AOTRAUMA.ORG Центр Илизарова  

Ортопедия и травматология Общие вопросы/General questions Help Информационные технологии в медицине
 вверх
 отправить
 поиск
 админ
 главная


осложнения эндопротезирования
Ортопедия и травматология Отправлено Царицанский Сергей Степанович 09 Май 2009, 15:36 Воронежская ОКБ №1
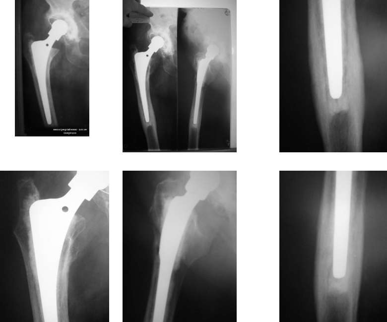
Уважаемые коллеги, у больной после цементного эндопротезирования т/бедренного сустава в течении 1.5 лет сохраняются боли при нагрузке от крыла подвздошной кости до с\3 бедра.
На Ro обнаружен периостит у верхушки ножки эндопротеза. Лейкоциты - 5,6; соэ - 11; С-реакт белок - 22.
Что делать?

<  |  >

 

  • Сообщения о Ортопедия и травматология
  • Также Царицанский Сергей Степанович
  • Связаться с автором
  • Ответить

    Re: осложнения эндопротезирования
    Андрей Каминский 10 Май 2009, 21:01
    Очень важна клиника. Как болит? когда? как с нагрузкой соотносится? Если в момент нагружения и потом в момент снятия нагрузки, то тут следует подозревать нестабильность ножки. В боковой проекции просветление вдоль мантии, утолщение кортикалов в дистальной части. Похоже, что ножка на постаменте. Был подобный случай, только рентгенологически не было никаких признаков. На ревизии совершенно нестабильная ножка.
    С уважением, Каминский А.В., г.Курган

    [ Ответить ]

    Re: осложнения эндопротезирования
    Сергей Ц. 11 Май 2009, 19:11
    Спасибо за совет. характер болей действительно типичен для нестабильности, только смущает их локализация: от гребня подвздошной кости до с\3 бедра. как Вы думаете, даст ли дополнительную информацию КТ?
    [ Ответить ]

    Re: осложнения эндопротезирования
    Сорокин Игорь 12 Май 2009, 13:19
    Я хочу описать осложнение после эндопротезирования т/бедренного сустава. Б-ой 65 лет (из сопутств. патологии сахарный диабет 2 тип) прооперирован в краевой клинике (бесцементный "Mathis")и выписан с повязкой на амбулаторное долечивание. Активно жалоб не предъявляет. На первом же приеме повязка умеренно промокла соломенно-желтьым отделяемым. В области п/о рубца один межшовный промежуток не закрыт (остальные срослись)и через него просачивается жидкость. При ревизии зондом и москитом выделилось около 40 мл синовиальной? жидкости.Взят посев (в дальнейшем рост флоры не дал). Санация и резиновый выпускник. На ежедневных перевязках(в течение 1 нед) повязка значительно промокает (50 мл) Антибиотикопрофилактика. Гнойного отделяемого нет, температура норм. Незначительная тенденция к уменьшению жидкости. С подобным встечаюсь первый раз.Как называется подобное осложнение? (свищ? бурсит?). Возможно синовиальную жидкость продуцирует синовиальная оболочка или бурса? Какая должна быть тактика?
    [ Ответить ]

    • Re: осложнения эндопротезирования
      Отправитель: Rashid Tikhilov 16 Май 2009, 09:00
      Уважаемый Игорь,
      Можно как угодно называть это состояние, как кому нравится, но наличие постоянного отделяемого рано или поздно закончится инфекцией. Поэтому мы придерживаемся активной тактики - хирургическая обработка, "синовэктомия" или просто аккуратное иссечение стенок раны, обильное промывание с ушиванием раны. активный дренаж на 1-2 дня с длительной антибиотикотерапией. В последжующем - 1-2 пункции сустава по необходимости, никаких полутрубок и выпускников. Протез сохраняем. Такая тактика позволяет в 60-70% добиться первичного заживления.
      С уважением Р.Тихилов

      [ Ответить ]
    Re: осложнения эндопротезирования
    Сергей Ц 12 Май 2009, 19:36
    Сорокину Игорю: для начала - фистулографию с 20 мл водорастворимого контраста (урографин,омнипак или др). Если контраст в полости - вопрос исчерпан. Если нет - интерпретировать как бурсит, свищевая форма. Продолжать антибиотики широкого спектра, свищ промывать антисептиками, продолжать часто делать посевы и через месяц повторить фистулографию.
    [ Ответить ]

    Re: осложнения эндопротезирования
    Сорокин Игорь 12 Май 2009, 20:50
    Спасибо за совет. Про фистулографию что-то не подумал. А если контраст в полости сустава будет? Ревизия эндопротеза? Будем стараться излечить пациента. Жалко больного, заплатил за операцию из своего кармана, а не по квоте как все
    [ Ответить ]

    Re: осложнения эндопротезирования
    Сергей Ц 13 Май 2009, 00:26
    Если свищ исходит из полости сустава, то независимо от результатов посевов, это глубокая перипротезная первично хроническая инфекция. Показано двухэтапное реэндопротезирование, тем более - сахарный диабет.
    [ Ответить ]

    Re: осложнения эндопротезирования
    Ильдар В. Исмагилов 16 Май 2009, 09:04
    Добрый вечер.Считаю,что на представленных R-граммах имеют место быть два
    основных симптомокомплекса-
    1.Проксимальный стресс-шилдинг
    2.Дистальный стресс-байпасс.
    Указанные синдромы подробно развернуты и объяснены (в т.ч. ответ на вопрос "Что делать?") с подобными непростыми последствиями-осложнениями
    эндопротезирования в книге Р.М.Тихилова в соавт.2008
    [ Ответить ]

    • Re: осложнения эндопротезирования
      Отправитель: Сергей Ц 18 Май 2009, 18:31
      Спасибо за подсказку.
      Сергей Ц.

      [ Ответить ]

     

    ( Ответить )

    Powered by Zope  Squishdot Powered MedLink
    Посетитель: 0000100
      "По форме правильно, а по существу - издевательство" В.И.Ленин
    ©2001-2019Orthoforum Coordinator.
    [ Главная | Отправить сообщение | Поиск | Админ ]