вверх
отправить
поиск
админ
главная
|
Депрессия внутреннего мыщелка tibia - последствия |
 |
 |
 |
Отправлено Alexander Lazarev 18 Сентябрь 2009, 22:28
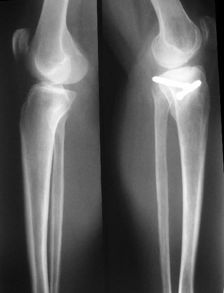
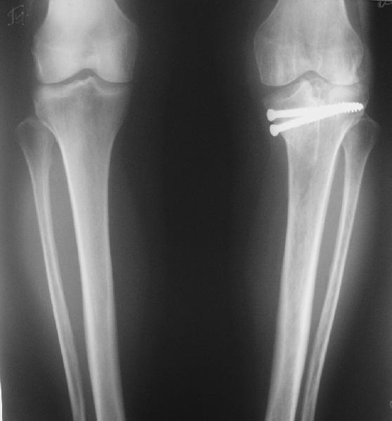
В отделение поступила пациентка из области, 68 лет. Травму получила год назад, находилась на лечении в ЦРБ по поводу перелома внутреннего мыщелка большеберцовой кости, была вот так прооперирована. На сегодняшний момент беспокоят боли в области коленного сустава при ходьбе, движения ограничены, от 180 до 100. При планировании операции возникли разногласия, на каком уровне делать остеотомию. То ли поднимать внутренний мыщелок, т.е. делать остеотомию через сустав, то ли обойтись внесуставной коррекцией оси. Второй вариант менее травматичен, но конгруэнтность сустава при этом останется нарушенной, улучшится только ось конечности. Допустима ли такая коррекция, или все-таки правильнее не менять взаимоотношения наружного мыщелка с диафизом, а поднять именно внутренний мыщелок?
<
|
>
|
|
Ответить
|
Re: Депрессия внутреннего мыщелка tibia - последствия
Антон Андрианов 19 Сентябрь 2009, 20:56
|
Уважаемый коллега,
в аналогичной ситуации несколько лет назад, случай был выложен на форуме, с вальгусной деформацией колена после подобной операции, мы выполнили внесуставную коррекцию оси.Пациентка, врач - терапевт, вначале была недовольна незначительной гиперкоррекцией.Через пару лет ходит свободно, без боли, сустав стабилен, развитие ДОА довольно медленное.В другом подобном случае мы произвели пластическое замещение дефекта плато фрагментом крыла подвздошной кости, фиксацию Т-образной пластиной. Через год сустав стабилен, длительная ходьба болезненная, выражены рентгеновские признаки ДОА.
|
[
Ответить ]
|
Re: Депрессия внутреннего мыщелка tibia - последствия
Отправитель: Alexander Lazarev 19 Сентябрь 2009, 21:15
|
Спасибо за ответ, коллега. Не могли бы Вы еще уточнить, на каком уровне выполнялась коррекция и чем производилась фиксация.
|
[
Ответить ]
|
Re: Депрессия внутреннего мыщелка tibia - последствия
Отправитель: Антон Андрианов 20 Сентябрь 2009, 07:39
|
Уровень остеотомии выбирали максимально высокий.В Вашем случае после удаления винтов можно было бы провести пару спиц и выбрать уровень. Нам доступны лишь Т образные пластины -имитаты АО. Очень изящно, хотя и мудрено, выглядит схема остеотомии по АО, без костной пластики.Возможно эндопротезирование и решает все проблемы разом, но мы не знаем располагает ли пациентка материальными возможностями, да и частота осложнений после ТЭП будет повыше.
http://odoc.ru/article.php?name=article_13
|
[
Ответить ]
|
|
Re: Депрессия внутреннего мыщелка tibia - последствия
Батал Шушания 19 Сентябрь 2009, 21:08
|
Здравствуйте. Мне кажется, что надо в первую очередь, при таком возрасте, оценить состояние латеральных структур травмированного коленного сустава АРТРОСКОПИЧЕСКИ.
Только потом, можно уже рассматривать вопрос об остеотомии, а так получится что вы выполнили остеотомию большеберцовой кости, выправили ось конечности, а деформирующий артроз коленного сустава свел на нет результаты вашей операции: сохранятся боль и контрактура. Может лучше выполнить эндопотезирование коленного сустава женщине в таком возрасте, тем самым, улучшить качество жизни.
высокая отоеотомия большеберцовой кости.pdf
1420KB (1455034 bytes)
|
[
Ответить ]
|
Re: Депрессия внутреннего мыщелка tibia - последствия
Отправитель: sereda andrey 19 Сентябрь 2009, 21:38
|
1. Сложно провести корреляцию между хондромаляцией и болевым синдромом. НЕ секрет, что часто и при 4 ст хондромаляции пациент не испытывает боли. Так что в этом плане артроскопия может не дать достоверной прогностической информации.
2. Если уж так хочется оценить хрящ, то можно выполнить МРТ, а не артроскопию. Знать бы из какого только металла винты.
|
[
Ответить ]
|
|
Re: Депрессия внутреннего мыщелка tibia - последствия
Женя 21 Сентябрь 2009, 13:04
|
Добрый день! Исчерпывающая информация находится в приложении, отправленном Б. Шушания. Остеотомия в любом случае должна проходить косо над бугристостью б/берцовой кости. Мы практически всегда делаем (-) остеотомию из наружного доступа (нет проблем с мягкими тканями для закрытия фиксатора), фиксировать можно любой пластиной, пригодной для этого уровня. Такая остеотомия не создает проблем при эндопротезировании в будущем. Удачи!
|
[
Ответить ]
|
Re: Депрессия внутреннего мыщелка tibia - последствия
Denis Rimashevsky 21 Сентябрь 2009, 13:56
|
Александр, здравствуйте!
По снимку видно, что и в наружном отделе сустава есть серьезные изменения.
С моей точки зрения, как операцию выбора, надо рассматривать тотальное эндопротезирование.
Если коллатеральные связки целы - обычное, несвязанное. Только желательно во время операции иметь в запасе 0.5 и 1.0 см. замещающие кость вставки на внутренний мыщелок и ножку для большеберцового компонента. Но может быть это и не понадобиться.
Если внутренняя коллатеральная связка повреждена - hinge.
Больной 68 лет. С учетом того, что средняя продолжительность жизни женщины в РФ - 72-74 года, не вижу причин откладывать эндопротезирование.
С уважением, Римашевский Д.
|
[
Ответить ]
|
Re: Депрессия внутреннего мыщелка tibia - последствия
Игорь Девин 22 Сентябрь 2009, 23:36
|
Я бы остановился на подъемной косой остеотомии внутреннего мыщелка с пластикой аутокостью из крыла подвздошной кости. Фиксацию можно провести либо 4 мм Х 50 мм спонгиозными винтами наискось внесуставно (если удасться сохранить связь поднятого фрагмента с материнской костью в среднем отделе сустава , либо имплантировал опорную пластину.
С уважением И.Девин
|
[
Ответить ]
|
( Ответить )
|
|