вверх
отправить
поиск
админ
главная
|
ложный сустав вертельной области |
 |
 |
 |
Отправлено Тарас Рокита 07 Сентябрь 2009, 17:56
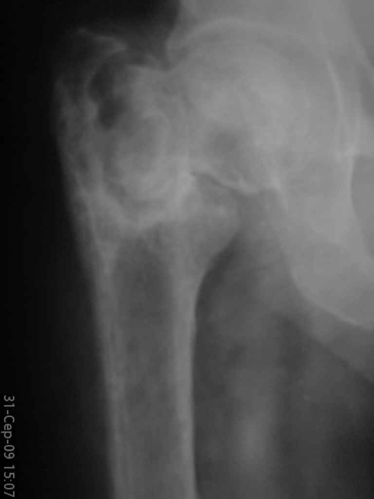
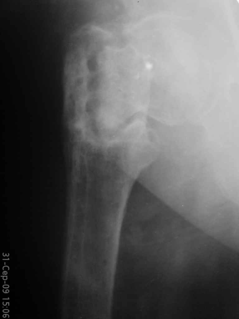
Уважаемые коллеги, помогите определиться с тактикой лечения. Больная, 62 года,жалуется на боли,неопорность левой ноги. Ходит с помощью костылей, укорочение ноги 3 см. Два года назад была оперирована кокой-то накостной пластиной, пластину удалили 4 мес назад. Вопрос такой: предлагать эндопротезирование или делать МОС (что-то по типу стержня Gamma)?За качество снимков извините, по данным МРТ - головка живая
<
|
>
|
|
Ответить
|
Re: ложный сустав вертельной области
Alexander Chelnokov 07 Сентябрь 2009, 19:52
|
Дорогой Тарас
>Два года назад была оперирована кокой-то накостной пластиной, пластину удалили 4 мес назад. Вопрос такой:
> предлагать эндопротезирование или делать МОС (что-то по типу стержня Gamma)?
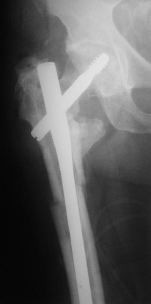
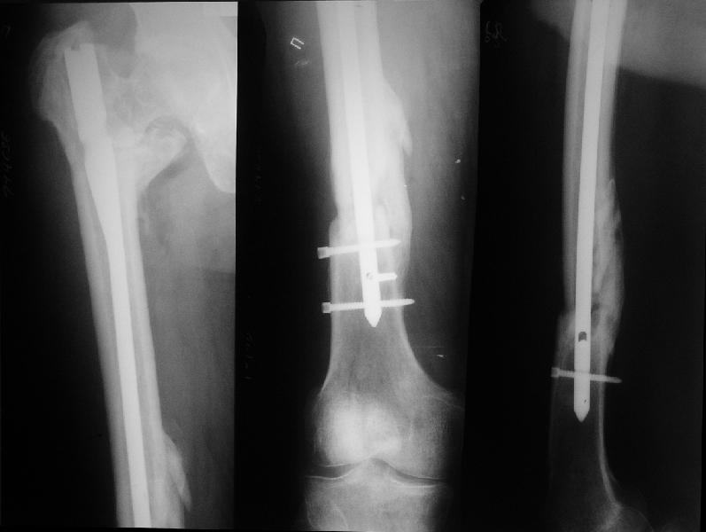
На прошлой неделе оперировали похожего пациента. 2 года после неудачного остеосинтеза PFN в другом регионе. После удаления остатков железа выявилось несращение вертельной области.
В такой ситуации важно устранить варусную деформацию. При использовании гвоздя это непросто. Поэтому в число рассматриваемых
вариантов стоило бы включить вальгизирующую остеотомию с фиксацией 130-градусной клинковой пластиной или DHS.
Если есть сильное желание фиксировать все-таки гвоздем, советовал бы ввести мощный "джойстик" параллельно оси шейки бедра близко к ее задней стенке, сделать поперечную межвертельную остеотомию и использовать дистрактор таз-бедро.

Поскольку в нашем случае выявилась подвижность, мы наложили дистрактор таз-бедро на 3 дня, и сделали остеосинтез гаммой без остеотомии. То, что произошла "корригирующая остеоклазия" в подвертельной области, выявили после введения гвоздя. Пациент уже уехал домой, будем наблюдать.
|
[
Ответить ]
|
Re: ложный сустав вертельной области
Djoldas Kuldjanov 17 Сентябрь 2009, 19:29
|
>по данным МРТ - головка живая
Исследования показывают, что даже при частичном остеонекрозе головки бедра вальгусная остеотомия положительно влияет на восстановление кровообращения.
Секрет успеха в более благоприятной механике, за счет установки линии перелома в более горизонтальное положение. Вальгусная остеотомия создает необходимые механические условия для сращения ложного сустава в шейке и в вертельной области, а также восстанавливает длину конечности. Но любая вальгизирующая операция приведет к неизбежному вальгусу конечности.
Для профилактики вальгуса конечности необходимо создать латерализазацию диафиза, и для быстрейшего сращения необходимо создать компрессию по линии остеотомии.
Интрамедуллярной конструкцией трудно создать все эти условия и поэтому для окончательной фиксации применение 120 или 130 градусной пластины считаю более привлекательным вариантом.
Djoldas Kuldjanov, MD
Department of Orthopedic Surgery
St. Louis University Medical Center
|
[
Ответить ]
|
( Ответить )
|
|