AOTRAUMA.ORG Центр Илизарова  

Ортопедия и травматология Общие вопросы/General questions Help Информационные технологии в медицине
 вверх
 отправить
 поиск
 админ
 главная


БИОС голени. В чем ошибка?
Ортопедия и травматология Отправлено Сергей 13 Сентябрь 2009, 16:13
Уважаемые коллеги. Помогите разобраться, есть ли в наших действиях ошибка...Если да, то в чем?
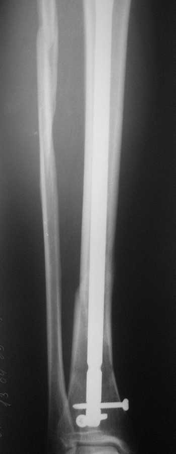
В январе 2009 года нами оперирована пациентка с переломом н\3 голени штифтом Expert. Динамизация через 4 месяца, пациентка при этом уже ходила с тростью. Дома периодически передвигалась без дополнительной опоры. В настоящее время - через 9 месяцев с момента операции периодически в вечернее время беспокоят ноющие боли в места перелома (не постоянно). При беседе выяснено, что боли чаще беспокоят после того, как днем она походит по дому без трости. Пальпаторно по гребню берцовой кости болей нет, но по задне-внутренней поверхности б\б кости пальпирутеся западение на уровне места перелома.В чем ошибка??? и что делать???

<  |  >

 

  • Сообщения о Ортопедия и травматология
  • Также Сергей
  • Связаться с автором
  • Ответить

    Re: БИОС голени. В чем ошибка?
    Алексей 13 Сентябрь 2009, 20:11
    Здраствуйте Сергей.
    На мой взгляд, возможно, проблема возникла из-за позней динамизации (4 мес.) обычно до 2 мес.
    А решение проблемы - сделать резекцию малоберцовой, и разрешить умеренную физ нагруску, через месяц снимок.

    С уважением, Алексей!
    [ Ответить ]

    • Re: БИОС голени. В чем ошибка?
      Отправитель: Сергей 13 Сентябрь 2009, 20:17
      Алексей... А если ничего не делать... исход....?

      [ Ответить ]
      • Re: БИОС голени. В чем ошибка?
        Отправитель: Алексей 13 Сентябрь 2009, 20:50
        Исход... Сращение или ложный сустав...
        Возможно всё-таки сращение наступит, но прошло уже 9 мес. и результат на "лицо".
        Ходить она сможет и на стержне,на ложном суставе, но не забывайте, что стержень нада будет когда-то удалять.

        С уважением
        Алексей!

        [ Ответить ]
        • Re: БИОС голени. В чем ошибка?
          Отправитель: Сергей 13 Сентябрь 2009, 20:56
          спасибо за ответы...

          [ Ответить ]
        • Re: БИОС голени. В чем ошибка?
          Отправитель: Сергей 13 Сентябрь 2009, 21:22
          Алексей. Если делать резекцию малоберцовой кости то: 1. уровень 2. размер производимого деФЕКТА

          [ Ответить ]
          • Re: БИОС голени. В чем ошибка?
            Отправитель: Алексей 14 Сентябрь 2009, 19:19
            Уважаемый Сергей, по-поводу уровня и резекции Вам уже ответили на этот вопрос, полностью согласен с Алексем Семенистым, косая остеотомия подойдёт гораздо лутше.
            С Уважениема
            Алексей.

            [ Ответить ]
    Re: БИОС голени. В чем ошибка?
    Alexander Chelnokov 13 Сентябрь 2009, 20:44
    Приветствую,

    походит по дому без трости. Пальпаторно по гребню берцовой кости болей нет, но по задне-внутренней поверхности б\б кости пальпирутеся западение на уровне места перелома.
    > В чем ошибка???


    Недостаточная стабильность. Не использованы все возможности дистального запирания, нет самого проксимального из дистальных винтов. Два винта из трех коротковаты. В результате при диинамизации появился диастаз.

    > и что делать???

    Тут есть уже опасность перелома стержня по ближайшему к перелому отверстию. Так что правильнее сделать реостеосинтез с рассверливанием. При введении гвоздя в дистальный отломок использовать отклоняющую спицу
    или винт, чтобы стержень оказался не у переднего кортекса, как сейчас, а где и надо - посередине. Это обеспечит еще и встречно-боковую компрессию.
    [ Ответить ]

    • Re: БИОС голени. В чем ошибка?
      Отправитель: Сергей 13 Сентябрь 2009, 20:50
      Сспасибо за ответ...но диастаз был изначально...Можн ли уменьшить опасность перелома фиксатора если уменьшить нагрузку...или по любому необходим реостеосинтез

      [ Ответить ]
      • Re: БИОС голени. В чем ошибка?
        Отправитель: Сергей 13 Сентябрь 2009, 20:58
        Александр. Может вопрос и предложение будет глупым, но все же - а если на данном этапе закрыть проксимальное отверстие ... это что о даст... это лучше чем напрягать больного сразу на еще один штифт??? или самому его покупать??????????!!!

        [ Ответить ]
        • Re: БИОС голени. В чем ошибка?
          Отправитель: Alexander Chelnokov 13 Сентябрь 2009, 22:05
          > если на данном этапе закрыть проксимальное отверстие ... это что о
          С> даст... это лучше чем напрягать больного сразу на еще один штифт???


          Все паллиативные меры, боюсь, в разумное время эффекта не дадут, а уже и так пациент без сращения очень долго.

          Можно и этим же гвоздем пересинтезировать, если уж так трудно с другим.


          [ Ответить ]
      • Re: БИОС голени. В чем ошибка?
        Отправитель: Alexander Chelnokov 13 Сентябрь 2009, 21:03
        Значит, изначально в периферическом отломке гвоздь шел не по центру, а ближе к передней стенке. Это не очень хорошо.
        Если уменьшить нагрузку - конечно, опасность меньше. Но неполная нагрузка уместна в раннем послеоперационном периоде, а не спустя 9 мес. Да снижение нагрузки при этой картине вовсе не гарантирует скорое сращение.

        [ Ответить ]
    Re: БИОС голени. В чем ошибка?
    Alexey Semenisty 14 Сентябрь 2009, 06:40
    Да не так уж все и страшно)....
    Да, динамизация поздновата. Да дистальный отломок заперт одним винтом, два другие короткие, еще дно отверстие пустое...

    В настоящее время - через 9 месяцев с момента операции периодически в вечернее время беспокоят ноющие боли в места перелома (не постоянно).

    Простите, а многие ли оперированные пациенты через 9 месяцев ваще не испытывают боли? Некоторые и через многие годы придавно сросшемся переломе жалуются на периодические боли...(на нагрузку, на погоду/природу).

    В чем ошибка??? и что делать???...

    Этот 9-ти мм. стержень ExpertTN вряд ли скоро сломается, если, конечно же, пациентка не имеет большого веса (>100 kg). Перештифтовать более толстым штифтом с рассверливанием, пожалуй, самый надежный вариант, но не факт, что единственный. Вполне правомочно подумать просто о косой остеотомии малоберцоыой кости (зачем резекция???) в средней 1/3 и попытке дополнительной стабилизации дистального отломка путем запирания штифта через свободное отверстие (наиболее проксимальное из дистальных) и замены двух самых дистальных винтов, причем косой самый дистальный лучше провести в другой плоскости. Возможно этого будет вполне достаточно для сращения...а вот периодически возникающие боли могут и остаться(((

    Удачи!
    С уважением, А.Семенистый.
    ГКБ N 13, Москва.

    [ Ответить ]

    • Re: БИОС голени. В чем ошибка?
      Отправитель: Сергей 14 Сентябрь 2009, 18:54
      Большое спасибо за столь исчерпывающий ответ Уавжаемый Алексей Семенистый (простите отчество Ваше запамятовал).

      [ Ответить ]
    • Re: БИОС голени. В чем ошибка?
      Отправитель: Alexander Chelnokov 14 Сентябрь 2009, 20:47
      > Простите, а многие ли оперированные пациенты через 9 месяцев ваще
      > не испытывают боли? Некоторые и через многие годы придавно сросшемся


      Боли именно при нагрузке, характерные для несращения - соответственно, только те, у кого оно есть.

      > провести в другой плоскости. Возможно этого будет вполне достаточно
      > для сращения...


      А возможно, и нет. И когда снова констатировать неудачу - не очень понятно.
      То есть при этом подходе остается соблазн - а давайте подождем еще пару месяцев... и еще раз... и еще месяц... А потом - ой! Оно все-таки сломалось. После этого решение о реостеосинтезе, конечно, принимается гораздо легче.

      Учитывая картину несращения (плохой контакт, возможность "срезания" образующейся кости из-за отсутствия упора на стыке), немалый уже срок лечения при этом исходно не самом тяжелом и сложном повреждении, IMHO желательно сделать то, что сразу стабилизирует сегмент - грубо говоря, чтобы после снятия швов можно было выйти на работу.
      И то, что обеспечит наибольшие шансы на достижение сращения за минимальный срок. Поэтому реостеосинтез с рассверливанием здесь надо было сделать даже раньше, при отсутствии сращения к полугоду.

      [ Ответить ]
      • Re: БИОС голени. В чем ошибка?
        Отправитель: Alexey Semenisty 15 Сентябрь 2009, 18:31
        Боли именно при нагрузке, характерные для несращения - соответственно, только те, у кого оно есть.

        Цитирую исходное сообщение: "...периодически в вечернее время беспокоят ноющие боли в места перелома (не постоянно). При беседе выяснено, что боли чаще беспокоят после того, как днем она походит по дому без трости."

        т.е боли именно не при самой нагрузке, а после....


        > провести в другой плоскости. Возможно этого будет вполне достаточно
        > для сращения...

        А возможно, и нет..... А потом - ой! Оно
        все-таки сломалось. после этого решение о реостеосинтезе, конечно, принимается гораздо легче.


        Перелом оригинального synthes (это не реклама), не бывшего в употреблении ранее (я надеюсь) девяти миллиметрового титанового прутка вещь крайне редкая, казуистическая..., в отличие от некоторых отечественных "генериков" (это не антиреклама!).

        желательно сделать то, что сразу стабилизирует сегмент - грубо говоря, чтобы после снятия швов можно было выйти на работу.
        И то, что обеспечит наибольшие шансы на достижение сращения за минимальный срок. Поэтому реостеосинтез с рассверливанием здесь надо


        Безусловно, но!
        Сам неоднократно в подобных случаях делал реостеосинтез или не делал оного, как у собственных пациентов, так и и со стороны. Во всех случаях решение принималось после беседы с больным и детального объяснения всех "за" и "против"....
        Если принято решение о реоперации, и пациент грубо не нарушал рекомендаций, то второй раз пациента напрягать на покупку имплантата не стоит (если, конечно, это ваш пациент, если нет, то у него, как првило, есть возможность обратится к аффтору). IMHO.

        С уважением, А.Семенистый.
        ГКБ № 13, Москва.

        [ Ответить ]
        • Re: БИОС голени. В чем ошибка?
          Отправитель: Alexander Chelnokov 15 Сентябрь 2009, 23:04
          > выяснено, что боли чаще беспокоят после того, как днем она походит по дому без трости."
          > т.е боли именно не при самой нагрузке, а после....


          Ну "походит без трости" - это как раз говорит о полной нагрузке.
          Впрочем, возможно, что при более детальном расспросе и осмотре можно выявить все то, что будет соответствовать рентгенологической картине.


          > Перелом оригинального synthes (это не реклама), не бывшего в
          > употреблении ранее (я надеюсь) девяти миллиметрового титанового
          > прутка вещь крайне редкая, казуистическая..., в отличие от некоторых


          Дело даже не в угрозе перелома конструкции, которая действительно отстоит несколько подальше в случае хорошей железки.
          Основная беда в том, что срок тут уже 9 мес., а сращения нету.
          Нам надо не имплантат сберечь любой ценой, а желаемый результат лечения уже получить.


          > Сам неоднократно в подобных случаях делал реостеосинтез или не
          > делал оного, как у собственных пациентов, так и и со стороны. Во
          > всех случаях решение принималось после беседы с больным и детального
          > объяснения всех "за" и "против"....


          Наверно, мы как раз и пытаемся детально обсудить эти самые "все за и проотив".


          > Если принято решение о реоперации, и пациент грубо не нарушал
          > рекомендаций, то второй раз пациента напрягать на покупку имплантата


          Надо быть в курсе всех приемлемых вариантов. Вполне можно сделать реостеосинтез тем же гвоздем, заперев его уже во все отверстия винтами правильной длины. При реостеосинтезе растянуть
          дистрактором и использовать отклоняюшие спицы и винты.

          Другой вариант - использование недорогого отечественного имплантата большего диаметра. Немного рекламы: мы, например, вполне довольны
          гвоздями диаметром 12 мм с запирающими винтами 6 мм, которые делает предприятие "ЦИТО" по нашим наработкам.

          [ Ответить ]
          • Re: БИОС голени. В чем ошибка?
            Отправитель: Alexey Semenisty 17 Сентябрь 2009, 19:34
            Александр!
            Согласен)

            С уважением, А.Семенистый.
            ГКБ N 13, Москва.

            [ Ответить ]
        • Re: БИОС голени. В чем ошибка?
          Отправитель: Сергей 16 Сентябрь 2009, 21:17
          а почему вы считаете что нужно просто сделать остеотомию м\б кости, а не небольшую резекцию... ведь в последнем случае б\б кость "сядет" на такое же расстояние... и второй вопрос принципиально ли сделать остеотомию на уровне ср\3 или можно сделать по старому перелому...


          [ Ответить ]
          • Re: БИОС голени. В чем ошибка?
            Отправитель: Alexey Semenisty 17 Сентябрь 2009, 19:55
            >а почему вы считаете что нужно просто сделать остеотомию м\б кости,

            Не ПРОСТО остеотомию, а косую!

            а не небольшую резекцию... ведь в последнем случае б\б кость "сядет" на такое же расстояние...

            Потому что косая остеотомия намного проще в исполнении, и не менее эффективна. А с размером резекции можно и промахнуться как в большую, так и в меньшую сторону.


            >и второй вопрос принципиально ли сделать остеотомию на уровне ср\3 или можно сделать по старому перелому...

            В данном случае сросшийся перелом м\б кости в верхней 1\3. остеотомия в этой зоне более рискованна в плане повреждения м\б нерва и межкостных сосудов. Кроме того, в верхней трети в большом мышечном массиве это сделать чуть сложнее, чем ниже.

            С уважением, А.Семенистый.
            ГКБ № 13, Москва.

            [ Ответить ]
            • Re: БИОС голени. В чем ошибка?
              Отправитель: Сергей 17 Сентябрь 2009, 20:19
              Большое спасибо Алексей!

              [ Ответить ]
    Re: БИОС голени. В чем ошибка?
    Djoldas Kuldjanov 15 Сентябрь 2009, 07:53
    "напрягать больного сразу на еще один штифт??? или самому его покупать??????????!!!"

    Обычно такие переломы из-за длинной линии перелома срастаются в течение 3 месяцев. Внезапные боли на фоне благополучия, особенно на месте перелома после 2х месяцев, уже тревога!

    По снимку гвоздь сидит плотно в узкой части большеберцовой, а на периферии нестабильная блокировка. Динамизация работает в течение первых 8 недель.

    Если переломы которые "должны срастись", не срастаются, тогда надо искать причину, например курение??? Мало ли казусов, иногда бывают сосудистые причины.

    А так по давности (9 мес) уже сформировался ложный сустав и трудно рассчитывать на сращение без замены гвоздя. Общепринятая тактика, обычный реостеосинтез с рассверливанием даст хороший результат, потому что рассверливание канала стимулирует процесс при ложных суставах и более массивный гвоздь создаст нужную стабильность.

    Если у вас имеется запас гвоздя в проксимальной части, тогда после остеотомии малоберцовой можно создать компрессию аппаратом из двух колец, не удаляя гвоздь.

    БИОС техника не гарантирует 100% сращение, поэтому трудно по каждому перелому давать гарантию и также не рекомендуется по каждому ложному суставу покупать самому имплант. Обычно такие отрицательные моменты обсуждаются с больными до операции.


    Djoldas Kuldjanov, MD
    Department of Orthopedic Surgery
    St. Louis University Medical Center
    [ Ответить ]

    Re: БИОС голени. В чем ошибка?
    Александр Олегович 15 Сентябрь 2009, 20:52
    Около 3-х месяцев назад к нам обратился парень с подобным переломом. Прооперирован за 4 мес до обращения в Одессе штифтом CHM.
    Сращения в месте перелома б/б кости практически не было. Ходил с палочкой. Испытывал постоянные боли.
    Провели динамизацию. Хотя обычно это делается через 2 месяца. Через 2 мес контроль. На контроле признаки формирования костной мозоли. боли значительно уменьшились.
    При обсуждении этого случая при первом обращении пациента была выдвинута идея косо резицировать м/б кость, дабы устранить эффект распорки.
    Раз в вашем случае положительной динамики нет, несмотря на динамизацию в теч 5 мес, единственно правильным считаю провести резекцию м/б кости, косую. Иначе получите ложный сустав.

    [ Ответить ]


    ( Ответить )

    Powered by Zope  Squishdot Powered MedLink
    Посетитель: 0389976
      "По форме правильно, а по существу - издевательство" В.И.Ленин
    ©2001-2019Orthoforum Coordinator.
    [ Главная | Отправить сообщение | Поиск | Админ ]