ВХОД ДЛЯ ПАЦИЕНТОВ
вверх
поиск
админ
главная
|
контрактура локтевого сустава |
 |
 |
 |
Прислано Шухрат 28 Сентябрь 2009, 21:18
из гкб№1, г.Худжанд, Таджикистан
Уважаемые коллеги! Нужен Ваш совет,
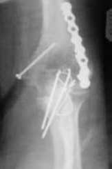
Подскажите пожалуйста, как можно в дальнейшем этому больному помочь. В марте первая операция, пришлось оперировать на 16 сутки в виду инфицированных садин и анемии. Заживление первичным натяжением,раняя разработка после операции, а через 2 нед болевой синдром,и постепенно движения в локтевом суставе ограничились до полного анкилоза. Повторно через 4 месяца вторая операция" артролиз,удаление оссификатов, удаление фиксаторов, реостеосинтез этой же реконструкционной пластиной и винтом" интраоперационно после удаления оссификатов и фиксаторов обнаружил, что перелом не сросшиеся, поэтому пришлось синтезировать заново. Зажило рана первично, объем движений в локтевом суставе сгибание 70, разгибание160, ротационные движения востановились полностью,вроде бы успокоились. Опять постепенно в течении 8 нед после повторной операции постепенно движения ограничились до 80 - 110, на снимке оссификат. Снимки во вложении, буду рад Вашим советам. Спасибо!
С уважением Шухрат.
Обратите внимание: Поля с жирными названиями обязательны.
Старайтесь отвечать в рамках обсуждаемой темы, а не начинать новые обсуждения.
Указывайте адекватную тему сообщения, чтобы было ясно, о чем оно.
Не послайте сообщений не по теме (оффтопик), раздраженных, грубых или обидных комментариев. Здесь это неуместно.
|