вверх
отправить
поиск
админ
главная
|
Отправлено Роман 28 Июль 2009, 13:59
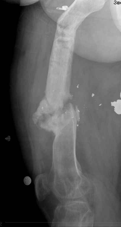
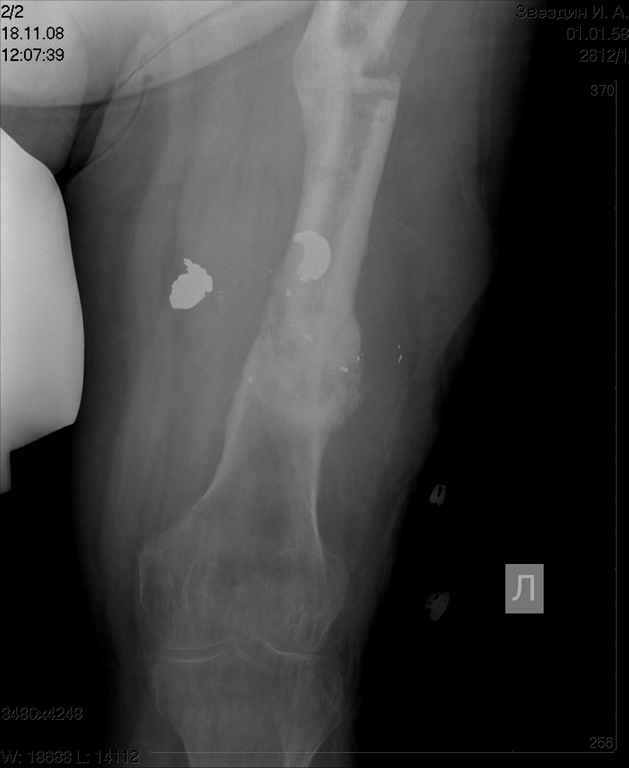
пациент имеет ложный сустав бедра после огнестрельного перелома и длительного лечения Пациент: 48л. ****** (ВРАЧ!) Инвалид 2 группы 3 степени Не работает Жалобы пациента: на невозможность полной нагрузки на левую нижнюю конечность, боли в левом бедре при движениях, в покое, патологическую подвижность в средней трети левого бедра, деформацию и укорочение конечности. Анамнез заболевания. : пациент получил открытый многооскольчатый огнестрельный перелом средней трети левой бедренной кости 24.12.2005г.. В экстренном порядке выполнялась хирургическая обработка раны левого бедра, наложение спице-стержневого аппарата внешней фиксации на левое бедро с вынужденным укорочением сегмента ввиду разрушения и отсутствия костных фрагментов. В послеоперационном периоде рана заживала вторичным натяжением удовлетворительно,без нагноения, выполнялась аутодермопластика дефекта кожи. Фиксация в спицестержневом аппарате в течение 5 месяцев. Правильной репозиции не удалось достигнуть. 24.5.06г. пациент в госпитале Самарского военно-медицинского института повторно прооперирован с установкой спице-стержневого аппарата на бедро и проведением остеотомии в в\3 бедра. Фиксация в аппарате в течение 19 месяцев. Ходил с дозированной нагрузкой на ногу. После снятия аппарата при увеличении нагрузки появилась варусная деформация бедра в зоне остеотомии, признаки образования тугого гипертрофического ложного сустава н\3 бедра. Анамнез жизни. Пациент аллергии на лекарственные препараты не отмечает. Туберкулез, вирусный гепатит, венерическую патологию отрицает. Гемотрансфузии были. Из перенесенных заболеваний отмечает калькулезный холецистит, оперирован в 2006 году – холецистэктомия, осложнившаяся перивезикулярным инфильтратом. Оперирован повторно. – ревизия, дренирование бр.полости. Аппендэктомия в 1993 году. прошу обсудить возможность восстановительного лечения, ПАЦИЕНТ НАСТОЙЧИВО ОТКАЗЫВАЕТСЯ ОТ АППАРАТЕ ВНЕШНЕЙ ФИКСАЦИИ, ИМЕЕТ БОЛЬШОЕ ЖЕЛАНИЕ ДОНОМОМЕНТНОГО ОСТЕОСИНТЕЗА С УСТРАНЕНИЕМ ДЕФОРМАЦИИ И УДЛИНЕНИЯ..
<
|
>
|
|
Ответить
|
Re: ложный сустав бедра
Андрей 29 Июль 2009, 16:35
|
У Sanatmetal есть система для удлинения костей с использованием блокируемого штифта.
Femoral_lengthening_device_RUS.pdf
455KB (466826 bytes)
|
[
Ответить ]
|
Re: ложный сустав бедра
Отправитель: :Zhenia 01 Август 2009, 00:15
|
Пациент ведь не хочет каких-либо внешних устройств!
|
[
Ответить ]
|
|
Re: ложный сустав бедра
Djoldas Kuldjanov, M.D. 29 Июль 2009, 22:11
|
Для восстановления ложного сустава слишком много информации из анамнеза жизни.
Вместо этого полезным было бы описание локального статуса деформации на сколько градусов и на сколько см укорочение.
Можно предложить тот же дискутириумый кейдж с интрамедулярным блокирующим штифтом, но все зависит от укорочение бедра. Небольшое укорочение можно делать одномоментно, а так трудно гадать, поэтому желательно сравнительный снимок бедра для определения окончательной тактики лечения.
|
[
Ответить ]
|
Re: ложный сустав бедра
керимов артур 29 Июль 2009, 23:59
|
анамнез дествительно красивый, но типичный для данной патологии, хорошо бы глянуть на снимки после травмы и в процессе лечения!! А что пациент из военных?
Центр травматологии и ортопедии
ГВКГ им. Н.Н. Бурденко
|
[
Ответить ]
|
Re: ложный сустав бедра
Отправитель: Роман 30 Июль 2009, 15:07
|
посылаю снимки отдельно

|
[
Ответить ]
|
Re: ложный сустав бедра
Отправитель: Alexander Chelnokov 01 Август 2009, 17:35
|
Перед сохранением изображение нужно скадрировать. то есть оставить только область интереса, убрав попавшие в кадр пальцы, мебель, стены и прочее по краям кадра.
После этого следует убедиться, что длина и ширина изображения не превышают 1000 пикселов. Если они больше, следует уменьшить их при помощи соответствующей возможности, которая есть в любой популярной программе просмотра и обработки изображений (FastStone, ACDSee, IrfanView, Lview и т.д.), не говоря о уж о Photoshop.
Рентггенограмму надо преобразовать из цветной в полутоновую черно-белую, т.е. greyscale, оно же "оттенки серого".
Фото и рентгенограммы необходимо преобразовать только в формат JPEG, который сохраняется с компрессией.
Компрессию следует задать даже ниже средней, при этом изображение остается читаемым.
Размер файла после такой обработки обычно не превышает 50-60 Кб.
|
[
Ответить ]
|
|
Re: ложный сустав бедра
керимов артур 31 Июль 2009, 00:01
|
такое ощущение, что пациента на предыдущих этапах лечили только по снимкам нижней трети бедра в прямой проекции.
Учитывая огнестрельный характер перелома, я бы воздержался от транспорта остеотомированного фрагмента на штифте. гораздо надежнее, проще в техническом, а еще, и немаловажно, в финансовом плане (пациент неработающий инвалид) устранить деформации и укорочения в АВФ, а потом быстренько на рассверливаемый штифт, лучше с антибактериальным цементным покрытием.
А рыбку по быстренькому съесть и при этом на ,, не сесть не бывает.
P.S.
самое главное с такими пациентами не навредить, не идти на поводу у пациента и еще, не уверен в себе- передай другим!!!
|
[
Ответить ]
|
Re: ложный сустав бедра
Leonid Solomin 31 Июль 2009, 18:05
|
Уважаемый Роман!
("закон непарных случаев": а у нас сегодня пациентка после последовательных гвоздя и пластины настаивает на аппарате - к слову
пришлось)
... рентгенограммы, очевидно забыли приложить? При угловой деформации одномоментная коррекция возможна на шарнирной остеотомии (легко
нарисовать - сложнее сделать; каково при этом будет одномоментное относительное удлинение? - есть критические величины, за которыми - угроза нейротрофических осложнений) или "закрытом клине". При последнем варианте больной д.б. предупрежден об остаточном укорочении.
Скиаграмки порисовать надо...
Всего наилучшего,
Л.Соломин
|
[
Ответить ]
|
Re: ложный сустав бедра
Женя 31 Июль 2009, 20:29
|
Анамез - шикарный, просто супер! Пациенту что важнее - опорная нога или равная длинная конечностей? В данном случае эти два параметра соединить практически невозможно. Сделать опорную ногу с хорошей осью можно погружными конструкциями, а удлиннять - только АВФ! Более того, пациент ведь ВРАЧ (если не микробиолог, конечно), он должен понимать возможности человеческого организма вообще и своего, в частности! Скорее всего, что он уже у всех, кто доступен, побывал и все возможные варианты знает, поэтому, здесь скорее проблема психиатрическая.
|
[
Ответить ]
|
( Ответить )
|
|