ВХОД ДЛЯ ПАЦИЕНТОВ
вверх
поиск
админ
главная
|
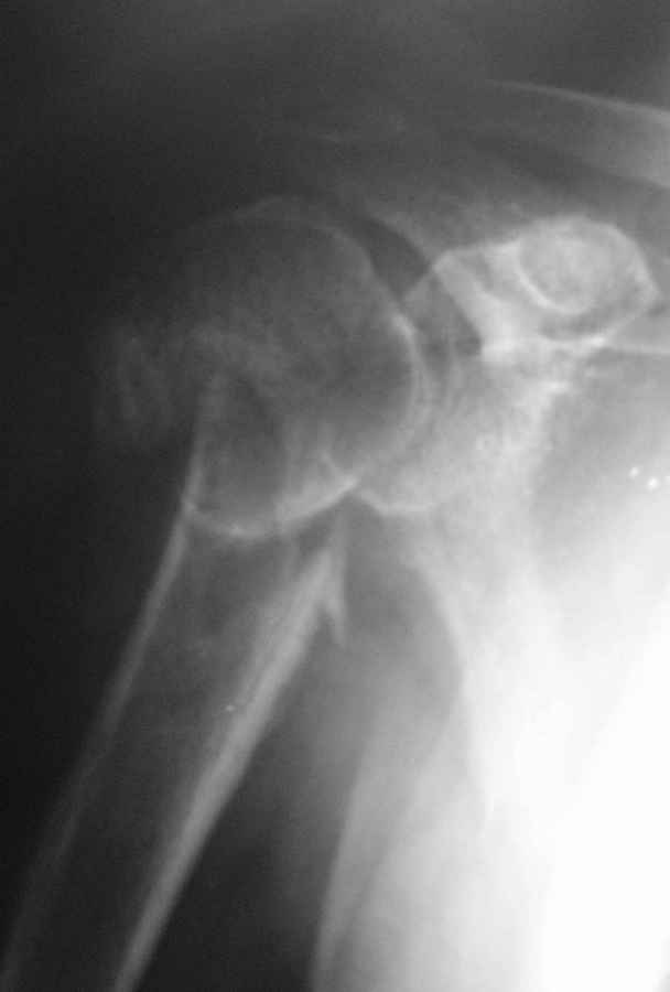
Перелом хирургической шейки плеча |
 |
 |
 |
Прислано Роман Д. 18 Сентябрь 2009, 18:50
из
Уважаемые коллеги. Выскажите пожалуйста свое мнение.
Пациент 55 лет. травма 7.07.09г (первая Р-грамма). Лечился консервативно, надолго выпадал из под наблюдения леч. врача. Последний снимок от 7.08.09 г. Как видно на Р-грамме, стояние отломков неудовлетворительное, клинически выраженная патологическая подвижность. Соп. дз: сахарный диабет 1 типа, средней тяжести.
Выскажите Ваше мнение о дальнейше тактике лечения данного пациента.
Обратите внимание: Поля с жирными названиями обязательны.
Старайтесь отвечать в рамках обсуждаемой темы, а не начинать новые обсуждения.
Указывайте адекватную тему сообщения, чтобы было ясно, о чем оно.
Не послайте сообщений не по теме (оффтопик), раздраженных, грубых или обидных комментариев. Здесь это неуместно.
|