AOTRAUMA.ORG Центр Илизарова  

Ортопедия и травматология Общие вопросы/General questions Help Информационные технологии в медицине
 вверх
 отправить
 поиск
 админ
 главная
 Предыдущее


Re: Интрамедуллярный остеосинтез бедра, перелом гвоздя
Костив Роман 21 Август 2009, 03:37


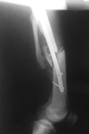
Большое спасибо за ответы. Прошу прощения, что сразу не показал боковую проекцию (прилагаю сейчас). Может быть с таким торцевым упором не производить динамичсекую фиксацию, а провести динамизацию позже.
С Уважением ко всем присутствующим.
Роман

  • Сообщения о Ортопедия и травматология
  • Также Костив Роман
  • Связаться с автором
  • Ответить

    Re: Интрамедуллярный остеосинтез бедра, перелом гвоздя
    Alexander Chelnokov 21 Август 2009, 15:10
    Да, такая картина заставляет план подкорректировать. После удаления стержня надо дистрактором одномоментно или, если не получится, постепенно восстановить длину. И для окончательного устранения антекурвации надо взять гвоздь потолще и подлиннее.
    [ Ответить ]


    ( Ответить )

    Powered by Zope  Squishdot Powered MedLink
    Посетитель: 0000130
      "По форме правильно, а по существу - издевательство" В.И.Ленин
    ©2001-2019Orthoforum Coordinator.
    [ Главная | Отправить сообщение | Поиск | Админ ]