ВХОД ДЛЯ ПАЦИЕНТОВ
вверх
поиск
админ
главная
исходное
последующие
|
Re: Врожденный вывих бедра
послал eidelman mark 05 Июнь 2009, 22:32
|
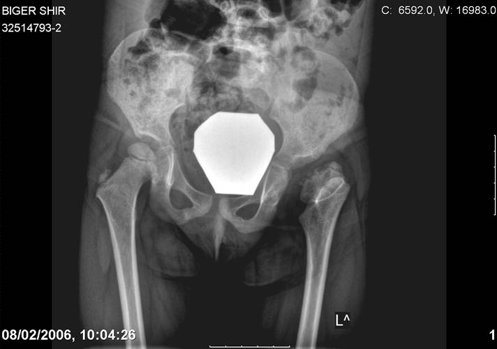
Navernoe Dega

Chto by ne byt goloslovnym posilau vam svoi sluchai gde sdelal vse chto napisal vyshe
Mark Eidelman
|
| Послать ответ |
Обратите внимание: Поля с жирными названиями обязательны.
Старайтесь отвечать в рамках обсуждаемой темы, а не начинать новые обсуждения.
Указывайте адекватную тему сообщения, чтобы было ясно, о чем оно.
Не послайте сообщений не по теме (оффтопик), раздраженных, грубых или обидных комментариев. Здесь это неуместно.
|