AOTRAUMA.ORG Центр Илизарова  

Ортопедия и травматология Общие вопросы/General questions Help Информационные технологии в медицине
 вверх
 отправить
 поиск
 админ
 главная


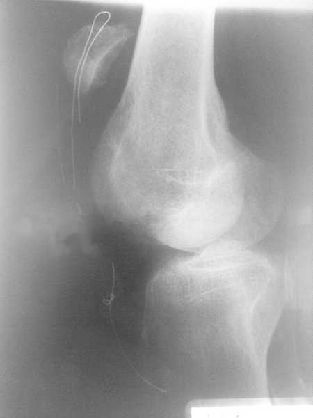
Повторный разрыв связки надколенника
Ортопедия и травматология Отправлено Артём 19 Октябрь 2009, 13:55
Пациент О 49 лет. получил многооскольчатый перелом н/полюса надколенника 17.06.09.
по поводу чего была выполнена резекция полюса и наложена проволочная петля. 8 октября повторная травма. Уважаемые коллеги, подскажите что делать.

<  |  >

 

  • Сообщения о Ортопедия и травматология
  • Также Артём
  • Связаться с автором
  • Ответить

    Re: Повторный разрыв связки надколенника
    александр 20 Октябрь 2009, 21:23
    мы бы выполнили ревизию,удалили металл и сшили собственную связку( шьем нитями Ethibond)с фиксацией
    за бугристость и надколенник. Если стянуть не удается,аутопластика лоскутом широкой фасции или (если пациент потянет материально)готовым трансплантатом *tutoplast*.

    [ Ответить ]

    Re: Повторный разрыв связки надколенника
    Андрей Мелешкин 20 Октябрь 2009, 22:49
    ---готовым трансплантатом *tutoplast*---
    Расскажите по подробней что за трансплантант, у кого есть? Не слышал про такое! Поделитесь коллега!?
    [ Ответить ]

    Re: Повторный разрыв связки надколенника
    Александр 21 Октябрь 2009, 23:29
    Биоимпланты из трупного материала,инертные,производится в Германии,готовы к применению(стерильная упаковка)Удобны для использования в таких случаях,как представлен Вами выполнены в виде фрагмента собственной связки надколенника с костными блоками на концах.Где взять-спросите у Ваших поставщиков металлофиксаторов или поройтесь в сети(мы шли так).Успехов.
    [ Ответить ]


    ( Ответить )

    Powered by Zope  Squishdot Powered MedLink
    Посетитель: 0179668
      "По форме правильно, а по существу - издевательство" В.И.Ленин
    ©2001-2019Orthoforum Coordinator.
    [ Главная | Отправить сообщение | Поиск | Админ ]