вверх
отправить
поиск
админ
главная
|
Тяжёлая травма голени, остеомиелит |
 |
 |
 |
Отправлено Евгений Цветков 11 Июль 2009, 16:21
Пациент 42 лет около 3-х месяцев лечился на районе с открытым двойным переломом большеберцовой кости на границе верхней и средней трети и на границе нижней и средней трети,двойным переломом малоберцовой кости. Прооперирован на районе в день поступления- произведен остеосинтез перелома большеберцовой кости металической пластиной. В послеоперационном периоде некроз краёв раны по передней поверхности голени, нагноение, остеомиелит. Была попытка свести края раны путём нанесения послабляющих разрезов по боковым поверхностям голени.При поступлении в наш центр у пациента обширная рана передней поверхности голени с дефектом мягких тканей, в ране на большом протяжении обнажена нежизнеспособная тусклая большеберцовая кость, в том числе зона перелома. Отделяемое из раны гнойное с неприятным запахом. На операции после резекции осцилирующей пилой передней поверхности обнажённой части большеберцовой кости, в костно-мозговом канале большое количество гноя, задняя поверхность большеберцовой кости тусклая. Некрэктомия и остеосеквестрэктомия, из костно-мозговых каналов оставшихся верхнего и нижнего отрезков большеберцовой кости умеренное кровотечение. Произведена транспозиция мышечного лоскута передней большеберцовой мышцы на ветвях передней большеберцовой артерии в область ложа большеберцовой кости, мышцей закрыты верхний и нижний отрезки большеберцовой кости. На мышечное ложе уложены свободные расщеплённые мышечные лоскуты, взятые с правого бедра. Произведен стабилизирующий остеосинтез правой голени спицами,фиксированными и натянутыми в аппарате Иллизарова. В послеоперационном периоде лоскуты хорошо фиксированы, рана чистая, по дренажам скудное отделяемое геморрагического характера. Дренаж сегодня удалил. Планируется после полного востановления кожного покрова и консолидации перелома малоберцовой кости, транспозиция и фиксация последней на область дефекта большеберцовой кости. Одномоментно побоялись сделать такую оперцию из-за риска развития остеомиелита малоберцовой кости, так как оперировали на фоне выраженных гнойных осложнений.Фото прилагаю.С уважением, Цветков Евгений.
<
|
>
|
|
Ответить
|
Re: Тяжёлая травма голени, остеомиелит
Alexander Chelnokov 11 Июль 2009, 17:38
|
> консолидации перелома малоберцовой кости, транспозиция и фиксация
> последней на область дефекта большеберцовой кости.
Перемещение малоберцовой - далеко не единственный вариант решения проблемы, да и, возможно, не оптимальный.
> осложнений.Фото прилагаю.
А рентгенограммы на сегодня?
|
[
Ответить ]
|
Re: Тяжёлая травма голени, остеомиелит
Отправитель: Евгений Цветков 11 Июль 2009, 18:00
|

Абсолютно согласен с мнением коллег, что наиболее оптимальным решением является замещение дефекта большеберцовой кости кровоснабжаемым костным трансплантантом малоберцовой кости со здоровой ноги. Но есть одна проблема- у нас нет операционного микроскопа, а выполнить эту операцию без него не возможно. Когда я был на учёбе в Минске, присутствовал на операции по замещению дефекта костей предплечья, кровоснабжаемым трансплантантом малоберцовой кости, операция длилась с 9.00 до 17.00, естественно требует высокой квалификации хирурга. Мы возможно попытаемся отправить этого больного на операцию в Минск, но как показывает практика у них довольно большой лист ожидания, отделение микрохирургии одно в республике, а проблемных пациентов довольно много, загруженность врачей большая, кроме того у них идёт большой поток косметических операций, так как больнице надо зарабатывать деньги.
Что касается пересадок некровоснабжаемых консервированных костей, столь любимыми онкологами, то как говорится всякая методика хороша в исполнении автора. Мой коллега, ассистент кафедры травматологии, рассказывал, что в НИИ травматологии и ортопедии в Минске, так же широко практикавали данную методу, но отдалённые результаты были плачевными. Я сам видел лет 10 назад женщину с тяжёлым остеомиелитом после такой операции.Один мой знакомый, работал ранее в микрохирургии, сейчас в онкологии, пишет кандидатскую по лечению остеомиелитов, так же наблюдал негативные результаты этого метода. Ведь кость, как и всякий орган в организме требует кровоснабжения. А если кровообращение на фоне воспалительного процесса в восприниающем ложе уже как правило нарушено, то думаю приживление такого трансплантанта сомнительно.
В настоящее время целостность мягких тканей голени полностью восстановлена, кожные лоскуты на мышце розовые фиксированные, раны закрыты на 100%, больной активен, ходит на костылях с дозированной нагрузкой на ногу в аппарате. Планируем выписать его на месяц по месту жительства. И если не получится с Минском, сделаем ему как и планнировали что-то вроде операции Гана-Кодивилла-Геттингтона. Пациент заранее настроен на длительное лечение в аппарате Иллизарова, уже хорошо адаптирован,оптимистичен и пока очень доволен результатами, отмечает значительное улучшение самочувствия. В приложении высылаю фотографии рентгенограм до и после операции.
С уважением, Цветков Евгений.
|
[
Ответить ]
|
Re: Тяжёлая травма голени, остеомиелит
Отправитель: Alexander Chelnokov 11 Июль 2009, 19:09
|
> Абсолютно согласен с мнением коллег, что наиболее оптимальным
> решением является замещение дефекта большеберцовой кости
> кровоснабжаемым костным трансплантантом малоберцовой кости со
> здоровой ноги.
А среди каких других рассматриваемых решений этот вариант представляется оптимальным?
Этот вариант малопривлекателен по меньшей мере тем, что результат в виде полностью опороспособной конечности будет достигнут этак через год-два-три.
Чем хуже сегментарный транспорт на двух уровнях? Да с последующим закрытым интрамедуллярным остеосинтезом. Сроки будут во много раз короче.
Или замещение дефекта кейджем плюс опять блокированный стержень. Это позволит бросить костыли вообще через несколько недель. И функция
голеностопного сустава практически не пострадает.
|
[
Ответить ]
|
Re: Тяжёлая травма голени, остеомиелит
Отправитель: Евгений Цветков 12 Июль 2009, 13:51
|
Вариант сегментарного транспорта на двух уровнях с применением аппарата Иллизарова нами расматривался, но в данном случае мы имеем дело с циркулярным дефектом большеберцовой кости величиной 17 см. Метод Иллизарова является эфективным при дефектах большеберцовой кости до 6-8 см. при удовлетворительном состоянии мягких тканей в очаге поражения. По данным Шатило А.В. после первых 8 см дистракции сроки созревания 1 см. регенерата большеберцовой кости и общее время фиксации конечности заметно возрастает( на 25-30%) среднее время пребывания в аппарате пациентов с дефектом кости 16-20 см составляет около 13 месяцев.
Метод трудоёмок, больной должен постоянно находиться под наблюдением для поддержания аппарата в правильном состоянии. Режим дистракции 1 мм в сутки в 4-5 приёмов в верхней трети голени, и 0.5-0.75 мм в сутки в нижней трети. Я думаю, что вряд ли администрация больницы доброжелательно отнесётся к такому койкодню, а на районе тоже маловероятно этим кто-то займётся. Кроме того психологически для пациента тяжело провести столько времени в больнице, проще ходить в аппарате дома.
Натяжение тканевых структур разной плотности и эластичности в ходе дистракции ухудшает проходимость микроциркуляторного русла, дополнительное пересечение большеберцовой кости приводит к прекращеню венозного дренажа через сосуды костно-мозгового пространства- всё это приводит к длительному отёку голени и стопы.
Чем больше длина регенерата, тем больше вероятность его деформации.
В ходе дистракции идёт сдавление мягких тканей спицами с развитием изменений сначала в подкожной клетчатке, затем на коже, часты гнойные осложнения, неизбежны склеротические изменения вокруг спиц. Часто требуется перемонтировка аппарата, иногда повторные операции. В 100% случаев развивается контрактура голеностопного сустава за счёт блокировки спицами кинематических цепей.
Всё это заставило нас отказаться от этого варианта лечения.
Что касается замещения дефекта кейджем, то такой вариант почему-то наши травматологи даже и не предложили, наверное нет опыта таких операций. Может Вы просветите меня, а я потом их, что за чудо метода такая, что за пару недель человек на ноги становится. Буду Вам очень благодарен.
С уважением , Цветков Евгений.
|
[
Ответить ]
|
Re: Тяжёлая травма голени, остеомиелит
Отправитель: Alexander Chelnokov 14 Июль 2009, 22:20
|
> 17 см. Метод Иллизарова является эфективным при дефектах
> большеберцовой кости до 6-8 см. при удовлетворительном состоянии
> мягких тканей в очаге поражения.
Насчет 6-8 см - это сильно заниженная оценка, дефекты можно замещать практически любые.
> фиксации конечности заметно возрастает( на 25-30%) среднее время
> пребывания в аппарате пациентов с дефектом кости 16-20 см
> составляет около 13 месяцев.
А зачем все время в аппарате пациента держать? Вчера гайки последний раз повернули, сегодня аппарата уже нет - внутрикостный стержень все
удерживает.
> администрация больницы доброжелательно отнесётся к такому койкодню,
> а на районе тоже маловероятно этим кто-то займётся. Кроме того
В больнице пациенту надо быть периоперационный период, и появляться на контроль раз в 10-15 дней.
Безусловно, есть масса нюансов техники работы с аппаратом, и инфекцию надо учитывать, и состояние тканей. В эти детали нужно будет углубиться ближе к делу.
> Всё это заставило нас отказаться от этого варианта лечения.
Стоило бы все взвесить еще раз, с учетом сегодняших представлений, а не 15-летней давности.
Вариант с перемещением малоберцовой тоже жизнеспособен, только внутрикостный стержень там не очень понятно, как лучше пристроить.
Что касается замещения дефекта кейджем, то такой вариант почему-то

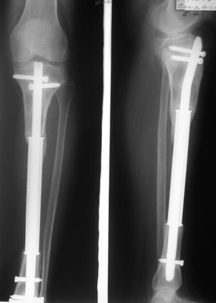
В приложении рентгенограмма через год после операции.
|
[
Ответить ]
|
Re: Тяжёлая травма голени, остеомиелит
Отправитель: Коваленко А.Н. 29 Июль 2009, 22:56
|
Сколько лет прослужит кейдж со штифтом? Ведь это металл и подвержен усталостным деформациям. Возможно проблемы начнуться раньше. Например на верхней границе контакта кейджа и кости уже сейчас можно отметить резорбцию. Или проблемы решатся по мере поступления и какие на Ваш взгляд можно ожидать?
|
[
Ответить ]
|
|
Re: Тяжёлая травма голени, остеомиелит
Александр А. 11 Июль 2009, 20:54
|
Мне кажется наиболее функционально, наименее энергозатратно и наиболее приемлемо для больного (если конечно позволят возможности - больного или лечебного учереждения)Последний вариант Челнокова. Замещение дефекта кейджем с БИОСом.
Да кстати Александр Николаевич по приезду из Августова, сразу же испробовал демонтаж аппарата ЧКО и БИОС одномоментно (две недели результат отличный, дырки от стержней лучше любого дренажа, думаю дальше тоже должно быть всё нормально, при случае сообщу).
|
[
Ответить ]
|
Re: Тяжёлая травма голени, остеомиелит
Александр Ситник 11 Июль 2009, 23:07
|
Для начала хорошо бы надежно купировать воспаление - это уже какой-то результат, который во многом и определит дальнейшее лечение.
Насчет микрохирургии - не буду утверждать однозначно, но в Боровлянах раньше на любили вмешиваться после гнойных дел даже при ремиссии.
Из наших (травматологических) вариантов возможны упомянутые и билокальный остеосинтез в аппарате, и его комбинация с интрамедуллярным фиксатором. Костный транспорт кажется мне более привлекательным, чем перемещение малоберцовой.
По поводу аллотрансплантатов (как сотрудник БелНИИТО) - мы их не применяем ооочень давно, по крайней мере в нашем отделении (острой и осложненной травмы)отношение к ним не положительное.
Если нужна помощь - консультация,госпитализация в РНПЦ ТО, пр. - пишите, будем решать.
alexandre_sitnik@yahoo.com
|
[
Ответить ]
|
Re: Тяжёлая травма голени, остеомиелит
Иван Лобанов 13 Июль 2009, 20:51
|
Уважаемый Евгений Цветков!
Безусловно, случай не из простых. И все же вариант с остеотомией на двух уровнях представляется более понятным и доступным в городском травматологическом отделении. О сроках. Остеотомия, 5 дней ждем, затем дистракция 1,5 мм (1 мм\сут вверху, 0,5 мм\сут внизу) 113 дней. Итого приблизительно 118-120 дней. Затем фиксация, еще 5-6 месяцев. Эти шесть месяцев больной может сидеть дома, на радость администрации больницы, периодически показываясь, да и в ходе дистракции, если он вменяемый и заинтересованный в результате, тоже. Деформация, прежде всего антекурвация верхнего регенерата, возможна, противоядие - шарниры тотчас ниже верхнего кольца и/или сагиттальный стержень в бугристость большеберцовой кости.
Теперь посмотрим на вариант с перемещением малоберцовой кости. Во-первых, похоже, есть несросшийся перелом на уровне края нижнего фрагмента большеберцовой кости, то есть перемещение отсеченной малоберцовой кости в верхней трети и перемещение ее в упор большеберцовой собственно упора не даст.
Существует вариант отщепа малоберцовой кости и перемещение его в дефект большеберцовой. Но он технически непрост, надо через отдельные разрезы отсечь малоберцовую кость на всю длину дефекта. Да еще в условиях инфекции! Правда, можно присмотреться к варианту двойной остеотомии малоберцовой кости на уровне концов отломков большеберцовой и дозированного перемещения ее в дефект. Личного опыта по двум последним вариантам у меня нет, советовать сложно. Хотя расчет показывает, что сроки заметно сократятся: после остеотомии перемещать малоберцовую надо сантиметра на 4 (5+40 дней) и на консолидацию около 60-90 дней.
С уважением И. Н. Лобанов
|
[
Ответить ]
|
( Ответить )
|
|