломом на стороне дефекта. Планируется замещение дефекта транспортом кости.Хотелось бы услышать ваши советы по поводу оптимальной компоновки АВФ (стержневой, спице-стержневой), есть ли необходимость в дополнительной фиксации за кости таза?

<  |  >

 

  • Сообщения о Ортопедия и травматология
  • Также Троицкий Владимир
  • Связаться с автором
  • Ответить

    Re: Компоновка АВФ?
    Alexander Chelnokov 07 Май 2009, 00:41
    Дефект бедра транспортом тут можно пока не замещать, это долго, муторно, и, главное, не решит проблему создания опорной и безболезненной конечности. Остеосинтез бедра тут одна из подзадач. И решить ее можно относительно быстро - восстановить ось бедра аппаратом (можно как спицевым, так и стержневым) за 10-15 дней, и
    сделать закрытый интрамедуллярный остеосинтез. В дефекте есть признаки костеобразования, так что вполне ожидаемо сращение.
    А вот таз - отдельная проблема, вернее, две - краниальное смещение правой половины таза, и нелеченный высокий поперечный перелом вертлужной впадины. Как Вы намереваетесь решать эти проблемы?
    [ Ответить ]

    • Re: Компоновка АВФ?
      Отправитель: Троицкий Владимир 07 Май 2009, 01:04
      Уважаемый Александр Николаевич, остеосинтез вещь хорошая, однако в настоящее время достаточно проблемная т.к в посевах до операции и этапных- полирезисмтентная синегнойная палочка- чувствительная только с полимиксину. Риск несостоятельности остеосинтеза достаточно высок, хотя рана после СНЭ зажила первично.
      выбор метода коррекции или стабиизации таза возможен, на мой взгляд, после СКТ (планируется в ближайше время.
      Вопрос о АВФ обксловлен конституциональными особенностями больного и относительно коротки проксимальным фрагментом.
      С ув. В. Троицкий.

      [ Ответить ]
    • Re: Компоновка АВФ?
      Отправитель: Юрий Алексеевич Булахтин 07 Май 2009, 18:33
      Уважаемый Владимир!


      Хотел-бы поддержать точку зрения уважаемого А.Н. Челнокова - больших проблем с бедром тут не должно быть, ситуация с тазом куда более серьезная. Судя по крестцово-подвздошному, там более 5 см смещение.
      А сколько времени прошло после травмы?

      С уважением,
      Юрий Алексеевич Булахтин,
      главный травматолог Камчатского Военно-морского госпиталя

      [ Ответить ]
    Re: Компоновка АВФ?
    Троицкий Владимир 07 Май 2009, 19:30
    Травма в июне 2008 г. К наи в отделение поступил в апреле с.г в связи с травмаическим остеомиелитом.
    [ Ответить ]

    Re: Компоновка АВФ?
    дмитрий бондарь 07 Май 2009, 23:30
    Ну и Бог с ней ,с ифекцией !Поставте спейсер с ванкомицином и спите спокойно ;) А вот таз - это действительно проблема !
    С уважением Д.Б.
    [ Ответить ]

    Re: Компоновка АВФ?
    Djoldas Kuldjanov 09 Май 2009, 00:40
    Независимо от фиксации, сперва надо убедиться в отсутствии инфекции. Открытый метод считается идеальным, имеется возможность сделать ревизию и при необходимости установить временный спейсер.

    Учитывая, что у данного больного имеется дополнительная травма таза, и у больного еще долго будет ограничена нагрузка на конечности, в данный момент не очень важна методика фиксации.

    Нужды в транспорте кости аппаратом не видно, потому что это не сегментарный, а краевой дефект, и такие дефекты можно закрыть дополнением аутокостью из крыла.



    Для уверенности сперва можно ограничиться дебридментом с укладкой временного спейсера, а через некоторое время сделать костную пластику. Фиксацию вместе интрамедуллярного штифта предпочтительно сделать пластиной, которую при дебридменте можно установить с меньшим усилием. Такая пластина локализирует процесс и снимет опасность инфицирования канала.

    Насчет таза там большие упущения, пластина на симфизе - доказательство отсутствия знания методики лечения переломов таза и ацетабулум. Хотя бы скелетным вытяжением можно было приблизить правую половину таза.

    Разрыв крестцово-подвздошного сочленения и поперечный перелом вертлужной впадины являются показанием для оперативного лечения.

    Для планирования восстановления таза и ацетабулум, если у вас имеется возможности и желание, тогда надо сделать все стандартные рентгенологические исследования по Judet для ацетабулума, Inlet Outlet снимки для таза и Компьютерная Томография.

    А что значит СКТ и СНЭ?

    Djoldas Kuldjanov, MD
    Department of Orthopedic Surgery
    St. Louis University Medical Center
    [ Ответить ]

    • Re: Компоновка АВФ?
      Отправитель: Троицкий Владимир 09 Май 2009, 11:43
      По сути поставленных вопросов.
      1. Инфекция имеется- практически панрезистентная Ps. aeruginosae.
      2. На момент поступления больной передвигался с опорой на костыли и нагрузкой на правую ногу- после травмы прошло 10 мес.,
      3. СКТ-спиральная компьютерная томография, СНЭ- секвестрнекрэктомия
      4. Дефект бедра сегментарный - в ходе операции удалён фрагмент бедренной кости до 7 см.
      5. Думаю что с учетом характера возбудителля вероятность выживаемости аутотрасплантата достаточно низкая .
      6. Метод лечения данного перелома костей таза так же вызвал много вопросов. Но что имеем, то имеем.



      [ Ответить ]

     

    ( Ответить )

    Powered by Zope  Squishdot Powered MedLink
    Посетитель: 0392099
      "По форме правильно, а по существу - издевательство" В.И.Ленин
    ©2001-2019Orthoforum Coordinator.
    [ Главная | Отправить сообщение | Поиск | Админ ]