AOTRAUMA.ORG Центр Илизарова  

Ортопедия и травматология Общие вопросы/General questions Help Информационные технологии в медицине
 вверх
 отправить
 поиск
 админ
 главная
 Предыдущее


Re: мыщелки бб кости Ваши мнения
Alexander Artemiev 19 Ноябрь 2009, 00:51



Приветствую всех.
Были напряги. Только сейчас появилось время.
Собственно пациент уже выписался.
Но считаю своим долгом выложить продолжение мною же открытой темы.
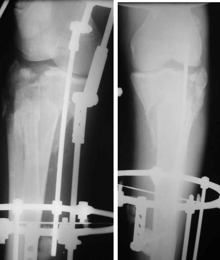
Состояние мягких тканей оказалось принципиальным в разработке плана операции.
Очаг некроза 4 на 5 см по передней поверхности голени не оставил никакого варианта кроме внешнего остеосинтеза.
Морально пациентка подготовили к артродезу. И он с этим согласился.
Но решили делать в 2 этапа. Первый - восстановить ось и дать костной крошке в проксимальном отделе консолидироваться.
Второй - собственно артродез.
Но по результатам первого этапа думаем дать пациенту попользоваться ногой. А там посмотрим.
С уважением Александр Артемьев
>

  • Сообщения о Ортопедия и травматология
  • Также Alexander Artemiev
  • Связаться с автором
  • Ответить

    Re: мыщелки бб кости Ваши мнения
    Alexey Semenisty 19 Ноябрь 2009, 00:55
    >Но считаю своим долгом выложить продолжение мною же открытой темы..

    И это правильно!

    Состояние мягких тканей оказалось принципиальным в разработке плана операции.
    Очаг некроза 4 на 5 см по передней поверхности голени не оставил никакого варианта кроме внешнего остеосинтиеза.


    Почему??? Есть сухой некроз по передней поверхности, но вне зоны возможных хирургических доступов...-

    Морально пациентка подготовили к артродезу. И он с этим согласился.

    Жесть!!!

    Но решили делать в 2 этапа.

    Вот это правильно)

    Первый - восстановить ось и

    ..длину, дать успокоится мягким тканям.


    Для первого этапа достаточно. Через 5-10 дней мы бы приступили к следующему этапу. А именно, фиксация из ограниченного заднемедиального доступа 1\3 трубчатой или рекон пластиной медиального фрагмента, и остеосинтез наружного мыщелка из второго тоже ограниченного латерального доступа без артротомии, под контролем ЭОПа..... Сухой некроз в данном случае не являлся бы серьезной помехой для внутренней фиксации (во всяком случае, судя по имеющимся фото)

    Второй - собственно артродез.

    Я думаю, это не повод сразу думать об артродезе... Конечно уже прошло много времени. Но до месяца у нас есть опыт вполне удачных реконструкций и "переделок"...

    Но по результатам первого этапа думаем дать пациенту попользоваться ногой. А там посмотрим.

    Оставляя внутрисуствной перелом в таком положении с замкнутым суставом, вы практически обрекаете пациента...IMHO

    P.S. безусловно, с двумя пластинами LCP, каннюлироваными винтами, хроносом все это дорого... Но того же анатомического и функционального результата можно достичь, используя вместо пластин аппарат Илизарова, и разрезы для репозиции тогда нудны совсем маленькие .

    С уважением, А.Семенистый.
    ГКБ № 13, Москва.
    [ Ответить ]

    • Re: мыщелки бб кости Ваши мнения
      Отправитель: Alexander Artemiev 19 Ноябрь 2009, 14:36
      Алексей, спасибо за комментарии.
      Нечто подобное я и ожидал.
      Скажу честно:
      - пациент, хотя и небогатый человек, был подготовлен к любым реальным затратам, связанным лечением любыми современными конструкциями, и готов был понести их.
      - пациенту и его родственникам рассказали о всех плюсах и минусах различных методов лечения, не только АВФ и пластины, о рисках, прогнозах и неоднозначности результатов. Во всяком случае в рамках собственной эрудиции, невзирая на пристрастия и вкусы. Хотя, естественно, пациента можно убедить в чем угодно.
      - наш небольшой, но дружный коллектив, представленный здесь мной и менее многословным Багратом Григоряном, закрывает большую часть спектра современных методик. Да думаю, что никто не отказал бы помочь...
      И, тем не менее, мы сделали вполне осознанный выбор.
      Очевидно, что в реале картина была бы гораздо хуже, чем на рентгене. Каким бы способом мы не вскрыли зону повреждения, обнаружили бы дефект, который нужно чем-то замещать и далее по нарастающей. Пластина наверняка вылезла бы в зону некроза и т.д и т.п. Срок тоже уже к месяцу подползал...
      НО. Я видел хорошие наблюдения после разных методов фиксации - и погружных, и внешних, и комбинированных. Видел и плохие. При том, что подобные по тяжести повреждения (не считая огнестрелов) встречались не так уж часто. Особенно у людей, к лечению которых можно подойти осознанно и творчески:( Статистика результатов не убеждает ни в чём.
      Короче, книгу жизни не перепишешь. У этого больного выбрали такой метод. Пациент на связи, о результатах доложу...
      Всем привет
      С уважением Александр Артемьев

      [ Ответить ]
      • Re: мыщелки бб кости Ваши мнения
        Отправитель: Alexey Semenisty 19 Ноябрь 2009, 14:54
        Мне кажется, не стоит сразу програмироваться на артродез. Думай о хорошем;) .
        В любом случае результат будет очень интересен.
        И еще раз спасибо, что случай не обрывается первичным статусом!



        С уважением, А.Семенистый.
        ГКБ № 13, Москва.

        [ Ответить ]

     

    ( Ответить )

    Powered by Zope  Squishdot Powered MedLink
    Посетитель: 0384617
      "По форме правильно, а по существу - издевательство" В.И.Ленин
    ©2001-2019Orthoforum Coordinator.
    [ Главная | Отправить сообщение | Поиск | Админ ]