вверх
отправить
поиск
админ
главная
Предыдущее
Весь тред
|
Re: Чрезвертельный перелом бедра
Djoldas Kuldjanov 25 Август 2009, 20:57
|
Английский язык Вам, явно, не родной. Пишите по-русски, ошибок , наверное, будет меньше” “ ili pishi po anglizki bez oshibok, ili valyai na moguchem (a to za derghavu obidno”
"За державу" должны обижаться те, которые допускают очередную затянувшуюся перестройку в медицине, иначе как можно представить ситуацию, когда довольно молодой больной (60) не получает адекватное лечение из-за чиновничьих регулировок и отсутствия импланта. В странах развитого социализма, тем более в странах капитализма, обычно такие вопросы не возникают, поэтому стоит ли раздражаться из-за мелких языковых ошибок Миши.
Предлагаемое как вариант консервативное лечение чрезвертельных переломов существует, но это суровое наказание для больного и возврат к прошлому. Такой метод можно предложить, когда невозможно сделать операцию из-за соматического состояния при большом риске от вмешательства.
Консервативный метод из-за дороговизны обслуживания, особенно в странах с лимитированным ресурсом, и из-за высокого процента осложнения не применяется. По известным данным, в 80е годы смертность среди неоперированных пожилых больных в течение первого года после травмы достигала до 20% и около 13% в течение второго года.
Число лет не характеризирует физиологическое состояние, и возраст больного не является критерием к противопоказанию, были случаи, когда 80 летний выглядел намного здоровее, чем более молодые.
Раневые осложнения от доступов составляют около 1%, анестезиологические осложнения мизерные, навряд ли это должно оправдывать отказ от оперативного вмешательства, и поэтому ссылки на риск от наркоза и осложнения от доступов считаю отговорками.
А вот к данным операциям без рентгена, как советует специалисты, я бы отнесся скептически, как раз здесь можно натворить много ошибок, например, от неправильной установки гвоздя мимо шейки до неудовлетворительной репозиции.
Лучше пропагандировать современные методы, чем удовлетвориться пройденным, иначе как говорят "Non progredi est regredi" - лучше идти вперед, чем назад.
Потом действительно, начитавшись Златоустовских данных, навряд ли администрация пойдет на приобретение современного рентген аппарата.
Для профилактики осложнений нужно как можно быстрее больного ставить на конечность. При лимитированных возможностях подойдут менее щадящие методы, например минимальный гибридный аппарат “шейка-диафиз” или “таз-диафиз”.
Из фиксаторов, мы бы применили цефаломедуллярные, потому что они "по закону моментов" из-за короткого рычага от центра головки к диафизу и по принципу "головка диафиз" механически лучше выдерживают нагрузки, чем пластины.
Но современные пластины с угловой стабильностью не отстают от медуллярных конструкций. Межфрагментарные шурупы и имплант как нейтрализирующее создаст адекватную фиксацию.
Здесь пара случаев фиксации похожих переломов:
первый высокоэнергетическая травма 36 лет

Djoldas Kuldjanov, M.D.
Department of Orthopedic Surgery
St. Louis University
|
|
|
Ответить
|
Re: Чрезвертельный перелом бедра
Djoldas Kuldjanov 25 Август 2009, 22:19
|
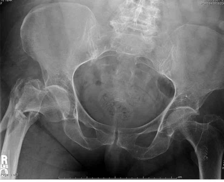
Здесь 83 года, травма в результате падения
Djoldas Kuldjanov, M.D.
Department of Orthopedic Surgery
St. Louis University
|
[
Ответить ]
|
Re: Чрезвертельный перелом бедра
Maxim Agalakov 26 Август 2009, 10:27
|
>Консервативный метод из-за дороговизны обслуживания, особенно в странах с лимитированным ресурсом, и из-за высокого процента осложнения не применяется.
вы же знаете, у нас в стране деньги считаются несколько иначе
>Но современные пластины с угловой стабильностью не отстают от медуллярных конструкций. Межфрагментарные шурупы и имплант как нейтрализирующее создаст адекватную фиксацию.
судя по картинкам с ЭОПа явно использовались приемы непрямой репозиции под его контролем, а так же интраоперационный ЭОП-контроль положения винтов, без такого контроля операция может ухудшить ситуацию (опять же учтите сроки) т.к. результат буде зависеть в большей степени от искусства хирурга, а не от технологии
|
[
Ответить ]
|
( Ответить )
|
|