ВХОД ДЛЯ ПАЦИЕНТОВ
вверх
поиск
админ
главная
|
привычный задний вывих плеча |
 |
 |
 |
Прислано Осипов Алексей 20 Сентябрь 2009, 03:41
из
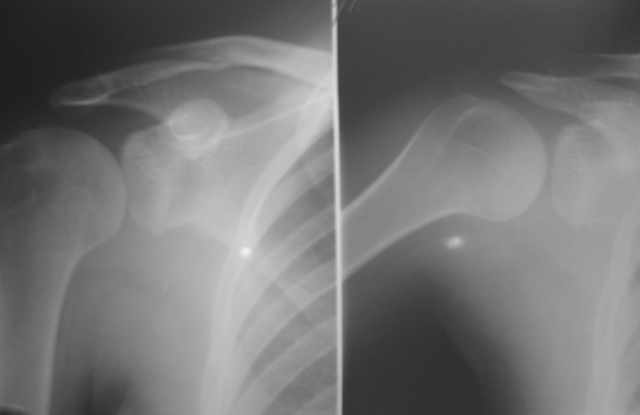
Пациентка 18 лет страдает привычным задним вывихом плеча
Выполнены операции: Задний артрориз с использованием аутотрансплантата, рцидив выввиха через 6 мес после операции (клинически и рентгенологически трансплантат рассосался). Остеотомия суставного отростка лопатки с увеличением угла антеверсии, рецидив через 9 мес. Какие варианты стабилизации возможны в данном случае? На рентгенограмме справа плечо в положении вывиха.
Обратите внимание: Поля с жирными названиями обязательны.
Старайтесь отвечать в рамках обсуждаемой темы, а не начинать новые обсуждения.
Указывайте адекватную тему сообщения, чтобы было ясно, о чем оно.
Не послайте сообщений не по теме (оффтопик), раздраженных, грубых или обидных комментариев. Здесь это неуместно.
|