AOTRAUMA.ORG Центр Илизарова  

Ортопедия и травматология Общие вопросы/General questions Help Информационные технологии в медицине
 вверх
 отправить
 поиск
 админ
 главная
 Предыдущее


Re: Ложный сустав н/3 голени
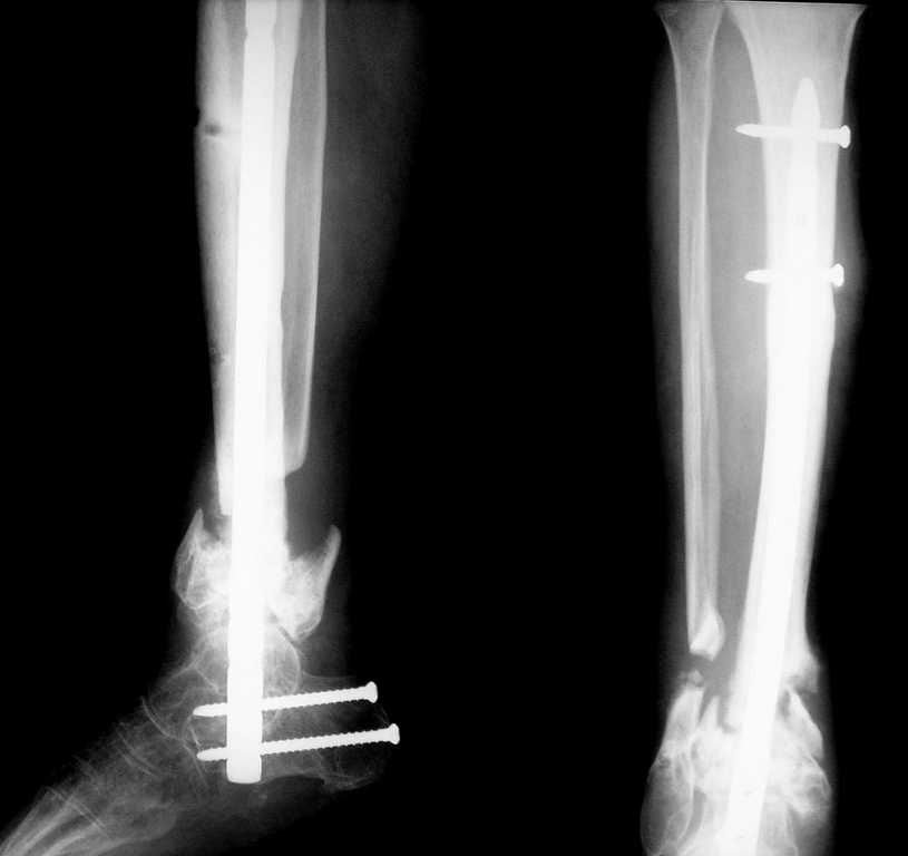
Смирнов Алексей 16 Май 2009, 08:43


Вот что в итоге получилось. Вопрос по поводу нагрузки: может сразу дать? и зря я поставил статический винт?

  • Сообщения о Ортопедия и травматология
  • Также Смирнов Алексей
  • Связаться с автором
  • Ответить

    Re: Ложный сустав н/3 голени
    Илья 16 Май 2009, 20:58
    Какой имлант использовали?
    [ Ответить ]

    • Re: Ложный сустав н/3 голени
      Отправитель: Смирнов Алексей 17 Май 2009, 12:20
      DFN "остеомед",под правую ногу взяли левый гвоздь,с учётом нормального вальгирования пяточной кости. Хотел поставить HAN со спиральным лезвием,специально созданный для этого, но из-за организационно-технических моментов не удалось. Ну да в следующий раз....

      [ Ответить ]
      • Re: Ложный сустав н/3 голени
        Отправитель: Alexey Semenisty 18 Май 2009, 00:19
        >DFN "остеомед",под правую ногу взяли левый гвоздь

        Разве DFN "остеомед" или DFN от других производителей бывает левым и правым???

        С уважением, А.Семенистый.
        ГКБ № 13, Москва.

        [ Ответить ]
      • Re: Ложный сустав н/3 голени
        Отправитель: Alexey Semenisty 18 Май 2009, 00:22
        Алексей, а в каком положениии стопы получилась фиксация? Не в эквинусе ли стопа??


        С уважением, А.Семенистый.
        ГКБ № 13, Москва.

        [ Ответить ]
        • Re: Ложный сустав н/3 голени
          Отправитель: Cмирнов Алексей 18 Май 2009, 18:41
          Движений в голеностопном суставе совсем не было, устранить эквинусную установку можно было только за счет угла открытого кпереди в зоне ложного сустава. Поэтому выбирая между восстановлением оси конечности и эквинусом я выбрал ось.Возможно эквинус компенсирует укорочение 2,5 см (которое при динамизации увеличится). Наверно не так уж и страшно, если больной теперь обречён на обувь с каблуком?

          [ Ответить ]

     

    ( Ответить )

    Powered by Zope  Squishdot Powered MedLink
    Посетитель: 0418609
      "По форме правильно, а по существу - издевательство" В.И.Ленин
    ©2001-2019Orthoforum Coordinator.
    [ Главная | Отправить сообщение | Поиск | Админ ]