вверх
отправить
поиск
админ
главная
|
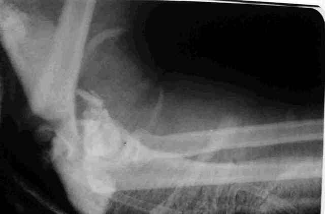
Открытый осложненный перелом дистального метаэпифиза плеча |
 |
 |
 |
Отправлено Дедок Михаил 28 Сентябрь 2009, 20:55 МУЗ Узловская районная больница
Прошу оказать помощь в определении дальнейшей тактики лечения открытого оскольчатого перелома дистального отдела плеча, осложненного гнойной инфекцией у пациентки с сочетанной травмой. Пациентка получила сочетанную травму в результате падения с высоты.В числе прочих повреждений открытый оскольчатый перелом дистального отдела плечевой кости.Выполнено ПХО, гипсовая иммобилизация.На следующие сутки клиника гнойной инфекции.Произведена вторичная гнойная хирургическая обработка раны, стабилизация перелома аппаратом, вакуумное дренирование.В настоящий момент гнойного отделяемого нет. (отделяется синовиальная жидкость. Наложены вторичные швы.Вопрос - какова дальнейшая тактика в случае заживления раны ( открытый остеосинтез или функциональное лечение).Что делать в случает возобновления гнойного процесса.
<
|
>
|
|