вверх
отправить
поиск
админ
главная
Предыдущее
|
Re: псевдоартроз большеберцовой кости
Alexander Chelnokov 02 Июнь 2009, 18:13
|
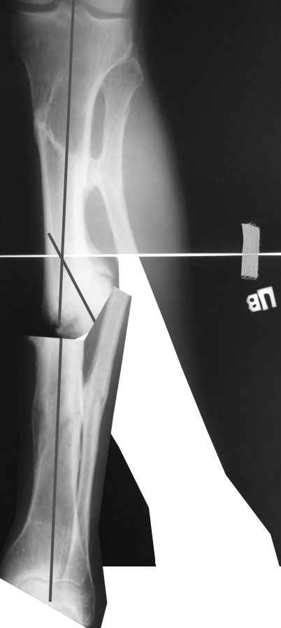
Одномоментно такой угол устранить трудно, сильно натянутся ткани по наружной поверхности голени. Может и стопа повиснуть. А что по второй проекции?
Мы бы сделали после остеотомии малоберцовой и аппаратной коррекции. Большеберцовую можно исправить за счет растяжения пседартроза. Можно и сделать поперечную остеотомию чуть дистальнее несращения, в этом случае будет удобный вход в периферический отломок. А зону несращения пройти разверткой просто по прямой. Схема в приложении.

|
|
|
Ответить
|
Re: псевдоартроз большеберцовой кости
александр 02 Июнь 2009, 20:14
|
Александр Николаевич, вечер добрый! Извиняюсь за отсутствие второй прекции. там тоже ещё та деформация! Дозировано исправлять - не уверен что идиально получится выставить по оси дистальный отломок, а смещение даже на кортикал, не влияющие на консолидацию в аппарате, при формировании канала и введении стержня в условиях вальгуса и рекурвации, ну не знаю. Второй вариант, о котором и вы говорите, думаю более предпочтителен. А если делать остеотомию дистальнее ложняка, то что помешает одномоментно откоррегировать? Парез и при аппаратной коррекции с той же долей вероятности может быть.
|
[
Ответить ]
|
Re: псевдоартроз большеберцовой кости
Отправитель: Alexander Chelnokov 02 Июнь 2009, 21:16
|
а> Дозировано исправлять - не уверен что идиально получится выставить
а> по оси дистальный отломок, а смещение даже на кортикал, не
а> влияющие на консолидацию в аппарате, при формировании канала и
а> введении стержня в условиях вальгуса и рекурвации, ну не знаю.
Да все реально. Чтобы эти трудности уменьшить, лучше углы и ширину устранить с небольшой гиперкоррекцией, а главое - создать запас по длине.
а> Второй вариант, о котором и вы говорите, думаю более
а> предпочтителен. А если делать остеотомию дистальнее ложняка, то
а> что помешает одномоментно откоррегировать?
Ткани сильно натянутся. И закрыто вывести дистальный отломок под гвоздь будет проблематично, даже если дистрактор наложить. Можно попытаться одномоментно сопоставить, но без фанатизма. Ели что не устраняется сразу, аппаратом за несколько дней дозированно уже
дотягиваем.
а> Парез и при аппаратной коррекции с той же долей вероятности может
а> быть.
Ну... В аппарате вроде это все более плавно развивается, можно заметить парестезии, слабость, приостановиться. Или натяжение даже уменьшить, после паузы продолжить...
|
[
Ответить ]
|
|
( Ответить )
|
|