AOTRAUMA.ORG Центр Илизарова  

Ортопедия и травматология Общие вопросы/General questions Help Информационные технологии в медицине
 вверх
 отправить
 поиск
 админ
 главная


Артрогрипоз
Ортопедия и травматология Отправлено Anton Vladzimirsky 18 Июнь 2009, 10:39
Уважаемые коллеги!Прошу Вас высказать свое мнение по данному случаю.Заранее благодарю!
Мальчик, 1998 г.р. Беспокоит наличие с рождения выраженных деформаций нижних конечностей, невозможность самостоятельно опираться на ноги и ходить.

Диагноз. Артрогрипоз. Врожденные двусторонние вывихи бедер. Рецидивирующая двусторонняя врожденная косолапость тяжелой степени (состояние после оперативной коррекции в 2004 году с обеих сторон). Мягкотканные разгибательные контрактуры коленных суставов. Атрофия мышц голеней. Значительное нарушение функции нижних конечностей.

С раннего неонатального периода находится под наблюдением травматолога по месту жительства по поводу врожденной кривошеи (?), вр. вывихов бедер, вр. двусторонней косолапости, получал лечение у травматолога в ОТКБ - на стационарном лечении находился 14 раз с диагнозом: Артрогрипоз с поражением всех крупных суставов нижних конечностей. Лечился консервативно, проводились закрытые вправления бедер, коррекция косолапости, наложение гипсовых повязок. В возрасте 6 лет (2004) мальчику выполнена оперативная коррекция врожденной косолапости: слева - ахиллопластика, справа - операция Зацепина. Дальнейшее наблюдение и лечение ребенок получал по месту жительства. Постепенно стопы приняли прежнее положение (эквино-варусное), мальчик перестал ходить, мама носит его на руках, обучение по общеобразовательной программе ребенок получает на дому индивидуально.

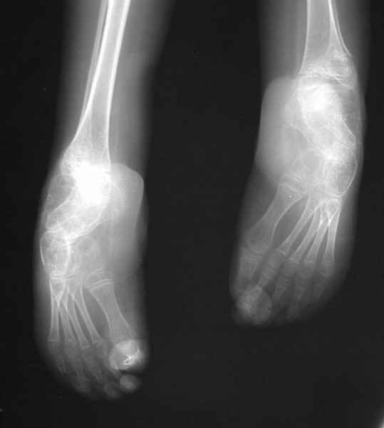
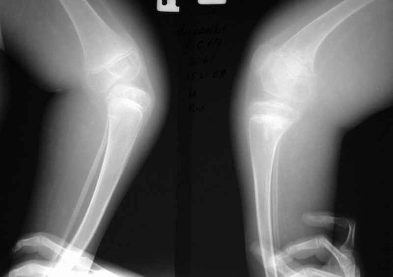
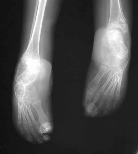
Место болезни. Передвижение ребенка резко нарушено, нижние конечности имеют атрофированный вид, мышцы голени дряблые, истончены. Форма всех суставов нижних конечностей деформирована. Коленные и тазобедренные суставы в положении разгибания. Сгибание и разведение тазобедренных суставов резко ограничено, имеет место их выраженная приводящая контрактура. Сгибание коленных суставов возможно до 90 , но при этом отмечаются болевые ощущения. Со слов мальчика: он боится сгибать коленные суставы из-за имевших место болезненных подвывихов голеней кнаружи. Клинически определяется невыраженная нестабильность коленных суставов - патологическая подвижность кнаружи (больше слева). Правая нижняя конечность короче левой на 8 см. Скарповские треугольники расширены. Ягодичные области симметричные. Ромб Михаэлиса симметричен, Явной деформации позвоночника не выявлено (в положении лежа и сидя). Оба коленных сустава деформированы, незначительно вальгированы (до 10 ), сгибание их резко ограничено. Стопы и голеностопные суставы деформированы, имеются п/о рубцы цвета кожи по задней и внутренней поверхностям голеностопных суставов и стоп. Сохраняется выраженное эквиноварусное положение обеих стоп, выведение их в правильное положение не возможно: приведение передних отделов стоп до 45 , супинация 45-50 , эквинус более 90 , движения качательные.

Обследование в отделе биомеханики от 10.06.09. Пульсовое кровенаполнение сосудов нижних конечностей значительно снижено на уровне левого бедра и обеих стоп. Асимметрия кровенаполнения на уровне бедра: снижение слева в 2 раза. Значительная венозная недостаточность.ЭМГ мышц нижних конечностей. Биоэлектрическая активность мышц снижена в два раза. Асимметрия биоэлектрической активности: снижение справа - паравертебральная в 1,3 раза, напрягатель широкой фасции в 1,4 раза. Снижение слева в четырехглавой мышце бедра: прямая порция в 1,3 раза, латеральная порция в 1,6 раза. В икроножной мышце - в 1,3 раза, подошвенной - в 1,5 раза. Биоэлектрическая активность с большеберцовой и малоберцовой мышц не регистрируется.Хронаксиметрия - возбудимость нервных стволов нижних конечностей снижена на левой ноге: малоберцовый нерв - в 1,4 раза, большеберцовый нерв - в 1,3 раза. Двигательная реакция типичная, ограниченная контрактурами голеностопных суставов.

ВОПРОС - Тактика дальнейшего (в том числе, хирургического) лечения?

С уважением,
А.В.Владзимирский
ДНИИТО

<  |  >

 

  • Сообщения о Ортопедия и травматология
  • Также Anton Vladzimirsky
  • Связаться с автором
  • Ответить

    Powered by Zope  Squishdot Powered MedLink
    Посетитель: 0392190
      "По форме правильно, а по существу - издевательство" В.И.Ленин
    ©2001-2019Orthoforum Coordinator.
    [ Главная | Отправить сообщение | Поиск | Админ ]