AOTRAUMA.ORG Центр Илизарова  

Ортопедия и травматология Общие вопросы/General questions Help Информационные технологии в медицине
 вверх
 отправить
 поиск
 админ
 главная


Что делать с этим ...
Ортопедия и травматология Отправлено Багов О.Х. 23 Сентябрь 2009, 13:49 ККБ г.Краснодар
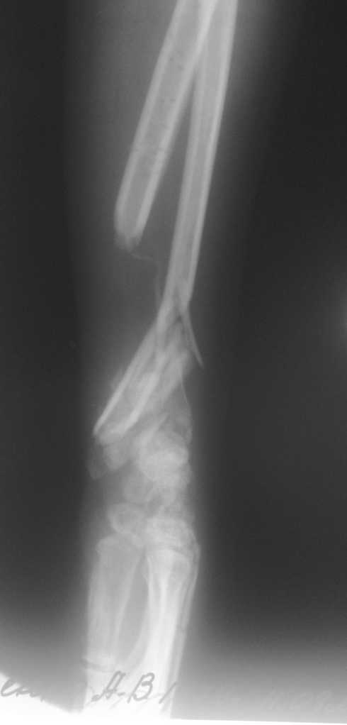
Имеется постттравматический дефект дистальных отделов костей левого предплечья.
Больная Д. 30 лет плучила травму 12.07.09г, пассажир скутера - тяжелая сочетанная травма брюшной полости и конечностей, гемоперитониум, закрытый перелом н\3 ЛЕВОГО БЕДРА, открытый перелом н/3 левого предплечья с дефектом обеих костей, рана голени. С момента травмы перелом предплечья был фиксирован анкерно-спицевым апаратом, проводилось лечение других сегментов. В настоящий момент АВФ демонтирован, имеется следующая рентгенологическая картина (см. приложение), имеется дефект обеих костей и суставных поверхностей. Коллеги подскажите варианты лечения в данном случае ?!

<  |  >

 

  • Сообщения о Ортопедия и травматология
  • Также Багов О.Х.
  • Связаться с автором
  • Ответить

    Re: Что делать с этим ...
    Игорь Девин 24 Сентябрь 2009, 15:01
    Уважаемый коллега! В данном случае остается одно - формирование артродеза лучезапястного сустава в положении полусупинации (функциональном для левой руки)и восстановление лучевой кости. Труднее это выполнить. На мой взгляд, если нет концевого остеомиелита и трофических язв конечности, можно произвести остеосинтез пластиной с угловой стабильностью лучевой кости с пластикой дефекта аутокостью из подвздошной кости и из дистального фрагмента, если будет необходима резекция выступающего в ладонную сторону отломка. Лучше, если удасться адаптировать положение кисти (устранить тыльное смещение) с минимальной резекцией, освежив поверхности костей запястья и дисальный конец дистального отломка луча. Если есть инфекция - билокальный остеосинтез луча по Илизарову.
    И.Девин
    [ Ответить ]


    ( Ответить )

    Powered by Zope  Squishdot Powered MedLink
    Посетитель: 0205954
      "По форме правильно, а по существу - издевательство" В.И.Ленин
    ©2001-2019Orthoforum Coordinator.
    [ Главная | Отправить сообщение | Поиск | Админ ]